• 文献检索
  • 文档翻译
  • 深度研究
  • 学术资讯
  • Suppr Zotero 插件Zotero 插件
  • 邀请有礼
  • 套餐&价格
  • 历史记录
应用&插件
Suppr Zotero 插件Zotero 插件浏览器插件Mac 客户端Windows 客户端微信小程序
定价
高级版会员购买积分包购买API积分包
服务
文献检索文档翻译深度研究API 文档MCP 服务
关于我们
关于 Suppr公司介绍联系我们用户协议隐私条款
关注我们

Suppr 超能文献

核心技术专利:CN118964589B侵权必究
粤ICP备2023148730 号-1Suppr @ 2026

文献检索

告别复杂PubMed语法,用中文像聊天一样搜索,搜遍4000万医学文献。AI智能推荐,让科研检索更轻松。

立即免费搜索

文件翻译

保留排版,准确专业,支持PDF/Word/PPT等文件格式,支持 12+语言互译。

免费翻译文档

深度研究

AI帮你快速写综述,25分钟生成高质量综述,智能提取关键信息,辅助科研写作。

立即免费体验

脑活素可减轻工程 Ag、Cu 或 Al(50-60nm)纳米颗粒慢性中毒引起的神经病理性疼痛恶化、血脊髓屏障破坏和脊髓病理学改变。

Cerebrolysin Attenuates Exacerbation of Neuropathic Pain, Blood-spinal Cord Barrier Breakdown and Cord Pathology Following Chronic Intoxication of Engineered Ag, Cu or Al (50-60 nm) Nanoparticles.

机构信息

International Experimental Central Nervous System Injury & Repair (IECNSIR), Dept. of Surgical Sciences, Anesthesiology & Intensive Care Medicine, Uppsala University Hospital, Uppsala University, Frödingsgatan 12, LGH 1103, 75185, Uppsala, Sweden.

Department of Neurology, Bethune International Peace Hospital, Zhongshan Road (West), Shijiazhuang, Hebei, China.

出版信息

Neurochem Res. 2023 Jun;48(6):1864-1888. doi: 10.1007/s11064-023-03861-8. Epub 2023 Jan 31.

DOI:10.1007/s11064-023-03861-8
PMID:36719560
原文链接:https://pmc.ncbi.nlm.nih.gov/articles/PMC10119268/
Abstract

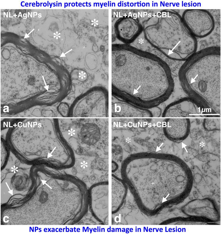
Neuropathic pain is associated with abnormal sensations and/or pain induced by non-painful stimuli, i.e., allodynia causing burning or cold sensation, pinching of pins and needles like feeling, numbness, aching or itching. However, no suitable therapy exists to treat these pain syndromes. Our laboratory explored novel potential therapeutic strategies using a suitable composition of neurotrophic factors and active peptide fragments-Cerebrolysin (Ever Neuro Pharma, Austria) in alleviating neuropathic pain induced spinal cord pathology in a rat model. Neuropathic pain was produced by constrictions of L-5 spinal sensory nerves for 2-10 weeks period. In one group of rats cerebrolysin (2.5 or 5 ml/kg, i.v.) was administered once daily after 2 weeks until sacrifice (4, 8 and 10 weeks). Ag, Cu and Al NPs (50 mg/kg, i.p.) were delivered once daily for 1 week. Pain assessment using mechanical (Von Frey) or thermal (Hot-Plate) nociceptive showed hyperalgesia from 2 weeks until 10 weeks progressively that was exacerbated following Ag, Cu and Al NPs intoxication in nerve lesioned groups. Leakage of Evans blue and radioiodine across the blood-spinal cord barrier (BSCB) is seen from 4 to 10 weeks in the rostral and caudal cord segments associated with edema formation and cell injury. Immunohistochemistry of albumin and GFAP exhibited a close parallelism with BSCB leakage that was aggravated by NPs following nerve lesion. Light microscopy using Nissl stain exhibited profound neuronal damages in the cord. Transmission electron microcopy (TEM) show myelin vesiculation and synaptic damages in the cord that were exacerbated following NPs intoxication. Using ELISA spinal tissue exhibited increased albumin, glial fibrillary acidic protein (GFAP), myelin basic protein (MBP) and heat shock protein (HSP 72kD) upregulation together with cytokines TNF-α, IL-4, IL-6, IL-10 levels in nerve lesion that was exacerbated following NPs intoxication. Cerebrolysin treatment significantly reduced hyperalgesia and attenuated BSCB disruption, edema formation and cellular changes in nerve lesioned group. The levels of cytokines were also restored near normal levels with cerebrolysin treatment. Albumin, GFAP, MABP and HSP were also reduced in cerebrolysin treated group and thwarted neuronal damages, myelin vesiculation and cell injuries. These neuroprotective effects of cerebrolysin with higher doses were also effective in nerve lesioned rats with NPs intoxication. These observations suggest that cerebrolysin actively protects spinal cord pathology and hyperalgesia following nerve lesion and its exacerbation with metal NPs, not reported earlier.

摘要

神经病理性疼痛与非疼痛刺激引起的异常感觉和/或疼痛有关,即痛觉过敏导致烧灼感或冷感、刺痛感、麻木感、酸痛或瘙痒。然而,目前尚无治疗这些疼痛综合征的合适疗法。我们的实验室使用神经营养因子和活性肽片段-脑活素(奥古金,奥地利)的合适组合,探索了缓解大鼠模型中脊髓神经病理性疼痛的新的潜在治疗策略。通过对 L-5 脊髓感觉神经进行 2-10 周的压迫,产生神经病理性疼痛。在一组大鼠中,脑活素(2.5 或 5 ml/kg,iv)在 2 周后每天给药一次,直到处死(4、8 和 10 周)。Ag、Cu 和 Al NPs(50 mg/kg,ip)每周给药一次,持续 1 周。使用机械(Von Frey)或热(热板)痛觉评估疼痛显示,从 2 周到 10 周,痛觉过敏逐渐加重,在神经损伤组中,Ag、Cu 和 Al NPs 中毒后加重。从 4 周到 10 周,在头端和尾端脊髓节段可见 Evans 蓝和放射性碘穿过血脊髓屏障(BSCB)的渗漏,与水肿形成和细胞损伤有关。白蛋白和 GFAP 的免疫组织化学显示与 BSCB 渗漏密切平行,在神经损伤后,NP 加重了这种渗漏。使用尼氏染色的光镜检查显示脊髓中有明显的神经元损伤。透射电镜(TEM)显示脊髓中的髓鞘囊泡和突触损伤,在 NP 中毒后加重。使用 ELISA 检测脊髓组织显示,在神经损伤后,白蛋白、神经胶质纤维酸性蛋白(GFAP)、髓鞘碱性蛋白(MBP)和热休克蛋白(HSP 72kD)的表达上调,同时细胞因子 TNF-α、IL-4、IL-6、IL-10 水平也上调,NP 中毒后进一步加重。脑活素治疗显著减轻神经损伤大鼠的痛觉过敏,并减轻 BSCB 破坏、水肿形成和细胞变化。细胞因子水平也在脑活素治疗后接近正常水平。在脑活素治疗组中,白蛋白、GFAP、MBP 和 HSP 也减少,并阻止了神经元损伤、髓鞘囊泡和细胞损伤。神经损伤大鼠在 NP 中毒后,脑活素的这些神经保护作用(剂量更高)也是有效的。这些观察结果表明,脑活素在神经损伤后积极保护脊髓病理和痛觉过敏,并在金属 NPs 的作用下加剧,这在以前的研究中没有报道过。

https://cdn.ncbi.nlm.nih.gov/pmc/blobs/fc3c/10119268/78126945f388/11064_2023_3861_Fig12_HTML.jpg
https://cdn.ncbi.nlm.nih.gov/pmc/blobs/fc3c/10119268/5fae7beb0275/11064_2023_3861_Fig1_HTML.jpg
https://cdn.ncbi.nlm.nih.gov/pmc/blobs/fc3c/10119268/5de6fb98f09c/11064_2023_3861_Fig2_HTML.jpg
https://cdn.ncbi.nlm.nih.gov/pmc/blobs/fc3c/10119268/52af73f08162/11064_2023_3861_Fig3_HTML.jpg
https://cdn.ncbi.nlm.nih.gov/pmc/blobs/fc3c/10119268/a26611a5ddaf/11064_2023_3861_Fig4_HTML.jpg
https://cdn.ncbi.nlm.nih.gov/pmc/blobs/fc3c/10119268/279ad428fca9/11064_2023_3861_Fig5_HTML.jpg
https://cdn.ncbi.nlm.nih.gov/pmc/blobs/fc3c/10119268/60fe22f33c3e/11064_2023_3861_Fig6_HTML.jpg
https://cdn.ncbi.nlm.nih.gov/pmc/blobs/fc3c/10119268/d14f200b1cc4/11064_2023_3861_Fig7_HTML.jpg
https://cdn.ncbi.nlm.nih.gov/pmc/blobs/fc3c/10119268/e42c270f4e9c/11064_2023_3861_Fig8_HTML.jpg
https://cdn.ncbi.nlm.nih.gov/pmc/blobs/fc3c/10119268/d8c862bf083f/11064_2023_3861_Fig9_HTML.jpg
https://cdn.ncbi.nlm.nih.gov/pmc/blobs/fc3c/10119268/48a6ee669f9a/11064_2023_3861_Fig10_HTML.jpg
https://cdn.ncbi.nlm.nih.gov/pmc/blobs/fc3c/10119268/056de772eafa/11064_2023_3861_Fig11_HTML.jpg
https://cdn.ncbi.nlm.nih.gov/pmc/blobs/fc3c/10119268/78126945f388/11064_2023_3861_Fig12_HTML.jpg
https://cdn.ncbi.nlm.nih.gov/pmc/blobs/fc3c/10119268/5fae7beb0275/11064_2023_3861_Fig1_HTML.jpg
https://cdn.ncbi.nlm.nih.gov/pmc/blobs/fc3c/10119268/5de6fb98f09c/11064_2023_3861_Fig2_HTML.jpg
https://cdn.ncbi.nlm.nih.gov/pmc/blobs/fc3c/10119268/52af73f08162/11064_2023_3861_Fig3_HTML.jpg
https://cdn.ncbi.nlm.nih.gov/pmc/blobs/fc3c/10119268/a26611a5ddaf/11064_2023_3861_Fig4_HTML.jpg
https://cdn.ncbi.nlm.nih.gov/pmc/blobs/fc3c/10119268/279ad428fca9/11064_2023_3861_Fig5_HTML.jpg
https://cdn.ncbi.nlm.nih.gov/pmc/blobs/fc3c/10119268/60fe22f33c3e/11064_2023_3861_Fig6_HTML.jpg
https://cdn.ncbi.nlm.nih.gov/pmc/blobs/fc3c/10119268/d14f200b1cc4/11064_2023_3861_Fig7_HTML.jpg
https://cdn.ncbi.nlm.nih.gov/pmc/blobs/fc3c/10119268/e42c270f4e9c/11064_2023_3861_Fig8_HTML.jpg
https://cdn.ncbi.nlm.nih.gov/pmc/blobs/fc3c/10119268/d8c862bf083f/11064_2023_3861_Fig9_HTML.jpg
https://cdn.ncbi.nlm.nih.gov/pmc/blobs/fc3c/10119268/48a6ee669f9a/11064_2023_3861_Fig10_HTML.jpg
https://cdn.ncbi.nlm.nih.gov/pmc/blobs/fc3c/10119268/056de772eafa/11064_2023_3861_Fig11_HTML.jpg
https://cdn.ncbi.nlm.nih.gov/pmc/blobs/fc3c/10119268/78126945f388/11064_2023_3861_Fig12_HTML.jpg

相似文献

1
Cerebrolysin Attenuates Exacerbation of Neuropathic Pain, Blood-spinal Cord Barrier Breakdown and Cord Pathology Following Chronic Intoxication of Engineered Ag, Cu or Al (50-60 nm) Nanoparticles.脑活素可减轻工程 Ag、Cu 或 Al(50-60nm)纳米颗粒慢性中毒引起的神经病理性疼痛恶化、血脊髓屏障破坏和脊髓病理学改变。
Neurochem Res. 2023 Jun;48(6):1864-1888. doi: 10.1007/s11064-023-03861-8. Epub 2023 Jan 31.
2
Cerebrolysin, a mixture of neurotrophic factors induces marked neuroprotection in spinal cord injury following intoxication of engineered nanoparticles from metals.脑活素,一种神经营养因子混合物,在金属工程纳米粒子中毒导致的脊髓损伤后能显著诱导神经保护。
CNS Neurol Disord Drug Targets. 2012 Feb;11(1):40-9. doi: 10.2174/187152712799960781.
3
Superior antioxidant and anti-ischemic neuroprotective effects of cerebrolysin in heat stroke following intoxication of engineered metal Ag and Cu nanoparticles: A comparative biochemical and physiological study with other stroke therapies.在工程金属 Ag 和 Cu 纳米粒子中毒引起的中暑后,脑活素具有优越的抗氧化和抗缺血性神经保护作用:与其他中风治疗方法的比较生化和生理学研究。
Prog Brain Res. 2021;266:301-348. doi: 10.1016/bs.pbr.2021.06.014. Epub 2021 Oct 6.
4
Nanoparticles Exacerbate Both Ubiquitin and Heat Shock Protein Expressions in Spinal Cord Injury: Neuroprotective Effects of the Proteasome Inhibitor Carfilzomib and the Antioxidant Compound H-290/51.纳米颗粒加剧脊髓损伤中的泛素和热休克蛋白表达:蛋白酶体抑制剂卡非佐米和抗氧化剂化合物 H-290/51 的神经保护作用。
Mol Neurobiol. 2015 Oct;52(2):882-98. doi: 10.1007/s12035-015-9297-9. Epub 2015 Jul 1.
5
Superior neuroprotective effects of cerebrolysin in heat stroke following chronic intoxication of Cu or Ag engineered nanoparticles. A comparative study with other neuroprotective agents using biochemical and morphological approaches in the rat.脑蛋白水解物对铜或银工程纳米颗粒慢性中毒后中暑的卓越神经保护作用。在大鼠中使用生化和形态学方法与其他神经保护剂的比较研究。
J Nanosci Nanotechnol. 2011 Sep;11(9):7549-69. doi: 10.1166/jnn.2011.5114.
6
Intravenous Administration of Functionalized Magnetic Iron Oxide Nanoparticles Does Not Induce CNS Injury in the Rat: Influence of Spinal Cord Trauma and Cerebrolysin Treatment.静脉注射功能化磁性氧化铁纳米颗粒不会在大鼠中引起中枢神经系统损伤:脊髓损伤和脑活素治疗的影响。
Int Rev Neurobiol. 2017;137:47-63. doi: 10.1016/bs.irn.2017.08.005. Epub 2017 Nov 3.
7
Cerebrolysin enhances spinal cord conduction and reduces blood-spinal cord barrier breakdown, edema formation, immediate early gene expression and cord pathology after injury.脑活素可增强脊髓传导功能,并减少血脊髓屏障破坏、水肿形成、即刻早期基因表达和损伤后脊髓病理改变。
Prog Brain Res. 2020;258:397-438. doi: 10.1016/bs.pbr.2020.09.012. Epub 2020 Nov 12.
8
Cerebrolysin reduces blood-cerebrospinal fluid barrier permeability change, brain pathology, and functional deficits following traumatic brain injury in the rat.脑活素可降低创伤性脑损伤大鼠血脑屏障通透性改变、脑病理和功能缺陷。
Ann N Y Acad Sci. 2010 Jun;1199:125-37. doi: 10.1111/j.1749-6632.2009.05329.x.
9
Spinal cord injury induced exacerbation of Alzheimer's disease like pathophysiology is reduced by topical application of nanowired cerebrolysin with monoclonal antibodies to amyloid beta peptide, p-tau and tumor necrosis factor alpha.经皮给予纳米线型脑活素联合针对淀粉样β肽、p-tau 和肿瘤坏死因子α的单克隆抗体可减轻脊髓损伤诱导的阿尔茨海默病样病理生理学恶化。
Int Rev Neurobiol. 2023;172:3-35. doi: 10.1016/bs.irn.2023.05.011. Epub 2023 Sep 26.
10
Neuroprotective effects of insulin like growth factor-1 on engineered metal nanoparticles Ag, Cu and Al induced blood-brain barrier breakdown, edema formation, oxidative stress, upregulation of neuronal nitric oxide synthase and brain pathology.胰岛素样生长因子-1 对工程金属纳米颗粒 Ag、Cu 和 Al 诱导的血脑屏障破坏、水肿形成、氧化应激、神经元型一氧化氮合酶上调和脑组织病理学的神经保护作用。
Prog Brain Res. 2021;266:97-121. doi: 10.1016/bs.pbr.2021.06.005. Epub 2021 Aug 13.

引用本文的文献

1
Proteomic analysis of spinal dorsal horn in prior exercise protection against neuropathic pain.既往运动对神经性疼痛保护作用中脊髓背角的蛋白质组学分析
Sci Rep. 2025 Jan 18;15(1):2391. doi: 10.1038/s41598-025-86661-0.
2
Radioprotective effect of Cerebrolysin in the Rat's Brain Tissues.脑蛋白水解物对大鼠脑组织的辐射防护作用。
Curr Drug Res Rev. 2025;17(2):322-327. doi: 10.2174/0125899775291111240409053824.

本文引用的文献

1
Neuroprotective effects of insulin like growth factor-1 on engineered metal nanoparticles Ag, Cu and Al induced blood-brain barrier breakdown, edema formation, oxidative stress, upregulation of neuronal nitric oxide synthase and brain pathology.胰岛素样生长因子-1 对工程金属纳米颗粒 Ag、Cu 和 Al 诱导的血脑屏障破坏、水肿形成、氧化应激、神经元型一氧化氮合酶上调和脑组织病理学的神经保护作用。
Prog Brain Res. 2021;266:97-121. doi: 10.1016/bs.pbr.2021.06.005. Epub 2021 Aug 13.
2
Topical application of CNTF, GDNF and BDNF in combination attenuates blood-spinal cord barrier permeability, edema formation, hemeoxygenase-2 upregulation, and cord pathology.CNTF、GDNF 和 BDNF 的局部应用可减轻血脊髓屏障通透性、水肿形成、血红素加氧酶-2 的上调和脊髓病理变化。
Prog Brain Res. 2021;266:357-376. doi: 10.1016/bs.pbr.2021.06.013. Epub 2021 Jul 15.
3
Manganese nanoparticles induce blood-brain barrier disruption, cerebral blood flow reduction, edema formation and brain pathology associated with cognitive and motor dysfunctions.锰纳米颗粒可导致血脑屏障破坏、脑血流减少、水肿形成以及与认知和运动功能障碍相关的脑组织病理学改变。
Prog Brain Res. 2021;265:385-406. doi: 10.1016/bs.pbr.2021.06.015. Epub 2021 Aug 13.
4
Platelet-rich plasma and cytokines in neuropathic pain: A narrative review and a clinical perspective.富血小板血浆和细胞因子在神经病理性疼痛中的作用:综述和临床视角。
Eur J Pain. 2022 Jan;26(1):43-60. doi: 10.1002/ejp.1846. Epub 2021 Aug 9.
5
Prevalence of Low Back and Cervical Back Pain in Military Helicopter Crews: An Underestimated Italian Problem.军事直升机机组人员腰背疼痛的流行情况:一个被低估的意大利问题。
J Spec Oper Med. 2021 Summer;21(2):67-71. doi: 10.55460/MQZT-YXMK.
6
Chronic pain: an update on burden, best practices, and new advances.慢性疼痛:负担、最佳实践和新进展的更新。
Lancet. 2021 May 29;397(10289):2082-2097. doi: 10.1016/S0140-6736(21)00393-7.
7
The Effects of Cannabinoids on Pro- and Anti-Inflammatory Cytokines: A Systematic Review of Studies.大麻素对促炎和抗炎细胞因子的影响:研究的系统评价。
Cannabis Cannabinoid Res. 2021 Jun;6(3):177-195. doi: 10.1089/can.2020.0105. Epub 2021 Apr 28.
8
Chronic Pain and Pain Belief in Active Military Personnel: a Cross-sectional Study.现役军人的慢性疼痛和疼痛信念:一项横断面研究。
Med Arch. 2020 Dec;74(6):455-462. doi: 10.5455/medarh.2020.74.455-462.
9
Detection of Cytomegalovirus Interleukin 10 (cmvIL-10) by Enzyme-Linked Immunosorbent Assay (ELISA).酶联免疫吸附测定法(ELISA)检测巨细胞病毒白细胞介素 10(cmvIL-10)。
Methods Mol Biol. 2021;2244:291-299. doi: 10.1007/978-1-0716-1111-1_15.
10
Cerebrolysin for stroke, neurodegeneration, and traumatic brain injury: review of the literature and outcomes.脑活素治疗中风、神经退行性疾病和创伤性脑损伤:文献回顾与结果。
Neurol Sci. 2021 Apr;42(4):1345-1353. doi: 10.1007/s10072-021-05089-2. Epub 2021 Jan 30.