• 文献检索
  • 文档翻译
  • 深度研究
  • 学术资讯
  • Suppr Zotero 插件Zotero 插件
  • 邀请有礼
  • 套餐&价格
  • 历史记录
应用&插件
Suppr Zotero 插件Zotero 插件浏览器插件Mac 客户端Windows 客户端微信小程序
定价
高级版会员购买积分包购买API积分包
服务
文献检索文档翻译深度研究API 文档MCP 服务
关于我们
关于 Suppr公司介绍联系我们用户协议隐私条款
关注我们

Suppr 超能文献

核心技术专利:CN118964589B侵权必究
粤ICP备2023148730 号-1Suppr @ 2026

文献检索

告别复杂PubMed语法,用中文像聊天一样搜索,搜遍4000万医学文献。AI智能推荐,让科研检索更轻松。

立即免费搜索

文件翻译

保留排版,准确专业,支持PDF/Word/PPT等文件格式,支持 12+语言互译。

免费翻译文档

深度研究

AI帮你快速写综述,25分钟生成高质量综述,智能提取关键信息,辅助科研写作。

立即免费体验

异体皮质骨螺钉治疗舟状骨骨折和假关节。一项多中心回顾性研究。

Treatment of scaphoid fractures and pseudarthroses with the human allogeneic cortical bone screw. A multicentric retrospective study.

机构信息

Bezirkskrankenhaus Schwaz Betriebsgesellschaft mbH, Swarovskistraße 1-3, 6130, Schwaz, Austria.

Universitätsklinikum St. Pölten, Matthias-Corvinus Straße 45, 3100, St. Pölten, Austria.

出版信息

J Orthop Traumatol. 2023 Feb 10;24(1):6. doi: 10.1186/s10195-023-00686-7.

DOI:10.1186/s10195-023-00686-7
PMID:36765020
原文链接:https://pmc.ncbi.nlm.nih.gov/articles/PMC9916497/
Abstract

BACKGROUND

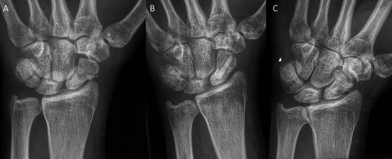
Allograft bone screws are rarely described for the fixation of the scaphoid. When fresh fractures are treated, metal screws are mainly used; when pseudarthrosis is the indication, plates in combination with vascularized or non-vascularized bone grafts are mainly used. The necessity of metallic screw removal is under debate, but it is mandatory for plates because of movement restrictions due to the plate. The use of biomaterials in scaphoid fracture fixation was described as leading to union rates of between 64 and 100%. Brcic showed the incorporation of an allogeneic cortical bone screw at 10 weeks postoperative, along with revascularization and stable osteosynthesis with primary bone healing, without any signs of immunological rejection. The purpose of this retrospective study was to explore the results obtained using an allogenic cortical bone screw (Shark Screw®) in patients with fresh scaphoid fracture fixation and pseudarthroses with respect to union rates and time to union.

PATIENTS AND METHODS

We retrospectively analyzed 75 patients: 31 with fresh fractures and 44 pseudarthrosis patients. The Shark Screw® was used for the fixation of the scaphoid in the fresh-fracture and pseudarthrosis patients. We evaluated the union rate, complication rate and time to union.

RESULTS

Using the human allogeneic cortical bone screw for scaphoid fracture fixation led to a high union rate (94-96%). There were two nonunions in the fresh fracture group and two nonunions in the pseudarthrosis group. The complication rate was 1.3% (1 patient). Median time to union was 16, 18 and 29 weeks for the fresh-fracture, pseudarthrosis and delayed-union patients, respectively. The treatment of fresh scaphoid fractures and pseudarthroses showed similar union rates to those described in the literature, uses a shorter and less invasive surgical method with no need for hardware removal, and has a low complication rate.

CONCLUSION

Using the human allogenic cortical bone screw (Shark Screw®) led to similar union rates in fresh fractures-but better union rates in pseudarthrosis patients-compared to those presented in the literature for other scaphoid fracture fixation techniques, and it enabled a short and low-invasive procedure without any donor site morbidity and without the necessity to remove the hardware in a second surgery. The pseudarthrosis patient group showed a particularly strong benefit from this new procedure. The physiological bone metabolism remodels the cortical bone screw without scars.

LEVEL OF EVIDENCE

III: retrospective cohort study, therapeutic investigation of a treatment.

摘要

背景

同种异体骨螺钉很少用于舟骨固定。当治疗新鲜骨折时,主要使用金属螺钉;当出现假关节时,主要使用带血管或不带血管的骨移植的钢板。对于金属螺钉是否需要取出存在争议,但对于钢板来说是强制性的,因为钢板会限制运动。生物材料在舟骨骨折固定中的应用被描述为可使愈合率达到 64%至 100%。Bricic 术后 10 周显示,同种异体皮质骨螺钉的植入,伴随着再血管化和稳定的骨愈合,没有任何免疫排斥的迹象。本回顾性研究的目的是探讨同种异体皮质骨螺钉(Shark Screw®)在新鲜舟骨骨折固定和假关节患者中的应用,以评估愈合率和愈合时间。

患者和方法

我们回顾性分析了 75 例患者:31 例新鲜骨折患者和 44 例假关节患者。Shark Screw®用于新鲜骨折和假关节患者的舟骨固定。我们评估了愈合率、并发症发生率和愈合时间。

结果

使用同种异体皮质骨螺钉治疗舟骨骨折可获得较高的愈合率(94-96%)。新鲜骨折组有 2 例不愈合,假关节组有 2 例不愈合。并发症发生率为 1.3%(1 例)。新鲜骨折、假关节和延迟愈合患者的愈合时间中位数分别为 16、18 和 29 周。治疗新鲜舟骨骨折和假关节的方法与文献报道的方法相似,具有愈合率高、手术时间短、创伤小、无需去除内固定、并发症发生率低等优点。

结论

使用同种异体皮质骨螺钉(Shark Screw®)治疗新鲜骨折的愈合率与文献报道的其他舟骨骨折固定技术相似,但治疗假关节的愈合率更好,且可进行短期、微创的手术,无供区并发症,无需在二次手术中取出内固定。假关节患者组从这种新方法中获益尤其明显。皮质骨螺钉的生理骨代谢重塑过程没有疤痕。

证据水平

III:回顾性队列研究,治疗方法的治疗性研究。

https://cdn.ncbi.nlm.nih.gov/pmc/blobs/2df4/9918639/a9e6e23db0dd/10195_2023_686_Fig8_HTML.jpg
https://cdn.ncbi.nlm.nih.gov/pmc/blobs/2df4/9918639/f95a15c24f2f/10195_2023_686_Fig1_HTML.jpg
https://cdn.ncbi.nlm.nih.gov/pmc/blobs/2df4/9918639/6458161f5d6f/10195_2023_686_Fig2_HTML.jpg
https://cdn.ncbi.nlm.nih.gov/pmc/blobs/2df4/9918639/f1858dbdde5b/10195_2023_686_Fig3_HTML.jpg
https://cdn.ncbi.nlm.nih.gov/pmc/blobs/2df4/9918639/6fc5cc767085/10195_2023_686_Fig4_HTML.jpg
https://cdn.ncbi.nlm.nih.gov/pmc/blobs/2df4/9918639/5add9bd05bee/10195_2023_686_Fig5_HTML.jpg
https://cdn.ncbi.nlm.nih.gov/pmc/blobs/2df4/9918639/78078f564844/10195_2023_686_Fig6_HTML.jpg
https://cdn.ncbi.nlm.nih.gov/pmc/blobs/2df4/9918639/441863098410/10195_2023_686_Fig7_HTML.jpg
https://cdn.ncbi.nlm.nih.gov/pmc/blobs/2df4/9918639/a9e6e23db0dd/10195_2023_686_Fig8_HTML.jpg
https://cdn.ncbi.nlm.nih.gov/pmc/blobs/2df4/9918639/f95a15c24f2f/10195_2023_686_Fig1_HTML.jpg
https://cdn.ncbi.nlm.nih.gov/pmc/blobs/2df4/9918639/6458161f5d6f/10195_2023_686_Fig2_HTML.jpg
https://cdn.ncbi.nlm.nih.gov/pmc/blobs/2df4/9918639/f1858dbdde5b/10195_2023_686_Fig3_HTML.jpg
https://cdn.ncbi.nlm.nih.gov/pmc/blobs/2df4/9918639/6fc5cc767085/10195_2023_686_Fig4_HTML.jpg
https://cdn.ncbi.nlm.nih.gov/pmc/blobs/2df4/9918639/5add9bd05bee/10195_2023_686_Fig5_HTML.jpg
https://cdn.ncbi.nlm.nih.gov/pmc/blobs/2df4/9918639/78078f564844/10195_2023_686_Fig6_HTML.jpg
https://cdn.ncbi.nlm.nih.gov/pmc/blobs/2df4/9918639/441863098410/10195_2023_686_Fig7_HTML.jpg
https://cdn.ncbi.nlm.nih.gov/pmc/blobs/2df4/9918639/a9e6e23db0dd/10195_2023_686_Fig8_HTML.jpg

相似文献

1
Treatment of scaphoid fractures and pseudarthroses with the human allogeneic cortical bone screw. A multicentric retrospective study.异体皮质骨螺钉治疗舟状骨骨折和假关节。一项多中心回顾性研究。
J Orthop Traumatol. 2023 Feb 10;24(1):6. doi: 10.1186/s10195-023-00686-7.
2
Volar percutaneous screw fixation for scaphoid nonunion.舟骨不愈合的掌侧经皮螺钉固定术
Niger J Clin Pract. 2018 Mar;21(3):388-391. doi: 10.4103/njcp.njcp_24_17.
3
Carpal scaphoid non-union treatment: a retrospective trial comparing simple retrograde percutaneous screw fixation versus percutaneous screw fixation plus pulsed electromagnetic fields (Physiostim).腕舟骨不愈合的治疗:一项回顾性试验,比较单纯逆行经皮螺钉固定与经皮螺钉固定加脉冲电磁场(Physiostim)的疗效。
Eur J Orthop Surg Traumatol. 2017 May;27(4):521-525. doi: 10.1007/s00590-017-1960-6. Epub 2017 Apr 11.
4
Comparison of the results of percutaneous and open screw fixation in the treatment of scaphoid nonunion fractures.经皮与切开螺钉固定治疗舟骨骨折不愈合的疗效比较
Eur Rev Med Pharmacol Sci. 2022 Dec;26(24):9204-9211. doi: 10.26355/eurrev_202212_30673.
5
Clinical outcome after alternative treatment of scaphoid fractures and nonunions.舟状骨骨折和骨不连替代治疗后的临床结果。
Eur J Trauma Emerg Surg. 2018 Feb;44(1):113-118. doi: 10.1007/s00068-017-0773-y. Epub 2017 Feb 27.
6
[Use of a cannulated 3.0 mm AO screw with an intraosseous support washer in osteosynthesis of the scaphoid: results and analysis of problems in 28 cases].[使用带骨内支撑垫圈的3.0毫米AO空心螺钉进行舟骨骨折内固定:28例结果及问题分析]
Handchir Mikrochir Plast Chir. 2000 Jul;32(4):277-82. doi: 10.1055/s-2000-10929.
7
Dorsal percutaneous cannulated screw fixation for delayed union and nonunion of the scaphoid.经皮背侧穿钉固定治疗舟状骨延迟愈合和不愈合。
Plast Reconstr Surg. 2011 Aug;128(2):467-473. doi: 10.1097/PRS.0b013e31821e703b.
8
Which is the Best Solution for Achieving Maximal Interfragmentary Compression of the Scaphoid Fractures - One or Two Herbert Screws?哪种方法更有利于实现舟状骨骨折的最大断端间加压 - 单枚还是双枚 Herbert 螺钉?
Acta Chir Orthop Traumatol Cech. 2023;90(1):34-40.
9
Acutrak versus Herbert screw fixation for scaphoid non-union and delayed union.Acutrak螺钉与Herbert螺钉固定治疗舟骨不愈合和延迟愈合的比较。
J Orthop Surg (Hong Kong). 2012 Apr;20(1):61-5. doi: 10.1177/230949901202000112.
10
Treatment of scaphoid waist nonunion by one, two headless compression screws or plate with or without additional extracorporeal shockwave therapy.采用一枚、两枚无头加压螺钉或钢板治疗舟状骨腰部骨不连,是否联合体外冲击波疗法。
Arch Orthop Trauma Surg. 2019 Feb;139(2):281-293. doi: 10.1007/s00402-018-3087-6. Epub 2018 Dec 6.

引用本文的文献

1
Surgical treatment of carpal scaphoid non-union: a systematic review.腕舟骨不愈合的外科治疗:一项系统评价
Eur J Orthop Surg Traumatol. 2025 Jul 2;35(1):287. doi: 10.1007/s00590-025-04410-5.
2
Odontoid process type II and III fracture fixation using bone allograft screws versus cannulated screws: a biomechanical study.同种异体骨螺钉与空心螺钉用于Ⅱ型和Ⅲ型齿突骨折固定的生物力学研究
Arch Orthop Trauma Surg. 2025 Mar 22;145(1):207. doi: 10.1007/s00402-025-05805-z.
3
Allograft Bone Screw in a Comminuted Hawkins III Talar Neck Fracture: Case Report.

本文引用的文献

1
Clinical and Radiologic Outcome of First Metatarsophalangeal Joint Arthrodesis Using a Human Allogeneic Cortical Bone Screw.使用人同种异体皮质骨螺钉进行第一跖趾关节融合术的临床和放射学结果
Foot Ankle Orthop. 2022 Jul 29;7(3):24730114221112944. doi: 10.1177/24730114221112944. eCollection 2022 Jul.
2
Scaphoid Nonunion: A Review of Surgical Strategies.舟状骨骨不连:手术策略的综述。
Orthopedics. 2022 Sep-Oct;45(5):e235-e242. doi: 10.3928/01477447-20220608-03. Epub 2022 Jun 13.
3
Clinical and Radiologic Results of a Human Bone Graft Screw in Tarsometatarsal II/+III Arthrodesis.
同种异体骨螺钉治疗粉碎性Hawkins III型距骨颈骨折:病例报告
J Clin Med. 2024 Dec 7;13(23):7457. doi: 10.3390/jcm13237457.
4
Allograft Screws as Fixation of the Scarf Osteotomy.同种异体骨螺钉用于围巾状截骨术的固定
J Clin Med. 2024 Sep 23;13(18):5628. doi: 10.3390/jcm13185628.
5
Non-Union Treatment in the Foot, Ankle, and Lower Leg: A Multicenter Retrospective Study Comparing Conventional Treatment with the Human Allogeneic Cortical Bone Screw (Shark Screw).足、踝及小腿骨不连的治疗:一项比较传统治疗与同种异体皮质骨螺钉(鲨鱼螺钉)的多中心回顾性研究
J Pers Med. 2024 Mar 27;14(4):352. doi: 10.3390/jpm14040352.
跗跖骨 II/+III 关节融合术中使用人骨移植物螺钉的临床和放射学结果。
Foot Ankle Int. 2022 Jul;43(7):913-922. doi: 10.1177/10711007221081533. Epub 2022 Apr 2.
4
The Application of an Allogenic Bone Screw for Stabilization of a Modified Chevron Osteotomy: A Prospective Analysis.同种异体骨螺钉在改良V形截骨术稳定中的应用:一项前瞻性分析。
J Clin Med. 2022 Mar 3;11(5):1384. doi: 10.3390/jcm11051384.
5
Misdiagnosed and maltreated scaphoid fractures - costly both for society and patients: A review of filed claims to the Swedish National Patient Insurance Company 2011-2018.舟状骨骨折的误诊与误治:对社会和患者而言代价高昂——对2011 - 2018年向瑞典国家患者保险公司提交的索赔申请的综述
EFORT Open Rev. 2022 Feb 15;7(2):129-136. doi: 10.1530/EOR-21-0108.
6
Use of biomaterials in scaphoid fracture fixation, a systematic review.生物材料在舟状骨骨折固定中的应用:系统评价。
Clin Biomech (Bristol). 2021 Oct;89:105480. doi: 10.1016/j.clinbiomech.2021.105480. Epub 2021 Sep 8.
7
The clinical outcomes of scaphoid nonunion treated with a precisely processed autologous bone screw: a case series.精确加工自体骨螺钉治疗舟状骨骨不连的临床疗效:病例系列研究。
Arch Orthop Trauma Surg. 2023 Feb;143(2):627-635. doi: 10.1007/s00402-021-04092-8. Epub 2021 Aug 4.
8
Scaphoid Nonunion Vascularized Bone Grafting in 2021: Is Avascular Necrosis the Sole Determinant?2021 年的舟状骨骨不连血管化植骨术:缺血性坏死是唯一决定因素吗?
J Hand Surg Am. 2021 Sep;46(9):801-806.e2. doi: 10.1016/j.jhsa.2021.05.014. Epub 2021 Jun 26.
9
Incorporation of an Allogenic Cortical Bone Graft Following Arthrodesis of the First Metatarsophalangeal Joint in a Patient with Hallux Rigidus.在一名患有僵硬性拇趾的患者中,第一跖趾关节融合术后同种异体皮质骨移植的植入。
Life (Basel). 2021 May 24;11(6):473. doi: 10.3390/life11060473.
10
Dorsal capsular-based vascularized distal radius graft for proximal pole scaphoid nonunion with avascular necrosis.背侧囊基于血管化桡骨远端移植物治疗伴有缺血性坏死的近极舟状骨骨不连。
Injury. 2021 Dec;52(12):3635-3639. doi: 10.1016/j.injury.2021.04.016. Epub 2021 Apr 7.