Suppr超能文献

在一名患有僵硬性拇趾的患者中,第一跖趾关节融合术后同种异体皮质骨移植的植入。

Incorporation of an Allogenic Cortical Bone Graft Following Arthrodesis of the First Metatarsophalangeal Joint in a Patient with Hallux Rigidus.

作者信息

Brcic Iva, Pastl Klaus, Plank Harald, Igrec Jasminka, Schanda Jakob E, Pastl Eva, Werner Mathias

机构信息

Diagnostic and Research Institute of Pathology, Medical University of Graz, 8010 Graz, Austria.

Department for Orthopedic Surgery, Diakonissen Hospital Linz, 4020 Linz, Austria.

出版信息

Life (Basel). 2021 May 24;11(6):473. doi: 10.3390/life11060473.

Abstract

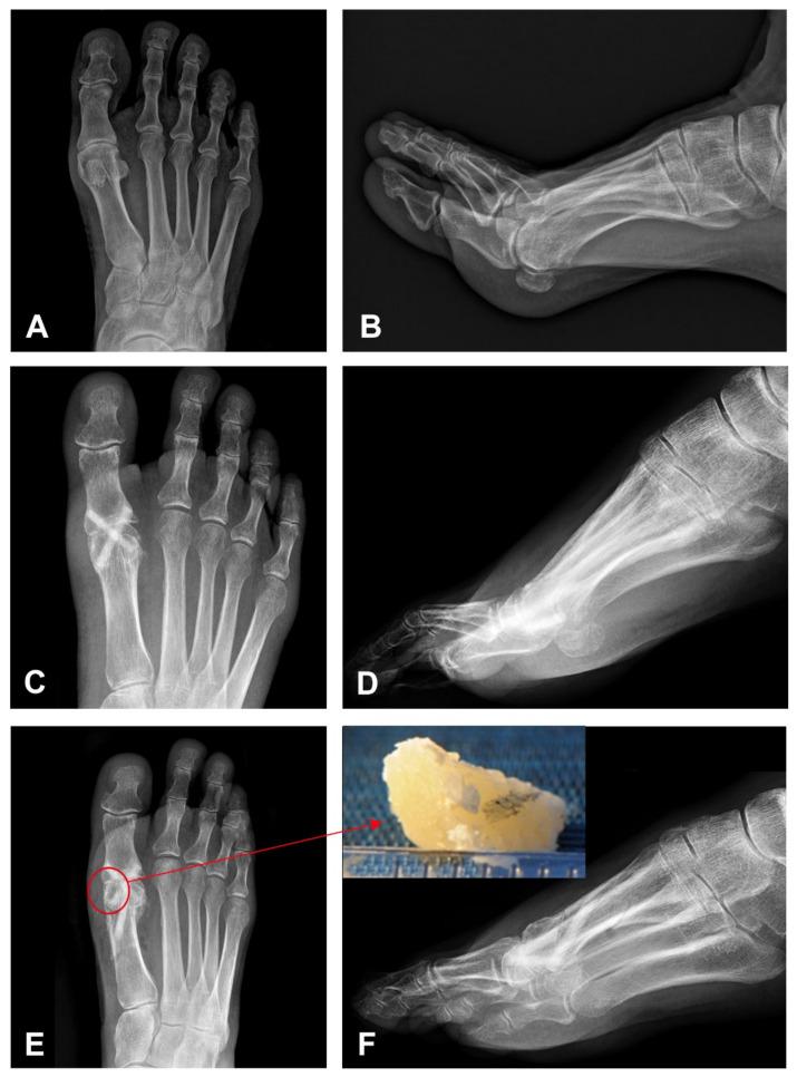
Hallux rigidus is degenerative arthritis of the first metatarsophalangeal joint characterized by pain and stiffness in the joint with limitation of motion and functional impairment. Recently, bone grafts have been introduced in orthopedic procedures, namely osteosynthesis and arthrodesis. Allografts can induce bone formation, provide support for vascular and bone ingrowth and have a low risk of immunological rejection. A 52-year-old female patient with hallux rigidus underwent arthrodesis of the first metatarsophalangeal joint using Shark Screw made of allogenic cortical bone. Corrective surgery was performed after 10 weeks, and a 5 × 3 mm large part of the Shark Screw with the surrounding patient's bone was removed. A histological evaluation revealed a vascularized graft with the newly formed compact lamellar bone fitting exactly to the cortical graft. The bone surface was lined by plump osteoblasts with osteoid production, and osteocytes were present in the lacunae. The arthrodesis of the first metatarsophalangeal joint using an allogenic cortical bone graft results in fast, primary bone healing without immunological rejection. This case suggests that the cortical allograft is a good and safe treatment option with an excellent graft incorporation into the host bone. However, as the literature evaluating the histology of different bone grafts is scarce, further high-level evidence studies with adequate sample sizes are needed to confirm our findings.

摘要

拇僵硬症是第一跖趾关节的退行性关节炎,其特征为关节疼痛、僵硬,伴有活动受限和功能障碍。最近,骨移植已被引入骨科手术,即骨固定术和关节融合术。同种异体骨移植可诱导骨形成,为血管和骨长入提供支撑,且免疫排斥风险低。一名52岁患有拇僵硬症的女性患者接受了使用同种异体皮质骨制成的鲨鱼钉进行的第一跖趾关节融合术。10周后进行了矫正手术,取出了一块5×3毫米大小的带有周围患者骨组织的鲨鱼钉。组织学评估显示,移植骨有血管化,新形成的致密板层骨与皮质移植骨精确匹配。骨表面衬有产生类骨质的丰满成骨细胞,骨陷窝中有骨细胞。使用同种异体皮质骨移植进行第一跖趾关节融合术可实现快速的一期骨愈合,且无免疫排斥反应。该病例表明,皮质同种异体骨移植是一种良好且安全的治疗选择,移植骨与宿主骨的融合效果极佳。然而,由于评估不同骨移植组织学的文献较少,需要进一步开展样本量充足的高水平证据研究来证实我们的发现。

https://cdn.ncbi.nlm.nih.gov/pmc/blobs/8dff/8225087/3f43087eab73/life-11-00473-g001.jpg

文献检索

告别复杂PubMed语法,用中文像聊天一样搜索,搜遍4000万医学文献。AI智能推荐,让科研检索更轻松。

立即免费搜索

文件翻译

保留排版,准确专业,支持PDF/Word/PPT等文件格式,支持 12+语言互译。

免费翻译文档

深度研究

AI帮你快速写综述,25分钟生成高质量综述,智能提取关键信息,辅助科研写作。

立即免费体验