Suppr超能文献

熊去氧胆酸对胆管结扎诱导的肝纤维化大鼠血糖、胰岛素及胰高血糖素样肽-1的影响

Influence of ursodeoxycholic acid on blood glucose, insulin and GLP-1 in rats with liver fibrosis induced by bile duct ligation.

作者信息

Bai Xiu-Ping, Du Wen-Jin, Xing Hua-Bing, Yang Guo-Hua, Bai Rui

机构信息

Endocrinology Division, The Second Hospital of Shanxi Medical University, Taiyuan, 030001, Shanxi, China.

Central Laboratory, The Second Hospital of Shanxi Medical University, Taiyuan, 030001, Shanxi, China.

出版信息

Diabetol Metab Syndr. 2023 Feb 14;15(1):18. doi: 10.1186/s13098-023-00989-z.

Abstract

BACKGROUND

The prevalence of impaired glucose tolerance and diabetes is much higher in people with cirrhosis than that in the general population. However, there are inadequate concrete guidelines for the management of diabetes in these patients, particularly in the early stage. Bile aids (BAs) have been found to exert hormone-like functions in the control of lipid and glucose metabolism. We studied the effect of ursodeoxycholic acid (UDCA) on glucose levels in rats with cirrhosis induced by bile duct ligation (BDL).

METHODS

SD rats were divided into three groups: sham operation (Group A); BDL (Group B), and UDCA plus BDL (Group C). After 4 weeks, oral glucose tolerance tests were performed. Serum biochemical parameters and the levels of glucose, insulin, and glucagon-like peptide 1 (GLP-1) were measured. Histopathology of the liver and islet was observed. The gene expression of cholesterol 7α-hydroylase (CYP7A1), microsomal oxysterol 7a-hydroxylase (CYP7B1) in the liver, and Takeda G-protein-coupled receptor-5 (TGR5) in the intestine was determined by real-time PCR.

RESULTS

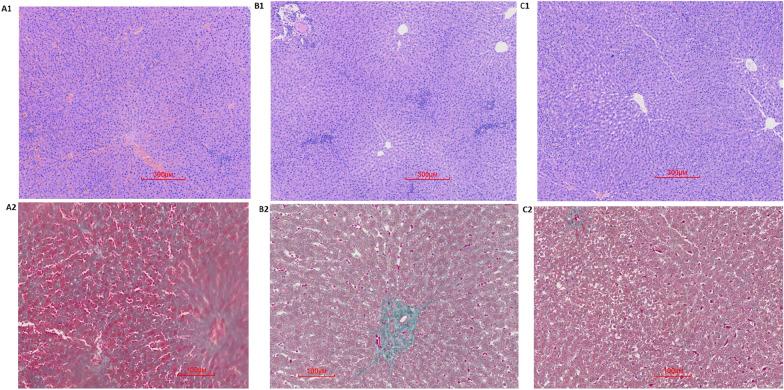
Compared with Group A, fasting glucose and 1-h and 2-h postprandial glucose levels increased slightly (all P > 0.05), 2-h postprandial insulin levels increased significantly (P < 0.05), 15 min postprandial GLP-1 levels decreased (P < 0.05) in Group B. Compared with Group B, fasting glucose and 1-h postprandial glucose levels decreased (all P < 0.05), 2-h postprandial insulin levels decreased (P < 0.01), and 15 min postprandial GLP-1 levels increased (P < 0.05) in Group C. After UDCA intervention, liver fibrosis induced by BDL was alleviated, and the islet areas were increased (P < 0.05). Compared with Group A, the mRNA expression of CYP7A1 and CYP7B1 in the liver increased, and the mRNA expression of TGR5 in the intestine decreased in Group B (all P < 0.05). Compared with Group B, the mRNA expression of CYP7A1 and CYP7B1 in the liver decreased, and TGR5 in the intestine increased in Group C (P < 0.05).

CONCLUSIONS

After 4 weeks of BDL, the rats developed liver fibrosis and abnormal glucose metabolism. UDCA administration improved liver fibrosis, increased islet area, decreased glucose levels, inhibited genes in BA synthesis, enhanced TGR5 gene expression in the intestine, and further improved islet function.

摘要

背景

肝硬化患者中糖耐量受损和糖尿病的患病率远高于普通人群。然而,对于这些患者,尤其是早期患者的糖尿病管理,目前尚无充分具体的指南。胆汁酸(BAs)已被发现具有类似激素的功能,可控制脂质和葡萄糖代谢。我们研究了熊去氧胆酸(UDCA)对胆管结扎(BDL)诱导的肝硬化大鼠血糖水平的影响。

方法

将SD大鼠分为三组:假手术组(A组);BDL组(B组);UDCA加BDL组(C组)。4周后,进行口服葡萄糖耐量试验。检测血清生化参数以及血糖、胰岛素和胰高血糖素样肽1(GLP-1)水平。观察肝脏和胰岛的组织病理学。通过实时PCR测定肝脏中胆固醇7α-羟化酶(CYP7A1)、微粒体氧甾醇7α-羟化酶(CYP7B1)以及肠道中武田G蛋白偶联受体5(TGR5)的基因表达。

结果

与A组相比,B组空腹血糖、餐后1小时和2小时血糖水平略有升高(均P>0.05),餐后2小时胰岛素水平显著升高(P<0.05),餐后15分钟GLP-1水平降低(P<0.05)。与B组相比,C组空腹血糖和餐后1小时血糖水平降低(均P<0.05),餐后2小时胰岛素水平降低(P<0.01),餐后15分钟GLP-1水平升高(P<0.05)。UDCA干预后,BDL诱导的肝纤维化得到缓解,并观察到胰岛面积增加(P<0.05)。与A组相比,B组肝脏中CYP7A1和CYP7B1的mRNA表达增加,肠道中TGR5的mRNA表达降低(均P<0.05)。与B组相比,C组肝脏中CYP7A1和CYP7B1的mRNA表达降低,肠道中TGR5表达增加(P<0.05)。

结论

BDL 4周后,大鼠出现肝纤维化和糖代谢异常。给予UDCA可改善肝纤维化,增加胰岛面积,降低血糖水平,抑制胆汁酸合成相关基因,增强肠道中TGR5基因表达,并进一步改善胰岛功能。

https://cdn.ncbi.nlm.nih.gov/pmc/blobs/8745/9930340/e9cf7f561943/13098_2023_989_Fig1_HTML.jpg

文献检索

告别复杂PubMed语法,用中文像聊天一样搜索,搜遍4000万医学文献。AI智能推荐,让科研检索更轻松。

立即免费搜索

文件翻译

保留排版,准确专业,支持PDF/Word/PPT等文件格式,支持 12+语言互译。

免费翻译文档

深度研究

AI帮你快速写综述,25分钟生成高质量综述,智能提取关键信息,辅助科研写作。

立即免费体验