Suppr超能文献

病例报告:一名6个月大幼儿纵隔内的硬纤维瘤病,该如何处理?

Case Report: Desmoid fibromatosis in the mediastinum of a 6-month-old toddler, what to do?

作者信息

Endara Santiago A, Dávalos Gerardo A, Molina Gabriel A, Armijos Christian A, Narvaez D Sebastian, Montalvo Nelson

机构信息

Department of General Surgery, Division of Cardiothoracic Surgery, Hospital Metropolitano, Quito-Ecuador.

Universidad San Francisco de Quito, Quito-Ecuador.

出版信息

Front Surg. 2023 Jan 30;9:1007760. doi: 10.3389/fsurg.2022.1007760. eCollection 2022.

Abstract

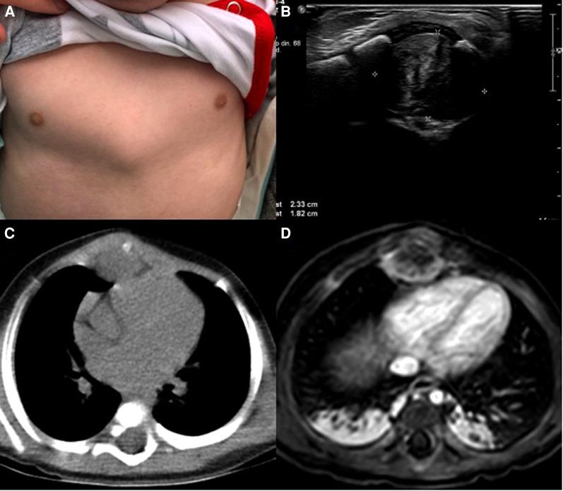
Desmoid fibromatosis is a rare, aggressive borderline lesion arising from soft tissues. Treatment will depend on the structures that the tumor has involved. Surgery with negative margins is the recommended strategy as it can usually achieve disease control; however, the tumor's location sometimes does not allow it. Therefore, a combination of medical therapies along with strict surveillance is crucial. We present the case of a 6-month-old boy with a chest mass. After further evaluation, a rapidly growing mediastinal mass involving the sternum and costal cartilage was detected. Desmoid fibromatosis was the final diagnosis.

摘要

韧带样纤维瘤病是一种罕见的、侵袭性的交界性软组织病变。治疗将取决于肿瘤所累及的结构。推荐的治疗策略是进行切缘阴性的手术,因为这样通常可以实现疾病控制;然而,肿瘤的位置有时不允许进行手术。因此,联合药物治疗并进行严格监测至关重要。我们报告一例6个月大患有胸部肿块的男婴病例。经过进一步评估,发现一个快速生长的纵隔肿块累及胸骨和肋软骨。最终诊断为韧带样纤维瘤病。

https://cdn.ncbi.nlm.nih.gov/pmc/blobs/3e47/9923160/64c24108b97c/fsurg-09-1007760-g001.jpg

文献检索

告别复杂PubMed语法,用中文像聊天一样搜索,搜遍4000万医学文献。AI智能推荐,让科研检索更轻松。

立即免费搜索

文件翻译

保留排版,准确专业,支持PDF/Word/PPT等文件格式,支持 12+语言互译。

免费翻译文档

深度研究

AI帮你快速写综述,25分钟生成高质量综述,智能提取关键信息,辅助科研写作。

立即免费体验