Suppr超能文献

导管原位癌中的新生导管形成与更具侵袭性肿瘤生物学特征的形态学异常共存。

Neoductgenesis in Ductal Carcinoma In Situ Coexists with Morphological Abnormalities Characteristic for More Aggressive Tumor Biology.

作者信息

Łazarczyk Agnieszka, Streb Joanna, Hałubiec Przemysław, Streb-Smoleń Anna, Jach Robert, Hodorowicz-Zaniewska Diana, Łuczyńska Elżbieta, Szpor Joanna

机构信息

Department of Pathomorphology, Jagiellonian University Medical College, 16 Grzegórzecka Street, 31-531 Cracow, Poland.

Department of Oncology, Jagiellonian University Medical College, 50 Kopernika Street, 31-501 Cracow, Poland.

出版信息

Diagnostics (Basel). 2023 Feb 19;13(4):787. doi: 10.3390/diagnostics13040787.

Abstract

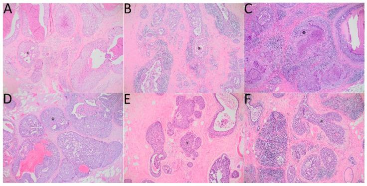
Ductal carcinoma in situ (DCIS) is a non-invasive form of breast cancer that is generally indolent, however, could advance to invasive carcinoma in more than one-third of cases if left untreated. Thus, there is continuous research to find DCIS characteristics that would enable clinicians to decide if it could be left without intensive treatment. Neoductgenesis (i.e., formation of the new duct of improper morphology) is a promising, but still not sufficiently evaluated indicator of future tumor invasiveness. We gathered data from 96 cases of DCIS (histopathological, clinical, and radiological) to assess the relationship between the neoductgenesis and well-established features of high-risk tumor behavior. Furthermore, our intention was to determine which degree of neoductgenesis should be considered clinically significant. Our major finding was that neoductgenesis is strictly related to other characteristics that indicate the invasive potential of the tumor and, to achieve more accurate prediction, neoductgenesis should be accordingly recognized to less strict criteria. Therefore, we conclude that neoductgenesis is another important revelator of tumor malignancy and that it requires further investigation during prospective controlled trials.

摘要

导管原位癌(DCIS)是一种非侵袭性乳腺癌,通常发展缓慢,但如果不进行治疗,超过三分之一的病例可能会进展为浸润性癌。因此,人们一直在不断研究,以寻找能让临床医生判断是否可以不进行强化治疗的DCIS特征。新导管形成(即形态异常的新导管形成)是一个有前景但仍未得到充分评估的未来肿瘤侵袭性指标。我们收集了96例DCIS病例的数据(组织病理学、临床和放射学数据),以评估新导管形成与高风险肿瘤行为的既定特征之间的关系。此外,我们的目的是确定何种程度的新导管形成应被视为具有临床意义。我们的主要发现是,新导管形成与其他表明肿瘤侵袭潜力的特征密切相关,为了实现更准确的预测,应相应地对新导管形成采用不太严格的标准。因此,我们得出结论,新导管形成是肿瘤恶性程度的另一个重要指标,需要在前瞻性对照试验中进一步研究。

https://cdn.ncbi.nlm.nih.gov/pmc/blobs/caaf/9954835/9eb57abfecf0/diagnostics-13-00787-g001.jpg

文献检索

告别复杂PubMed语法,用中文像聊天一样搜索,搜遍4000万医学文献。AI智能推荐,让科研检索更轻松。

立即免费搜索

文件翻译

保留排版,准确专业,支持PDF/Word/PPT等文件格式,支持 12+语言互译。

免费翻译文档

深度研究

AI帮你快速写综述,25分钟生成高质量综述,智能提取关键信息,辅助科研写作。

立即免费体验