• 文献检索
  • 文档翻译
  • 深度研究
  • 学术资讯
  • Suppr Zotero 插件Zotero 插件
  • 邀请有礼
  • 套餐&价格
  • 历史记录
应用&插件
Suppr Zotero 插件Zotero 插件浏览器插件Mac 客户端Windows 客户端微信小程序
定价
高级版会员购买积分包购买API积分包
服务
文献检索文档翻译深度研究API 文档MCP 服务
关于我们
关于 Suppr公司介绍联系我们用户协议隐私条款
关注我们

Suppr 超能文献

核心技术专利:CN118964589B侵权必究
粤ICP备2023148730 号-1Suppr @ 2026

文献检索

告别复杂PubMed语法,用中文像聊天一样搜索,搜遍4000万医学文献。AI智能推荐,让科研检索更轻松。

立即免费搜索

文件翻译

保留排版,准确专业,支持PDF/Word/PPT等文件格式,支持 12+语言互译。

免费翻译文档

深度研究

AI帮你快速写综述,25分钟生成高质量综述,智能提取关键信息,辅助科研写作。

立即免费体验

软骨及软骨损伤的影像学:综述

Imaging of Cartilage and Chondral Defects: An Overview.

作者信息

Nischal Neha, Iyengar Karthikeyan P, Herlekar Deepak, Botchu Rajesh

机构信息

Department of Musculoskeletal Radiology, Royal Orthopedic Hospital, Birmingham B31 2AP, UK.

Department of Radiology, Holy Family Hospital, New Delhi 110025, India.

出版信息

Life (Basel). 2023 Jan 28;13(2):363. doi: 10.3390/life13020363.

DOI:10.3390/life13020363
PMID:36836719
原文链接:https://pmc.ncbi.nlm.nih.gov/articles/PMC9960762/
Abstract

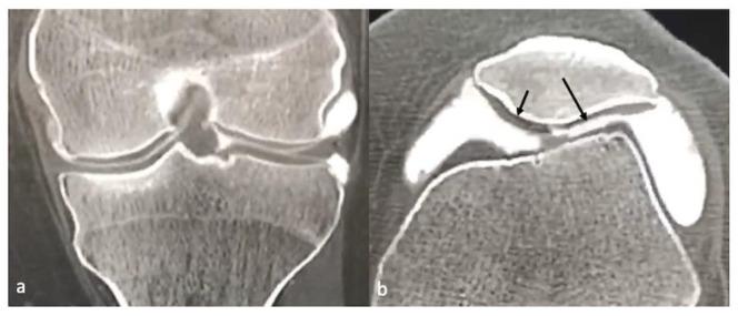
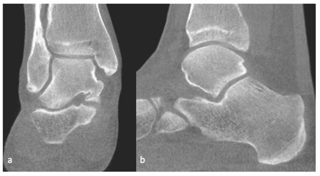
A healthy articular cartilage is paramount to joint function. Cartilage defects, whether acute or chronic, are a significant source of morbidity. This review summarizes various imaging modalities used for cartilage assessment. While radiographs are insensitive, they are still widely used to indirectly assess cartilage. Ultrasound has shown promise in the detection of cartilage defects, but its efficacy is limited in many joints due to inadequate visualization. CT arthrography has the potential to assess internal derangements of joints along with cartilage, especially in patients with contraindications to MRI. MRI remains the favored imaging modality to assess cartilage. The conventional imaging techniques are able to assess cartilage abnormalities when cartilage is already damaged. The newer imaging techniques are thus targeted at detecting biochemical and structural changes in cartilage before an actual visible irreversible loss. These include, but are not limited to, T2 and T2* mapping, dGEMRI, T1ρ imaging, gagCEST imaging, sodium MRI and integrated PET with MRI. A brief discussion of the advances in the surgical management of cartilage defects and post-operative imaging assessment is also included.

摘要

健康的关节软骨对关节功能至关重要。软骨缺损,无论是急性还是慢性的,都是发病的重要原因。本综述总结了用于软骨评估的各种成像方式。虽然X线片不敏感,但仍广泛用于间接评估软骨。超声在检测软骨缺损方面显示出前景,但由于可视化不足,其在许多关节中的效果有限。CT关节造影有潜力评估关节内部紊乱以及软骨情况,尤其是在有MRI禁忌证的患者中。MRI仍然是评估软骨最受欢迎的成像方式。传统成像技术能够在软骨已经受损时评估软骨异常。因此,更新的成像技术旨在在实际可见的不可逆损失之前检测软骨的生化和结构变化。这些技术包括但不限于T2和T2*映射、双对比增强MRI(dGEMRI)、T1ρ成像、糖化学交换饱和转移(gagCEST)成像、钠MRI以及PET与MRI的联合成像。本文还简要讨论了软骨缺损手术治疗的进展以及术后成像评估。

https://cdn.ncbi.nlm.nih.gov/pmc/blobs/65b4/9960762/53d6c38e2755/life-13-00363-g013.jpg
https://cdn.ncbi.nlm.nih.gov/pmc/blobs/65b4/9960762/4e1dc058850d/life-13-00363-g001.jpg
https://cdn.ncbi.nlm.nih.gov/pmc/blobs/65b4/9960762/012fa4315141/life-13-00363-g002.jpg
https://cdn.ncbi.nlm.nih.gov/pmc/blobs/65b4/9960762/bc005c72fb8d/life-13-00363-g003.jpg
https://cdn.ncbi.nlm.nih.gov/pmc/blobs/65b4/9960762/58bd79d24985/life-13-00363-g004.jpg
https://cdn.ncbi.nlm.nih.gov/pmc/blobs/65b4/9960762/d46cfa7d91d8/life-13-00363-g005.jpg
https://cdn.ncbi.nlm.nih.gov/pmc/blobs/65b4/9960762/d0c605365190/life-13-00363-g006.jpg
https://cdn.ncbi.nlm.nih.gov/pmc/blobs/65b4/9960762/7859cf0b13d5/life-13-00363-g007.jpg
https://cdn.ncbi.nlm.nih.gov/pmc/blobs/65b4/9960762/db30ceaa7ad6/life-13-00363-g008.jpg
https://cdn.ncbi.nlm.nih.gov/pmc/blobs/65b4/9960762/ea7b92b0c048/life-13-00363-g009.jpg
https://cdn.ncbi.nlm.nih.gov/pmc/blobs/65b4/9960762/1858174e5329/life-13-00363-g010.jpg
https://cdn.ncbi.nlm.nih.gov/pmc/blobs/65b4/9960762/7401c9d4483c/life-13-00363-g011.jpg
https://cdn.ncbi.nlm.nih.gov/pmc/blobs/65b4/9960762/2e118be9b677/life-13-00363-g012.jpg
https://cdn.ncbi.nlm.nih.gov/pmc/blobs/65b4/9960762/53d6c38e2755/life-13-00363-g013.jpg
https://cdn.ncbi.nlm.nih.gov/pmc/blobs/65b4/9960762/4e1dc058850d/life-13-00363-g001.jpg
https://cdn.ncbi.nlm.nih.gov/pmc/blobs/65b4/9960762/012fa4315141/life-13-00363-g002.jpg
https://cdn.ncbi.nlm.nih.gov/pmc/blobs/65b4/9960762/bc005c72fb8d/life-13-00363-g003.jpg
https://cdn.ncbi.nlm.nih.gov/pmc/blobs/65b4/9960762/58bd79d24985/life-13-00363-g004.jpg
https://cdn.ncbi.nlm.nih.gov/pmc/blobs/65b4/9960762/d46cfa7d91d8/life-13-00363-g005.jpg
https://cdn.ncbi.nlm.nih.gov/pmc/blobs/65b4/9960762/d0c605365190/life-13-00363-g006.jpg
https://cdn.ncbi.nlm.nih.gov/pmc/blobs/65b4/9960762/7859cf0b13d5/life-13-00363-g007.jpg
https://cdn.ncbi.nlm.nih.gov/pmc/blobs/65b4/9960762/db30ceaa7ad6/life-13-00363-g008.jpg
https://cdn.ncbi.nlm.nih.gov/pmc/blobs/65b4/9960762/ea7b92b0c048/life-13-00363-g009.jpg
https://cdn.ncbi.nlm.nih.gov/pmc/blobs/65b4/9960762/1858174e5329/life-13-00363-g010.jpg
https://cdn.ncbi.nlm.nih.gov/pmc/blobs/65b4/9960762/7401c9d4483c/life-13-00363-g011.jpg
https://cdn.ncbi.nlm.nih.gov/pmc/blobs/65b4/9960762/2e118be9b677/life-13-00363-g012.jpg
https://cdn.ncbi.nlm.nih.gov/pmc/blobs/65b4/9960762/53d6c38e2755/life-13-00363-g013.jpg

相似文献

1
Imaging of Cartilage and Chondral Defects: An Overview.软骨及软骨损伤的影像学:综述
Life (Basel). 2023 Jan 28;13(2):363. doi: 10.3390/life13020363.
2
Advanced Imaging in Femoroacetabular Impingement: Current State and Future Prospects.髋臼股骨撞击症的先进成像技术:现状与未来展望
Front Surg. 2015 Jul 24;2:34. doi: 10.3389/fsurg.2015.00034. eCollection 2015.
3
Modern Cartilage Imaging of the Ankle.现代踝关节软骨成像
Rofo. 2017 Oct;189(10):945-956. doi: 10.1055/s-0043-110861. Epub 2017 Jul 11.
4
Comparison between magnetic resonance imaging, computed tomography, and arthrography to identify artificially induced cartilage defects of the equine carpal joints.磁共振成像、计算机断层扫描和关节造影术在识别马腕关节人工诱导软骨缺损方面的比较。
Vet Radiol Ultrasound. 2018 May;59(3):312-325. doi: 10.1111/vru.12598. Epub 2018 Feb 18.
5
Advances in magnetic resonance imaging of articular cartilage.关节软骨磁共振成像进展。
J Am Acad Orthop Surg. 2011 Jul;19(7):420-9. doi: 10.5435/00124635-201107000-00005.
6
Cartilage T1ρ and T2 Relaxation Times in Patients With Mild-to-Moderate Radiographic Hip Osteoarthritis.轻度至中度放射学髋关节骨关节炎患者的软骨 T1ρ 和 T2 弛豫时间。
Arthritis Rheumatol. 2015 Jun;67(6):1548-56. doi: 10.1002/art.39074.
7
Cartilage Imaging: Techniques and Developments.软骨成像:技术与进展
Semin Musculoskelet Radiol. 2018 Apr;22(2):245-260. doi: 10.1055/s-0038-1639471. Epub 2018 Apr 19.
8
Update on imaging in rheumatic diseases: cartilage.风湿性疾病影像学进展:软骨篇。
Clin Exp Rheumatol. 2018 Sep-Oct;36 Suppl 114(5):139-144. Epub 2018 Oct 1.
9
[MR and CT arthrography in cartilage imaging : Indications and implementation].[磁共振成像和计算机断层扫描关节造影在软骨成像中的应用:适应证与实施]
Radiologe. 2019 Aug;59(8):710-721. doi: 10.1007/s00117-019-0564-z.
10
Rapid volumetric gagCEST imaging of knee articular cartilage at 3 T: evaluation of improved dynamic range and an osteoarthritic population.3T 下膝关节关节软骨容积快速 GAGCEST 成像:动态范围改善评估及在骨关节炎人群中的应用。
NMR Biomed. 2020 Aug;33(8):e4310. doi: 10.1002/nbm.4310. Epub 2020 May 23.

引用本文的文献

1
[Research progress in Oxford unicompartmental knee arthroplasty for partial thickness cartilage loss in medial compartment of knee joint].牛津单髁膝关节置换术治疗膝关节内侧间室部分厚度软骨损伤的研究进展
Zhongguo Xiu Fu Chong Jian Wai Ke Za Zhi. 2024 Sep 15;38(9):1138-1142. doi: 10.7507/1002-1892.202403091.
2
Quantitative and Compositional MRI of the Articular Cartilage: A Narrative Review.关节软骨的定量和成分 MRI:叙述性综述。
Tomography. 2024 Jun 24;10(7):949-969. doi: 10.3390/tomography10070072.
3
A New Approach to Postoperative Rehabilitation following Mosaicplasty and Bone Marrow Aspiration Concentrate (BMAC) Augmentation.

本文引用的文献

1
Global, regional prevalence, incidence and risk factors of knee osteoarthritis in population-based studies.基于人群研究的全球、地区膝关节骨关节炎的患病率、发病率及危险因素
EClinicalMedicine. 2020 Nov 26;29-30:100587. doi: 10.1016/j.eclinm.2020.100587. eCollection 2020 Dec.
2
Emerging role of integrated PET-MRI in osteoarthritis.整合 PET-MRI 在骨关节炎中的新兴作用。
Skeletal Radiol. 2021 Dec;50(12):2349-2363. doi: 10.1007/s00256-021-03847-z. Epub 2021 Jun 29.
3
State of the Art: Imaging of Osteoarthritis-Revisited 2020.现状:2020 年重新审视骨关节炎的影像学检查。
马赛克成形术和骨髓抽吸浓缩物(BMAC)增强术后康复的新方法。
Biomedicines. 2024 May 24;12(6):1164. doi: 10.3390/biomedicines12061164.
4
MRI Features That Contribute to Decision-Making for Treatment of Capitellar OCD Lesions: An Expert Consensus Using the Delphi Method.有助于决定治疗肱骨小头骨软骨炎病变的MRI特征:采用德尔菲法的专家共识
Orthop J Sports Med. 2024 Jun 6;12(6):23259671241252813. doi: 10.1177/23259671241252813. eCollection 2024 Jun.
Radiology. 2020 Jul;296(1):5-21. doi: 10.1148/radiol.2020192498. Epub 2020 May 19.
4
Comparison of Clinical and Semiquantitative Cartilage Grading Systems in Predicting Outcomes After Arthroscopic Partial Meniscectomy.关节镜部分半月板切除术治疗后预测结果的临床和半定量软骨分级系统比较。
AJR Am J Roentgenol. 2020 Aug;215(2):441-447. doi: 10.2214/AJR.19.22285. Epub 2020 May 6.
5
Diagnostic value of T1ρ and T2 mapping sequences of 3D fat-suppressed spoiled gradient (FS SPGR-3D) 3.0-T magnetic resonance imaging for osteoarthritis.3.0-T磁共振成像3D脂肪抑制扰相梯度回波(FS SPGR-3D)序列的T1ρ和T2映射对骨关节炎的诊断价值
Medicine (Baltimore). 2019 Jan;98(1):e13834. doi: 10.1097/MD.0000000000013834.
6
Osteochondral Lesions of the Knee: Differentiating the Most Common Entities at MRI.膝关节骨软骨病变:MRI 鉴别最常见病变。
Radiographics. 2018 Sep-Oct;38(5):1478-1495. doi: 10.1148/rg.2018180044. Epub 2018 Aug 17.
7
How precisely does ultrasonographic evaluation reflect the histological status of the articular cartilage of the knee joint?超声评估能多精确地反映膝关节软骨的组织学状态?
J Orthop. 2018 May 8;15(2):636-640. doi: 10.1016/j.jor.2018.05.046. eCollection 2018 Jun.
8
Cartilage Imaging: Techniques and Developments.软骨成像:技术与进展
Semin Musculoskelet Radiol. 2018 Apr;22(2):245-260. doi: 10.1055/s-0038-1639471. Epub 2018 Apr 19.
9
Classifications in Brief: Outerbridge Classification of Chondral Lesions.简要分类:软骨损伤的Outerbridge分类
Clin Orthop Relat Res. 2018 Oct;476(10):2101-2104. doi: 10.1007/s11999.0000000000000255.
10
Outcomes Following Arthroscopic Repair of Posterior Labral Tears in Patients Older Than 35 Years.35岁以上患者关节镜下修复后盂唇撕裂的预后
Orthopedics. 2017 Mar 1;40(2):e305-e311. doi: 10.3928/01477447-20161128-06. Epub 2016 Dec 7.