Suppr超能文献

新型冠状病毒肺炎感染并发急性胰腺炎和弥散性血管内凝血:一例报告

Acute Pancreatitis and Disseminated Intravascular Coagulopathy in COVID-19 Infection: A Case Report.

作者信息

Abu-Abaa Mohammad, Al-Qaysi Ghassan, Abdulsahib Ali, Acob Talar

机构信息

Internal Medicine, Internal Medicine Residency Program, Capital Health Regional Medical Center, Trenton, USA.

Internal Medicine, Capital Health Regional Medical Center, Trenton, USA.

出版信息

Cureus. 2023 Jan 23;15(1):e34104. doi: 10.7759/cureus.34104. eCollection 2023 Jan.

Abstract

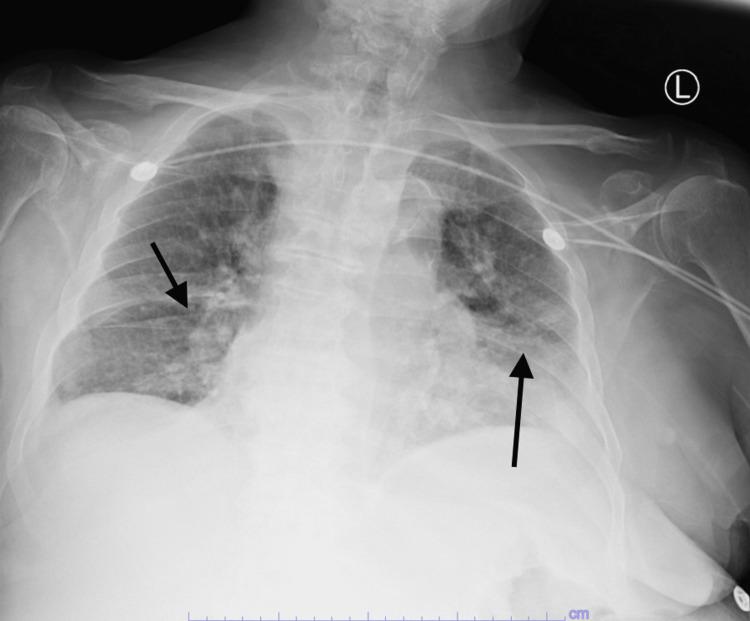
Coronavirus disease 2019 (COVID-19) is caused by severe acute respiratory syndrome coronavirus 2 (SARS-CoV-2) and can be a plausible trigger for both disseminated intravascular coagulopathy (DIC) and acute pancreatitis. We present an 85-year-old male patient who presented with altered mental status and tested positive for COVID-19 infection. He was hypoxic with an incremental need for oxygen. He had clinical as well as imaging evidence of acute pancreatitis. Clinical evidence of bleeding was noted and lab findings were suggestive of DIC. Despite aggressive initial management, his clinical status continued to deteriorate and comfort care was sought eventually. This case highlights COVID-19 infection as a possible trigger for acute pancreatitis as well as DIC. It also highlights some of the differences in COVID-19-induced DIC, which fulfills the diagnostic criteria of DIC but has atypical findings.

摘要

2019冠状病毒病(COVID-19)由严重急性呼吸综合征冠状病毒2(SARS-CoV-2)引起,可能是弥散性血管内凝血(DIC)和急性胰腺炎的一个合理触发因素。我们报告一名85岁男性患者,其出现精神状态改变,COVID-19感染检测呈阳性。他存在缺氧情况,且对氧气的需求不断增加。他有急性胰腺炎的临床及影像学证据。注意到有出血的临床证据,实验室检查结果提示存在DIC。尽管最初进行了积极治疗,但其临床状况仍持续恶化,最终寻求了舒适护理。该病例突出了COVID-19感染作为急性胰腺炎以及DIC的一个可能触发因素。它还突出了COVID-19诱导的DIC的一些差异,这种DIC符合DIC的诊断标准,但有非典型表现。

https://cdn.ncbi.nlm.nih.gov/pmc/blobs/16a4/9946691/26de6b1a2662/cureus-0015-00000034104-i01.jpg

文献AI研究员

20分钟写一篇综述,助力文献阅读效率提升50倍。

立即体验

用中文搜PubMed

大模型驱动的PubMed中文搜索引擎

马上搜索

文档翻译

学术文献翻译模型,支持多种主流文档格式。

立即体验