• 文献检索
  • 文档翻译
  • 深度研究
  • 学术资讯
  • Suppr Zotero 插件Zotero 插件
  • 邀请有礼
  • 套餐&价格
  • 历史记录
应用&插件
Suppr Zotero 插件Zotero 插件浏览器插件Mac 客户端Windows 客户端微信小程序
定价
高级版会员购买积分包购买API积分包
服务
文献检索文档翻译深度研究API 文档MCP 服务
关于我们
关于 Suppr公司介绍联系我们用户协议隐私条款
关注我们

Suppr 超能文献

核心技术专利:CN118964589B侵权必究
粤ICP备2023148730 号-1Suppr @ 2026

文献检索

告别复杂PubMed语法,用中文像聊天一样搜索,搜遍4000万医学文献。AI智能推荐,让科研检索更轻松。

立即免费搜索

文件翻译

保留排版,准确专业,支持PDF/Word/PPT等文件格式,支持 12+语言互译。

免费翻译文档

深度研究

AI帮你快速写综述,25分钟生成高质量综述,智能提取关键信息,辅助科研写作。

立即免费体验

一例晚期双侧炎性乳腺癌:影像学视角

A Case of Advanced Bilateral Inflammatory Breast Cancer: A Radiological Perspective.

作者信息

Salmanzadeh Ryan, Aghemo Kristopher, Thatiparthi Babitha, Al-Shaikhli Seema A, Salmanzadeh Austin, DeAngelo Osmany, Martin David, Sukpraprut-Braaten Suporn

机构信息

Radiology, Larkin Community Hospital, Miami, USA.

Radiology, Herbert Wertheim College of Medicine at Florida International University, Miami, USA.

出版信息

Cureus. 2023 Jan 24;15(1):e34145. doi: 10.7759/cureus.34145. eCollection 2023 Jan.

DOI:10.7759/cureus.34145
PMID:36843779
原文链接:https://pmc.ncbi.nlm.nih.gov/articles/PMC9949754/
Abstract

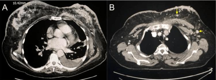
Inflammatory breast cancer (IBC) is a rare and aggressive form of breast cancer that accounts for only a small percent of invasive breast cancers in the United States. We report a case of advanced bilateral IBC in a 60-year-old female. This case report explores the clinical presentation, pathological findings, and different imaging modalities that can assist in the diagnosis of this disease. The initial diagnosis was based on imaging findings from both contrast-enhanced computed tomography (CECT) and positron emission tomography-computed tomography (PET-CT). The diagnosis was then confirmed with histopathological findings.

摘要

炎性乳腺癌(IBC)是一种罕见且侵袭性强的乳腺癌形式,在美国仅占浸润性乳腺癌的一小部分。我们报告一例60岁女性的晚期双侧炎性乳腺癌病例。本病例报告探讨了有助于诊断该疾病的临床表现、病理结果及不同影像学检查方法。初步诊断基于对比增强计算机断层扫描(CECT)和正电子发射断层扫描-计算机断层扫描(PET-CT)的影像学结果。随后通过组织病理学结果确诊。

https://cdn.ncbi.nlm.nih.gov/pmc/blobs/e09a/9949754/0aaf471c376e/cureus-0015-00000034145-i05.jpg
https://cdn.ncbi.nlm.nih.gov/pmc/blobs/e09a/9949754/092941646842/cureus-0015-00000034145-i01.jpg
https://cdn.ncbi.nlm.nih.gov/pmc/blobs/e09a/9949754/11c89404e884/cureus-0015-00000034145-i02.jpg
https://cdn.ncbi.nlm.nih.gov/pmc/blobs/e09a/9949754/2350047ff39a/cureus-0015-00000034145-i03.jpg
https://cdn.ncbi.nlm.nih.gov/pmc/blobs/e09a/9949754/4707a271d8ea/cureus-0015-00000034145-i04.jpg
https://cdn.ncbi.nlm.nih.gov/pmc/blobs/e09a/9949754/0aaf471c376e/cureus-0015-00000034145-i05.jpg
https://cdn.ncbi.nlm.nih.gov/pmc/blobs/e09a/9949754/092941646842/cureus-0015-00000034145-i01.jpg
https://cdn.ncbi.nlm.nih.gov/pmc/blobs/e09a/9949754/11c89404e884/cureus-0015-00000034145-i02.jpg
https://cdn.ncbi.nlm.nih.gov/pmc/blobs/e09a/9949754/2350047ff39a/cureus-0015-00000034145-i03.jpg
https://cdn.ncbi.nlm.nih.gov/pmc/blobs/e09a/9949754/4707a271d8ea/cureus-0015-00000034145-i04.jpg
https://cdn.ncbi.nlm.nih.gov/pmc/blobs/e09a/9949754/0aaf471c376e/cureus-0015-00000034145-i05.jpg

相似文献

1
A Case of Advanced Bilateral Inflammatory Breast Cancer: A Radiological Perspective.一例晚期双侧炎性乳腺癌:影像学视角
Cureus. 2023 Jan 24;15(1):e34145. doi: 10.7759/cureus.34145. eCollection 2023 Jan.
2
Discrepancy between FDG-PET/CT and contrast-enhanced CT in the staging of patients with inflammatory breast cancer: implications for treatment planning.¹⁸F-FDG PET/CT 与增强 CT 在炎性乳腺癌分期中的差异:对治疗计划的影响。
Breast Cancer Res Treat. 2020 Jun;181(2):383-390. doi: 10.1007/s10549-020-05631-4. Epub 2020 Apr 21.
3
Initial staging impact of fluorodeoxyglucose positron emission tomography/computed tomography in locally advanced breast cancer.氟脱氧葡萄糖正电子发射断层扫描/计算机断层扫描对局部晚期乳腺癌分期的影响。
Oncologist. 2011;16(6):772-82. doi: 10.1634/theoncologist.2010-0378. Epub 2011 May 31.
4
Positron Emission Tomography/Magnetic Resonance Imaging for Local Tumor Staging in Patients With Primary Breast Cancer: A Comparison With Positron Emission Tomography/Computed Tomography and Magnetic Resonance Imaging.正电子发射断层扫描/磁共振成像用于原发性乳腺癌患者的局部肿瘤分期:与正电子发射断层扫描/计算机断层扫描及磁共振成像的比较
Invest Radiol. 2015 Aug;50(8):505-13. doi: 10.1097/RLI.0000000000000197.
5
Pretreatment staging positron emission tomography/computed tomography in patients with inflammatory breast cancer influences radiation treatment field designs.炎性乳腺癌患者的预处理分期正电子发射断层扫描/计算机断层扫描影响放射治疗野的设计。
Int J Radiat Oncol Biol Phys. 2012 Aug 1;83(5):1381-6. doi: 10.1016/j.ijrobp.2011.10.040. Epub 2012 Jan 26.
6
Baseline FDG PET-CT imaging is necessary for newly diagnosed inflammatory breast cancer patients: a narrative review.基线 18F-FDG PET-CT 成像对新诊断炎性乳腺癌患者是必要的:叙述性综述。
Chin Clin Oncol. 2021 Dec;10(6):56. doi: 10.21037/cco-21-82. Epub 2021 Nov 16.
7
Whole-body F-fluorodeoxyglucose positron emission tomography-computed tomography (F-FDG PET/CT) for staging locally advanced breast cancer: A prospective study from a tertiary cancer centre in south India.全身 F-氟代脱氧葡萄糖正电子发射断层扫描-计算机断层扫描(F-FDG PET/CT)在局部晚期乳腺癌分期中的应用:来自印度南部一家三级癌症中心的前瞻性研究。
Indian J Med Res. 2018 Mar;147(3):256-262. doi: 10.4103/ijmr.IJMR_1368_16.
8
A Prospective Comparison of F-prostate-specific Membrane Antigen-1007 Positron Emission Tomography Computed Tomography, Whole-body 1.5 T Magnetic Resonance Imaging with Diffusion-weighted Imaging, and Single-photon Emission Computed Tomography/Computed Tomography with Traditional Imaging in Primary Distant Metastasis Staging of Prostate Cancer (PROSTAGE).F-前列腺特异性膜抗原-1007 正电子发射断层扫描计算机断层扫描、全身 1.5T 磁共振成像弥散加权成像与传统成像单光子发射计算机断层扫描/计算机断层扫描在前列腺癌原发远处转移分期(PROSTAGE)中的前瞻性比较
Eur Urol Oncol. 2021 Aug;4(4):635-644. doi: 10.1016/j.euo.2020.06.012. Epub 2020 Jul 13.
9
18F-fluorodeoxyglucose positron emission tomography/computed tomography (FDG-PET/CT) imaging in the staging and prognosis of inflammatory breast cancer.18F-氟脱氧葡萄糖正电子发射断层扫描/计算机断层扫描(FDG-PET/CT)成像在炎性乳腺癌分期及预后评估中的应用
Cancer. 2009 Nov 1;115(21):5038-47. doi: 10.1002/cncr.24534.
10
[18F]Fluorodeoxyglucose (FDG)-Positron Emission Tomography (PET)/Computed Tomography (CT) in Suspected Recurrent Breast Cancer: A Prospective Comparative Study of Dual-Time-Point FDG-PET/CT, Contrast-Enhanced CT, and Bone Scintigraphy.[18F]氟代脱氧葡萄糖(FDG)-正电子发射断层扫描(PET)/计算机断层扫描(CT)在疑似复发性乳腺癌中的应用:双时相 FDG-PET/CT、增强 CT 和骨闪烁显像的前瞻性对比研究。
J Clin Oncol. 2016 Jun 1;34(16):1889-97. doi: 10.1200/JCO.2015.63.5185. Epub 2016 Mar 21.

引用本文的文献

1
Double trouble, managing bilateral inflammatory breast cancer: a case report.双重难题:双侧炎性乳腺癌的管理——病例报告
Front Oncol. 2025 Aug 20;15:1595513. doi: 10.3389/fonc.2025.1595513. eCollection 2025.
2
A Case of Bilateral Inflammatory Breast Cancer.一例双侧炎性乳腺癌病例。
Cureus. 2023 Jun 7;15(6):e40101. doi: 10.7759/cureus.40101. eCollection 2023 Jun.

本文引用的文献

1
Pattern of distant metastases in inflammatory breast cancer - A large-cohort retrospective study.炎性乳腺癌远处转移模式——一项大型队列回顾性研究
J Cancer. 2020 Jan 1;11(2):292-300. doi: 10.7150/jca.34572. eCollection 2020.
2
¹⁸F-FDG PET/CT imaging versus dynamic contrast-enhanced CT for staging and prognosis of inflammatory breast cancer.¹⁸F-FDG PET/CT 成像与动态对比增强 CT 用于炎性乳腺癌的分期和预后评估。
Eur J Nucl Med Mol Imaging. 2013 Aug;40(8):1206-13. doi: 10.1007/s00259-013-2405-z. Epub 2013 May 3.
3
Skin thickening as unique pathologic sign of an inflammatory breast cancer: a case report and review of the literature.
皮肤增厚作为炎性乳腺癌的独特病理征象:一例病例报告及文献综述
Clin Ter. 2011;162(4):351-4.
4
International expert panel on inflammatory breast cancer: consensus statement for standardized diagnosis and treatment.国际炎性乳腺癌专家小组:标准化诊断和治疗的共识声明。
Ann Oncol. 2011 Mar;22(3):515-523. doi: 10.1093/annonc/mdq345. Epub 2010 Jul 5.
5
18F-fluorodeoxyglucose positron emission tomography/computed tomography (FDG-PET/CT) imaging in the staging and prognosis of inflammatory breast cancer.18F-氟脱氧葡萄糖正电子发射断层扫描/计算机断层扫描(FDG-PET/CT)成像在炎性乳腺癌分期及预后评估中的应用
Cancer. 2009 Nov 1;115(21):5038-47. doi: 10.1002/cncr.24534.
6
Pathologic aspects of inflammatory breast carcinoma: part 1. Histomorphology and differential diagnosis.炎性乳腺癌的病理学方面:第1部分。组织形态学与鉴别诊断。
Semin Oncol. 2008 Feb;35(1):25-32. doi: 10.1053/j.seminoncol.2007.11.013.
7
Trends in inflammatory breast carcinoma incidence and survival: the surveillance, epidemiology, and end results program at the National Cancer Institute.炎性乳腺癌发病率及生存率趋势:美国国立癌症研究所的监测、流行病学与最终结果计划
J Natl Cancer Inst. 2005 Jul 6;97(13):966-75. doi: 10.1093/jnci/dji172.
8
High incidence of HER-2 positivity in inflammatory breast cancer.炎性乳腺癌中HER-2阳性的高发生率。
Breast. 2004 Apr;13(2):97-103. doi: 10.1016/j.breast.2003.08.004.
9
Inflammatory breast carcinoma and noninflammatory locally advanced breast carcinoma: distinct clinicopathologic entities?炎性乳腺癌与非炎性局部晚期乳腺癌:不同的临床病理实体?
J Clin Oncol. 2003 Jun 15;21(12):2254-9. doi: 10.1200/JCO.2003.07.082.
10
Primary inflammatory carcinoma of the breast: retrospective review of mammographic findings.原发性乳腺炎性癌:乳腺钼靶检查结果的回顾性分析
AJR Am J Roentgenol. 2000 Feb;174(2):535-8. doi: 10.2214/ajr.174.2.1740535.