Suppr超能文献

使用计算机断层扫描方法评估袖状胃切除术后的骨密度和骨骼肌质量。

Evaluation of bone density and skeletal muscle mass after sleeve gastrectomy using computed tomography method.

作者信息

Kai Kazuhiro, Fujiwara Toshifumi, Nagao Yoshihiro, Oki Eiji, Yoshizumi Tomoharu, Eto Masatoshi, Nakashima Yasuharu

机构信息

Department of Orthopedic Surgery, Graduate School of Medical Sciences, Kyushu University, Fukuoka, Japan.

Department of Surgery and Science, Graduate School of Medical Science, Kyushu University, Fukuoka, Japan.

出版信息

Bone Rep. 2023 Feb 11;18:101661. doi: 10.1016/j.bonr.2023.101661. eCollection 2023 Jun.

Abstract

INTRODUCTION

Sleeve gastrectomy is the most common surgical procedure to reduce weight and treat metabolic complications in patients with moderate-to-severe obesity; however, it affects the musculoskeletal system. Dual-energy X-ray absorptiometry (DXA), which is commonly used to measure bone mineral density (BMD), may be affected by excess fat tissue around the bones, interrupting BMD measurement. Due to the strong correlation between DXA and the Hounsfield units (HU) obtained from computed tomography (CT) scans, BMD assessment using clinical abdominal CT scans has been useful. To date, there has been no report of detailed CT evaluation in patients with severe obesity after sleeve gastrectomy.

OBJECTIVE

This study investigated the effect of sleeve gastrectomy in severely obese patients on bone and psoas muscle density, and cross-sectional area using retrospective clinical CT scans.

METHODS

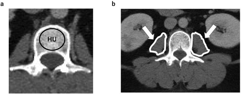
This was a retrospective observational study that included 86 patients (35 males and 51 females) who underwent sleeve gastrectomy between March 2012 and May 2019. Patients' clinical data (age at the time of surgery, sex, body weight, body mass index (BMI), comorbidities, and preoperative and postoperative blood test results, HU of the lumbar spine and psoas muscle and psoas muscle mass index (PMI)) were evaluated.

RESULTS

The mean age at the time of surgery was 43 years, and the body weight and BMI significantly reduced ( < 0.01) after surgery. The mean hemoglobin A1c level showed significant improvement in males and females. Serum calcium and phosphorus levels remained unchanged before and after surgery. In CT analysis, HU of the lumbar spine and psoas muscle showed no significant decrease, but PMI showed a significant decrease ( < 0.01).

CONCLUSIONS

Sleeve gastrectomy could dramatically improve anthropometric measures without causing changes in serum calcium and phosphorus levels. Preoperative and postoperative abdominal CT revealed no significant difference in the bone and psoas muscle density, and the psoas muscle mass was significantly decreased after sleeve gastrectomy.

摘要

引言

袖状胃切除术是减轻中重度肥胖患者体重并治疗代谢并发症最常用的外科手术;然而,它会影响肌肉骨骼系统。常用于测量骨密度(BMD)的双能X线吸收法(DXA)可能会受到骨骼周围过多脂肪组织的影响,从而干扰骨密度测量。由于DXA与计算机断层扫描(CT)扫描获得的亨氏单位(HU)之间存在很强的相关性,因此使用临床腹部CT扫描进行骨密度评估很有用。迄今为止,尚无关于袖状胃切除术后严重肥胖患者详细CT评估的报告。

目的

本研究通过回顾性临床CT扫描,调查袖状胃切除术对严重肥胖患者骨骼和腰大肌密度以及横截面积的影响。

方法

这是一项回顾性观察研究,纳入了2012年3月至2019年5月期间接受袖状胃切除术的86例患者(35例男性和51例女性)。评估了患者的临床数据(手术时年龄、性别、体重、体重指数(BMI)、合并症以及术前和术后血液检查结果、腰椎和腰大肌的HU以及腰大肌质量指数(PMI))。

结果

手术时的平均年龄为43岁,术后体重和BMI显著降低(<0.01)。男性和女性的平均糖化血红蛋白水平均有显著改善。手术前后血清钙和磷水平保持不变。在CT分析中,腰椎和腰大肌的HU没有显著降低,但PMI显著降低(<0.01)。

结论

袖状胃切除术可显著改善人体测量指标,且不会导致血清钙和磷水平发生变化。术前和术后腹部CT显示骨骼和腰大肌密度无显著差异,袖状胃切除术后腰大肌质量显著降低。

https://cdn.ncbi.nlm.nih.gov/pmc/blobs/3f10/9946851/62c8cfe7ff8e/gr1.jpg

文献AI研究员

20分钟写一篇综述,助力文献阅读效率提升50倍。

立即体验

用中文搜PubMed

大模型驱动的PubMed中文搜索引擎

马上搜索

文档翻译

学术文献翻译模型,支持多种主流文档格式。

立即体验