Department of Prosthodontics, School and Hospital of Stomatology, Wenzhou Medical University, Wenzhou 325000, China.
Institute of Stomatology, School and Hospital of Stomatology, Wenzhou Medical University, Wenzhou 325000, China.
Oxid Med Cell Longev. 2023 Feb 15;2023:5617800. doi: 10.1155/2023/5617800. eCollection 2023.
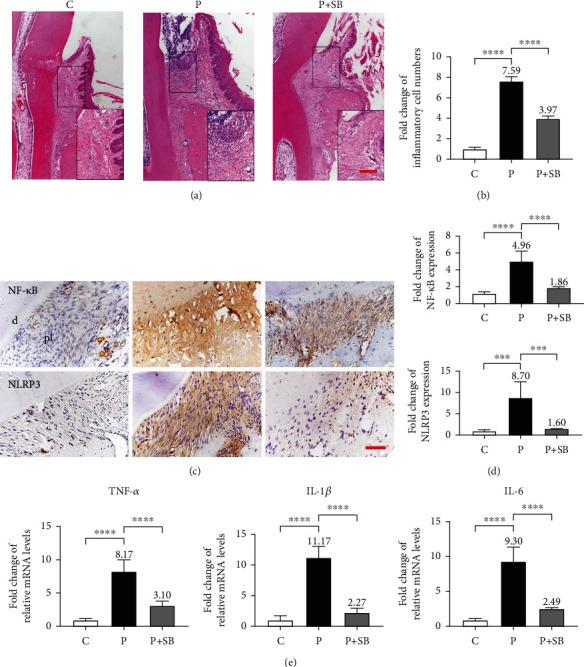
Periodontitis is an oral microbiota-induced inflammatory disease, in which inflammation and oxidative stress play a critical role. Silibinin (SB), a Silybum marianum-derived compound, exhibits strong anti-inflammatory and antioxidative properties. We adopted a rat ligature-induced periodontitis model and a lipopolysaccharide- (LPS-) stimulated human periodontal ligament cells (hPDLCs) model to evaluate the protective effects of SB. In the model, SB reduced alveolar bone loss and apoptosis of PDLCs in the periodontal tissue. SB also maintained the expression of nuclear factor-E2-related factor 2 (Nrf2), a key regulator of cellular resistance to oxidative stress, and attenuated lipid, protein, and DNA oxidative damages in the periodontal lesion area. Meanwhile, in the model, SB administration reduced the production of intracellular reactive oxidative species (ROS). Furthermore, SB exerted a strong anti-inflammatory property in both and models by inhibiting the expression of inflammatory mediators including nuclear factor-B (NF-B) as well as nucleotide binding oligomerization domain- (NOD-) like receptor family pyrin domain-containing 3 (NLRP3) and downregulating the levels of proinflammatory cytokines. This study, for the first time, demonstrates that SB exhibits the anti-inflammatory and antioxidative properties against periodontitis by downregulating the expression of NF-B and NLRP3 and upregulating Nrf2 expression, suggesting a promising potential clinical application of SB in periodontitis.
牙周炎是一种由口腔微生物群诱导的炎症性疾病,其中炎症和氧化应激起着关键作用。水飞蓟宾(SB)是一种来源于水飞蓟的化合物,具有很强的抗炎和抗氧化特性。我们采用大鼠结扎诱导牙周炎模型和脂多糖(LPS)刺激的人牙周韧带细胞(hPDLC)模型来评估 SB 的保护作用。在模型中,SB 减少了牙周组织中牙槽骨的丢失和 PDLC 的凋亡。SB 还维持了核因子-E2 相关因子 2(Nrf2)的表达,Nrf2 是细胞抵抗氧化应激的关键调节剂,并减轻了牙周病变区域的脂质、蛋白质和 DNA 氧化损伤。同时,在模型中,SB 给药减少了细胞内活性氧(ROS)的产生。此外,SB 在和模型中均表现出很强的抗炎特性,通过抑制核因子-B(NF-B)以及核苷酸结合寡聚化结构域-(NOD-)样受体家族吡喃结构域包含 3(NLRP3)和下调促炎细胞因子的水平来抑制炎症介质的表达。这项研究首次表明,SB 通过下调 NF-B 和 NLRP3 的表达以及上调 Nrf2 的表达,表现出对牙周炎的抗炎和抗氧化特性,提示 SB 在牙周炎治疗方面具有潜在的临床应用前景。