• 文献检索
  • 文档翻译
  • 深度研究
  • 学术资讯
  • Suppr Zotero 插件Zotero 插件
  • 邀请有礼
  • 套餐&价格
  • 历史记录
应用&插件
Suppr Zotero 插件Zotero 插件浏览器插件Mac 客户端Windows 客户端微信小程序
定价
高级版会员购买积分包购买API积分包
服务
文献检索文档翻译深度研究API 文档MCP 服务
关于我们
关于 Suppr公司介绍联系我们用户协议隐私条款
关注我们

Suppr 超能文献

核心技术专利:CN118964589B侵权必究
粤ICP备2023148730 号-1Suppr @ 2026

文献检索

告别复杂PubMed语法,用中文像聊天一样搜索,搜遍4000万医学文献。AI智能推荐,让科研检索更轻松。

立即免费搜索

文件翻译

保留排版,准确专业,支持PDF/Word/PPT等文件格式,支持 12+语言互译。

免费翻译文档

深度研究

AI帮你快速写综述,25分钟生成高质量综述,智能提取关键信息,辅助科研写作。

立即免费体验

一名患有高免疫球蛋白E的青春期女孩的狼疮性肾炎

Lupus Nephritis in an Adolescent Girl With Hyper-Immunoglobulin E.

作者信息

Alahmadi Ghadeer G, El-Desoky Sherif M, Al Zahrani Reem A, Kari Jameela A

机构信息

Pediatrics, King Abdulaziz University Faculty of Medicine, Jeddah, SAU.

Pediatrics Nephrology, King Abdulaziz University Faculty of Medicine, Jeddah, SAU.

出版信息

Cureus. 2023 Jan 29;15(1):e34332. doi: 10.7759/cureus.34332. eCollection 2023 Jan.

DOI:10.7759/cureus.34332
PMID:36865980
原文链接:https://pmc.ncbi.nlm.nih.gov/articles/PMC9972904/
Abstract

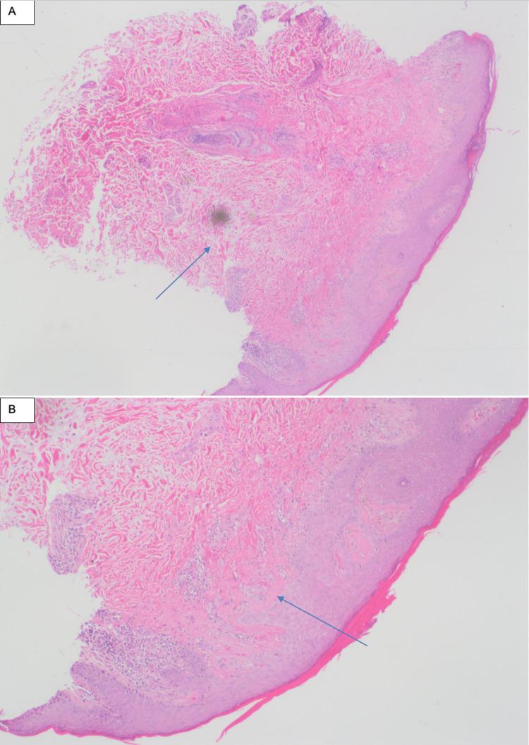
We report the case of an adolescent girl with frequent hospital admissions for severe eczematous skin rashes with recurrent epistaxis and chest infections. Investigations revealed persistent severely elevated serum total immunoglobulin E (IgE) levels but normal levels of other immunoglobulins, suggesting hyper-IgE syndrome. The first skin biopsy revealed superficial dermatophytic dermatitis (tinea corpora). Another biopsy performed after six months revealed a prominent basement membrane with dermal mucin, suggesting an underlying autoimmune disease. Her condition was complicated by proteinuria, hematuria, hypertension, and edema. A kidney biopsy revealed class IV lupus nephritis, according to the International Society of Nephrology/Renal Pathology Society (ISN/RPS). Based on the American College of Rheumatology/European League Against Rheumatism (ACR/EULAR) criteria, she was diagnosed with systemic lupus erythematosus (SLE). She was first administered with intravenous pulse methylprednisolone (600 mg/m) for three consecutive days, followed by oral prednisolone (40 mg/m) daily, mycophenolate mofetil tablets (600 mg/m/dose) twice daily, hydroxychloroquine (200 mg) once daily, and three classes of antihypertensive medications. She maintained normal renal functions with no lupus morbidity for 24 months, then rapidly progressed to end-stage kidney disease, and was then started on three to four sessions of regular hemodialysis per week. Hyper-IgE is known to be a marker of immune dysregulation as it facilitates the generation of immune complexes (ICs) that mediate lupus nephritis and juvenile SLE. Regardless of the different factors that are impacting the production of IgE, the present case illustrated that juvenile patients with SLE may have increased IgE levels, indicating that higher IgE levels might have a role in lupus pathogenesis and prognosis. The mechanisms regarding the increased levels of IgE in subjects with lupus need further investigation. Further studies are thus required to assess the incidence, prognosis, and possible new specific management for hyper-IgE in juvenile SLE.

摘要

我们报告了一名青春期女孩的病例,她因严重的湿疹性皮疹、反复鼻出血和胸部感染而频繁住院。检查发现血清总免疫球蛋白E(IgE)水平持续严重升高,但其他免疫球蛋白水平正常,提示高IgE综合征。首次皮肤活检显示浅表皮肤癣菌性皮炎(体癣)。六个月后进行的另一次活检显示基底膜突出伴真皮粘蛋白,提示潜在的自身免疫性疾病。她的病情因蛋白尿、血尿、高血压和水肿而复杂化。根据国际肾脏病学会/肾脏病理学会(ISN/RPS)的标准,肾脏活检显示为IV级狼疮性肾炎。根据美国风湿病学会/欧洲抗风湿病联盟(ACR/EULAR)标准,她被诊断为系统性红斑狼疮(SLE)。她首先连续三天静脉注射脉冲甲基强的松龙(600 mg/m),随后每天口服强的松龙(40 mg/m)、霉酚酸酯片(600 mg/m/剂量)每日两次、羟氯喹(200 mg)每日一次,以及三类降压药物。她维持正常肾功能24个月无狼疮发病,然后迅速进展为终末期肾病,随后开始每周进行三到四次定期血液透析。高IgE已知是免疫失调的标志物,因为它促进介导狼疮性肾炎和青少年SLE的免疫复合物(IC)的产生。无论影响IgE产生的不同因素如何,本病例表明SLE青少年患者可能有IgE水平升高,表明较高的IgE水平可能在狼疮发病机制和预后中起作用。狼疮患者中IgE水平升高的机制需要进一步研究。因此,需要进一步研究来评估青少年SLE中高IgE的发病率、预后和可能的新的特异性治疗方法。

https://cdn.ncbi.nlm.nih.gov/pmc/blobs/88a5/9972904/dda1baf47663/cureus-0015-00000034332-i04.jpg
https://cdn.ncbi.nlm.nih.gov/pmc/blobs/88a5/9972904/a68acb2a25c9/cureus-0015-00000034332-i01.jpg
https://cdn.ncbi.nlm.nih.gov/pmc/blobs/88a5/9972904/f7a7294cdb4d/cureus-0015-00000034332-i02.jpg
https://cdn.ncbi.nlm.nih.gov/pmc/blobs/88a5/9972904/215d75a24c68/cureus-0015-00000034332-i03.jpg
https://cdn.ncbi.nlm.nih.gov/pmc/blobs/88a5/9972904/dda1baf47663/cureus-0015-00000034332-i04.jpg
https://cdn.ncbi.nlm.nih.gov/pmc/blobs/88a5/9972904/a68acb2a25c9/cureus-0015-00000034332-i01.jpg
https://cdn.ncbi.nlm.nih.gov/pmc/blobs/88a5/9972904/f7a7294cdb4d/cureus-0015-00000034332-i02.jpg
https://cdn.ncbi.nlm.nih.gov/pmc/blobs/88a5/9972904/215d75a24c68/cureus-0015-00000034332-i03.jpg
https://cdn.ncbi.nlm.nih.gov/pmc/blobs/88a5/9972904/dda1baf47663/cureus-0015-00000034332-i04.jpg

相似文献

1
Lupus Nephritis in an Adolescent Girl With Hyper-Immunoglobulin E.一名患有高免疫球蛋白E的青春期女孩的狼疮性肾炎
Cureus. 2023 Jan 29;15(1):e34332. doi: 10.7759/cureus.34332. eCollection 2023 Jan.
2
Systemic lupus erythematosus following HPV immunization or infection?HPV 免疫接种或感染后是否会引发系统性红斑狼疮?
Lupus. 2012 Feb;21(2):158-61. doi: 10.1177/0961203311429556.
3
Clinical Outcomes Observed among Biopsy Proven Lupus Nephritis Patients Treated with Mycophenolate Mofetil as First-line Therapy.霉酚酸酯作为一线治疗方案用于经活检证实的狼疮性肾炎患者的临床观察结果
Cureus. 2017 Dec 4;9(12):e1907. doi: 10.7759/cureus.1907.
4
Do we really need cyclophosphamide for lupus nephritis?我们真的需要环磷酰胺治疗狼疮肾炎吗?
Pediatr Nephrol. 2024 Nov;39(11):3193-3200. doi: 10.1007/s00467-024-06367-9. Epub 2024 Apr 12.
5
An Unusual and Rare Case of a Seronegative Male Patient With Lupus Nephritis.一例罕见的血清学阴性男性狼疮性肾炎患者
Cureus. 2020 Aug 14;12(8):e9739. doi: 10.7759/cureus.9739.
6
Successful treatment with mycophenolate mofetil and tacrolimus in juvenile severe lupus nephritis.霉酚酸酯和他克莫司成功治疗青少年重症狼疮性肾炎。
Case Rep Pediatr. 2015;2015:651803. doi: 10.1155/2015/651803. Epub 2015 Feb 17.
7
Selective immunoglobulin M deficiency complicated by systemic lupus erythematosus and antiphospholipid syndrome: a case report and review of literature.选择性免疫球蛋白 M 缺陷症并发系统性红斑狼疮和抗磷脂综合征:病例报告及文献复习。
CEN Case Rep. 2021 Aug;10(3):435-441. doi: 10.1007/s13730-021-00583-0. Epub 2021 Feb 22.
8
A case of membranous nephropathy diagnosed with lupus nephritis 11 years after onset.1例膜性肾病发病11年后诊断为狼疮性肾炎。
CEN Case Rep. 2019 Nov;8(4):301-307. doi: 10.1007/s13730-019-00412-5. Epub 2019 Aug 9.
9
[Laboratory and morphologic parameters in patients with lupus nephritis].[狼疮性肾炎患者的实验室及形态学参数]
Srp Arh Celok Lek. 2002 Aug;130 Suppl 3:38-41.
10
An observational study of outcome in SLE patients with biopsy-verified glomerulonephritis between 1986 and 2004 in a defined area of southern Sweden: the clinical utility of the ACR renal response criteria and predictors for renal outcome.1986 年至 2004 年间在瑞典南部一个特定地区进行的一项观察性研究,对经活检证实的肾小球肾炎的 SLE 患者的结局进行研究:ACR 肾脏缓解标准的临床实用性及其对肾脏结局的预测因素。
Scand J Rheumatol. 2013;42(5):383-9. doi: 10.3109/03009742.2013.799224. Epub 2013 Jul 5.

引用本文的文献

1
Efficacy and safety of telitacicept in patients with lupus nephritis: a single-center, real-world retrospective study.在狼疮肾炎患者中,telitacicept 的疗效和安全性:一项单中心、真实世界的回顾性研究。
Clin Exp Nephrol. 2024 Sep;28(9):902-909. doi: 10.1007/s10157-024-02501-x. Epub 2024 Apr 13.

本文引用的文献

1
Autoreactive B cells in SLE, villains or innocent bystanders?SLE 中的自身反应性 B 细胞:恶棍还是无辜的旁观者?
Immunol Rev. 2019 Nov;292(1):120-138. doi: 10.1111/imr.12815. Epub 2019 Oct 21.
2
Platelets and IgE: Shaping the Innate Immune Response in Systemic Lupus Erythematosus.血小板与 IgE:在系统性红斑狼疮中塑造固有免疫应答。
Clin Rev Allergy Immunol. 2020 Apr;58(2):194-212. doi: 10.1007/s12016-019-08744-x.
3
Immunoglobulin E-Mediated Autoimmunity.免疫球蛋白 E 介导的自身免疫
Front Immunol. 2018 Apr 9;9:689. doi: 10.3389/fimmu.2018.00689. eCollection 2018.
4
Revision of the International Society of Nephrology/Renal Pathology Society classification for lupus nephritis: clarification of definitions, and modified National Institutes of Health activity and chronicity indices.狼疮肾炎国际肾脏病学会/肾脏病理学会分类修订:定义的澄清,以及国立卫生研究院活动和慢性指数的修改。
Kidney Int. 2018 Apr;93(4):789-796. doi: 10.1016/j.kint.2017.11.023. Epub 2018 Feb 16.
5
IgE in lupus pathogenesis: Friends or foes?IgE 在狼疮发病机制中的作用:是敌是友?
Autoimmun Rev. 2018 Apr;17(4):361-365. doi: 10.1016/j.autrev.2017.11.027. Epub 2018 Feb 7.
6
Pathogenic mechanisms of IgE-mediated inflammation in self-destructive autoimmune responses.自我破坏性自身免疫反应中IgE介导的炎症的致病机制。
Autoimmunity. 2017 Feb;50(1):25-36. doi: 10.1080/08916934.2017.1280670.
7
Self-reactive IgE exacerbates interferon responses associated with autoimmunity.自身反应性IgE会加剧与自身免疫相关的干扰素反应。
Nat Immunol. 2016 Feb;17(2):196-203. doi: 10.1038/ni.3326. Epub 2015 Dec 21.
8
The production and regulation of IgE by the immune system.免疫系统产生和调节 IgE。
Nat Rev Immunol. 2014 Apr;14(4):247-59. doi: 10.1038/nri3632. Epub 2014 Mar 14.
9
Autoreactive IgE is prevalent in systemic lupus erythematosus and is associated with increased disease activity and nephritis.自身反应性IgE在系统性红斑狼疮中普遍存在,并与疾病活动度增加和肾炎相关。
PLoS One. 2014 Feb 28;9(2):e90424. doi: 10.1371/journal.pone.0090424. eCollection 2014.
10
Increased IgE serum levels are unrelated to allergic and parasitic diseases in patients with juvenile systemic lupus erythematosus.血清 IgE 水平升高与青少年系统性红斑狼疮患者的过敏性和寄生虫性疾病无关。
Clinics (Sao Paulo). 2012 Nov;67(11):1275-80. doi: 10.6061/clinics/2012(11)09.