• 文献检索
  • 文档翻译
  • 深度研究
  • 学术资讯
  • Suppr Zotero 插件Zotero 插件
  • 邀请有礼
  • 套餐&价格
  • 历史记录
应用&插件
Suppr Zotero 插件Zotero 插件浏览器插件Mac 客户端Windows 客户端微信小程序
定价
高级版会员购买积分包购买API积分包
服务
文献检索文档翻译深度研究API 文档MCP 服务
关于我们
关于 Suppr公司介绍联系我们用户协议隐私条款
关注我们

Suppr 超能文献

核心技术专利:CN118964589B侵权必究
粤ICP备2023148730 号-1Suppr @ 2026

文献检索

告别复杂PubMed语法,用中文像聊天一样搜索,搜遍4000万医学文献。AI智能推荐,让科研检索更轻松。

立即免费搜索

文件翻译

保留排版,准确专业,支持PDF/Word/PPT等文件格式,支持 12+语言互译。

免费翻译文档

深度研究

AI帮你快速写综述,25分钟生成高质量综述,智能提取关键信息,辅助科研写作。

立即免费体验

免疫检查点抑制剂再激发期间的贝尔麻痹

Bell's palsy during rechallenge of immune checkpoint inhibitor.

作者信息

Takemura Kohji, Yamanaka Taro, Hayashida Michikata, Kizawa Rika, Yamaguchi Takeshi, Tanabe Yuko, Sakaguchi Kazushige, Suyama Koichi, Urakami Shinji, Miura Yuji

机构信息

Department of Medical Oncology Toranomon Hospital Tokyo Japan.

Department of Urology Toranomon Hospital Tokyo Japan.

出版信息

IJU Case Rep. 2023 Jan 16;6(2):144-146. doi: 10.1002/iju5.12572. eCollection 2023 Mar.

DOI:10.1002/iju5.12572
PMID:36875003
原文链接:https://pmc.ncbi.nlm.nih.gov/articles/PMC9978074/
Abstract

INTRODUCTION

The peripheral nervous system is one of the target organs of immune-related adverse events. Peripheral facial nerve palsy, also called Bell's palsy, which is induced by immune checkpoint inhibitors, is quite rare, and its clinical features are not well known.

CASE PRESENTATION

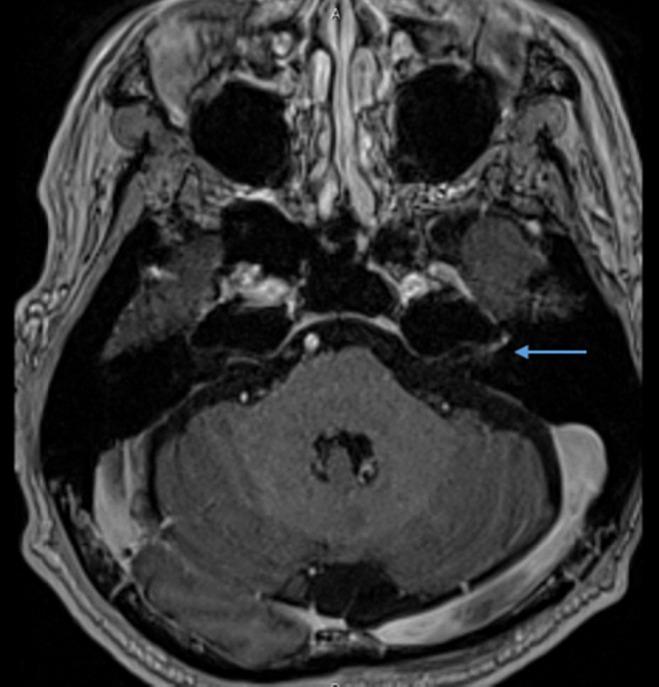
A man with renal cell carcinoma who received rechallenging immune checkpoint inhibitor therapy developed unilateral facial palsy and was diagnosed with Bell's palsy. He did not have any severe immune-related adverse events during his previous immune checkpoint inhibitor treatment. Corticosteroid therapy was immediately initiated, and his facial palsy symptoms promptly improved.

CONCLUSION

Physicians should be aware that Bell's palsy can occur as an immune-related adverse event. Additionally, careful observation is necessary during rechallenge with immune checkpoint inhibitors, even in patients who did not have previous immune-related adverse events.

摘要

引言

外周神经系统是免疫相关不良事件的靶器官之一。由免疫检查点抑制剂诱发的周围性面神经麻痹,也称为贝尔麻痹,非常罕见,其临床特征尚不清楚。

病例介绍

一名接受再次免疫检查点抑制剂治疗的肾细胞癌男性出现单侧面神经麻痹,并被诊断为贝尔麻痹。他在之前的免疫检查点抑制剂治疗期间没有发生任何严重的免疫相关不良事件。立即开始使用皮质类固醇治疗,其面神经麻痹症状迅速改善。

结论

医生应意识到贝尔麻痹可能作为免疫相关不良事件发生。此外,即使在既往没有免疫相关不良事件的患者中,再次使用免疫检查点抑制剂时也需要仔细观察。

https://cdn.ncbi.nlm.nih.gov/pmc/blobs/479d/9978074/470e5d5bc08e/IJU5-6-144-g001.jpg
https://cdn.ncbi.nlm.nih.gov/pmc/blobs/479d/9978074/470e5d5bc08e/IJU5-6-144-g001.jpg
https://cdn.ncbi.nlm.nih.gov/pmc/blobs/479d/9978074/470e5d5bc08e/IJU5-6-144-g001.jpg

相似文献

1
Bell's palsy during rechallenge of immune checkpoint inhibitor.免疫检查点抑制剂再激发期间的贝尔麻痹
IJU Case Rep. 2023 Jan 16;6(2):144-146. doi: 10.1002/iju5.12572. eCollection 2023 Mar.
2
Immune-related Bell's palsy in melanoma patients treated with immune checkpoint inhibitors.免疫检查点抑制剂治疗黑素瘤患者相关的免疫相关性贝尔麻痹。
Melanoma Res. 2021 Apr 1;31(2):178-180. doi: 10.1097/CMR.0000000000000715.
3
Bell's palsy associated with linezolid therapy: case report and review of neuropathic adverse events.与利奈唑胺治疗相关的贝尔麻痹:病例报告及神经性不良事件综述
Pharmacotherapy. 2006 Aug;26(8):1183-9. doi: 10.1592/phco.26.8.1183.
4
Pontine stroke presenting as isolated facial nerve palsy mimicking Bell's palsy: a case report.表现为酷似贝尔麻痹的孤立性面神经麻痹的脑桥卒中:一例报告
J Med Case Rep. 2011 Jul 5;5:287. doi: 10.1186/1752-1947-5-287.
5
Clinical practice guideline: Bell's palsy.临床实践指南:贝尔氏麻痹。
Otolaryngol Head Neck Surg. 2013 Nov;149(3 Suppl):S1-27. doi: 10.1177/0194599813505967.
6
Bell's palsy after concomitant chemoradiotherapy: a case report and literature review.同步放化疗后发生的贝尔麻痹:一例病例报告及文献综述
J Dent Anesth Pain Med. 2024 Apr;24(2):129-135. doi: 10.17245/jdapm.2024.24.2.129. Epub 2024 Mar 28.
7
Comparison of conservative therapy and steroid therapy for Bell's palsy in children.儿童贝尔面瘫保守治疗与类固醇治疗的比较。
Korean J Pediatr. 2018 Oct;61(10):332-337. doi: 10.3345/kjp.2018.06380. Epub 2018 Sep 12.
8
Immune-Nutritional Status as a Novel Prognostic Predictor of Bell's Palsy.免疫营养状况作为贝尔面瘫的新型预后预测指标。
Audiol Neurootol. 2022;27(5):418-426. doi: 10.1159/000524355. Epub 2022 May 5.
9
The ratio of facial nerve to facial canal as an indicator of entrapment in Bell's palsy: A study by CT and MRI.面神经与面神经管比值作为 Bell 麻痹时神经受压的指标:CT 和 MRI 研究。
Clin Neurol Neurosurg. 2020 Nov;198:106109. doi: 10.1016/j.clineuro.2020.106109. Epub 2020 Jul 25.
10
Bell's Palsy, an Adverse Event Following COVID Vaccines.贝尔麻痹,新冠疫苗接种后的不良事件。
Iran J Otorhinolaryngol. 2024 Jul;36(4):527-535. doi: 10.22038/IJORL.2024.69721.3364.

引用本文的文献

1
Rechallenge of anti-PD-1 antibody combined with chemotherapy shows promising efficacy in the treatment of advanced metastatic hepatocellular carcinoma: A case report.抗PD-1抗体联合化疗再挑战治疗晚期转移性肝细胞癌显示出有前景的疗效:一例病例报告
Oncol Lett. 2025 May 19;30(1):352. doi: 10.3892/ol.2025.15098. eCollection 2025 Jul.
2
Immune checkpoint inhibitors-associated cranial nerves involvement: a systematic literature review on 136 patients.免疫检查点抑制剂相关的颅神经受累:对136例患者的系统文献综述
J Neurol. 2024 Oct;271(10):6514-6525. doi: 10.1007/s00415-024-12660-2. Epub 2024 Sep 3.
3
Facial palsy after administration of immune checkpoint inhibitors: case report, literature review and clinical care management.

本文引用的文献

1
Atezolizumab-Induced Bell's Palsy in a Patient With Small Cell Lung Cancer.阿特珠单抗致小细胞肺癌患者贝尔氏麻痹。
J Investig Med High Impact Case Rep. 2020 Jan-Dec;8:2324709620965010. doi: 10.1177/2324709620965010.
2
Evaluation of the Safety and Efficacy of Immunotherapy Rechallenge in Patients With Renal Cell Carcinoma.评估免疫治疗再挑战治疗肾细胞癌患者的安全性和疗效。
JAMA Oncol. 2020 Oct 1;6(10):1606-1610. doi: 10.1001/jamaoncol.2020.2169.
3
Immune Checkpoint Inhibitor Rechallenge After Immune-Related Adverse Events in Patients With Cancer.
免疫检查点抑制剂治疗后的面瘫:病例报告、文献复习及临床护理管理。
Front Immunol. 2024 Mar 22;15:1375497. doi: 10.3389/fimmu.2024.1375497. eCollection 2024.
4
Immune Checkpoint Inhibitor-Induced Pure Red Cell Aplasia: A Review of 2 Cases in Metastatic Melanoma.免疫检查点抑制剂相关纯红细胞再生障碍:2 例转移性黑色素瘤病例分析
Am J Case Rep. 2023 Nov 14;24:e941789. doi: 10.12659/AJCR.941789.
癌症患者发生免疫相关不良反应后免疫检查点抑制剂的再次挑战
JAMA Oncol. 2020 Jun 1;6(6):865-871. doi: 10.1001/jamaoncol.2020.0726.
4
Autoimmune Bell's Palsy Following Immunotherapy For Metastatic Melanoma: A Report of 2 Cases.免疫治疗转移性黑色素瘤后发生自身免疫性贝尔氏面瘫:2 例报告。
J Immunother. 2019 Oct;42(8):318-320. doi: 10.1097/CJI.0000000000000291.
5
PD-1 Inhibitors-Related Neurological Toxicities in Patients with Non-Small-Cell Lung Cancer: A Literature Review.非小细胞肺癌患者中与程序性死亡受体1抑制剂相关的神经毒性:文献综述
Cancers (Basel). 2019 Mar 1;11(3):296. doi: 10.3390/cancers11030296.
6
Development of Bell's Palsy After Treatment With Ipilimumab and Nivolumab for Metastatic Melanoma: A Case Report.Ipilimumab 和 Nivolumab 治疗转移性黑色素瘤后发生贝尔氏面瘫:病例报告。
J Immunother. 2018 Jan;41(1):39-41. doi: 10.1097/CJI.0000000000000184.
7
Neurological adverse events associated with immune checkpoint inhibitors: Review of the literature.与免疫检查点抑制剂相关的神经不良事件:文献复习。
Eur J Cancer. 2017 Mar;73:1-8. doi: 10.1016/j.ejca.2016.12.001. Epub 2017 Jan 5.
8
Clinical practice guideline: Bell's palsy.临床实践指南:贝尔氏麻痹。
Otolaryngol Head Neck Surg. 2013 Nov;149(3 Suppl):S1-27. doi: 10.1177/0194599813505967.
9
Early treatment with prednisolone or acyclovir in Bell's palsy.贝尔面瘫患者早期使用泼尼松龙或阿昔洛韦治疗。
N Engl J Med. 2007 Oct 18;357(16):1598-607. doi: 10.1056/NEJMoa072006.
10
Clinical practice. Bell's Palsy.临床实践。贝尔麻痹
N Engl J Med. 2004 Sep 23;351(13):1323-31. doi: 10.1056/NEJMcp041120.