Suppr超能文献

新冠病毒 mRNA 疫苗接种后出现 IgG4 相关疾病。

IgG4-related Disease Emerging after COVID-19 mRNA Vaccination.

机构信息

Department of Rheumatology and Allergy, IMSUT Hospital, the Institute of Medical Science, the University of Tokyo, Japan.

出版信息

Intern Med. 2023 May 15;62(10):1547-1551. doi: 10.2169/internalmedicine.1125-22. Epub 2023 Mar 8.

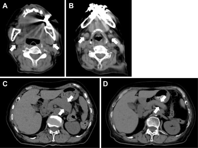
Abstract

A 78-year-old Japanese woman with no history of rheumatic disease received 2 doses of the BNT162b2 COVID-19 mRNA vaccine. Two weeks later, she noticed bilateral swelling in the submandibular region. Blood tests showed hyper-immunoglobulin (Ig)G4emia, and F-fluorodeoxyglucose (FDG)-positron emission tomography (PET) revealed the strong accumulation of FDG in the enlarged pancreas. She was diagnosed with IgG4-related disease (IgG4-RD) according to the American College of Rheumatology (ACR)/the European League Against Rheumatism (EULAR) classification criteria. Treatment was started with prednisolone at 30 mg/day, and the organ enlargement improved. We herein report a case of IgG4-RD that may have been associated with an mRNA vaccine.

摘要

一位 78 岁的日本女性,既往无风湿病史,接种了两剂 BNT162b2 COVID-19 mRNA 疫苗。两周后,她注意到双侧下颌下区域肿胀。血液检查显示高免疫球蛋白(Ig)G4 血症,氟-18 脱氧葡萄糖(FDG)正电子发射断层扫描(PET)显示 FDG 在肿大的胰腺中强烈积聚。根据美国风湿病学会(ACR)/欧洲抗风湿病联盟(EULAR)分类标准,她被诊断为 IgG4 相关疾病(IgG4-RD)。开始用泼尼松龙 30 mg/天治疗,器官肿大得到改善。我们在此报告一例可能与 mRNA 疫苗相关的 IgG4-RD 病例。

https://cdn.ncbi.nlm.nih.gov/pmc/blobs/b432/10258086/ef510d8118bb/1349-7235-62-1547-g001.jpg

文献AI研究员

20分钟写一篇综述,助力文献阅读效率提升50倍。

立即体验

用中文搜PubMed

大模型驱动的PubMed中文搜索引擎

马上搜索

文档翻译

学术文献翻译模型,支持多种主流文档格式。

立即体验