Suppr超能文献

肾科医生床旁超声检查在低钠血症评估中的应用

Utility of Nephrologist-Performed Point of Care Ultrasonography in the Evaluation of Hyponatremia.

作者信息

Saqib Mahmud, Capelli Gregory, Koratala Abhilash

机构信息

Division of Nephrology, Medical College of Wisconsin Milwaukee, Wisconsin USA.

Department of Medicine, Medical College of Wisconsin Milwaukee, Wisconsin USA.

出版信息

POCUS J. 2022 Feb 1;7(Kidney):11-13. doi: 10.24908/pocus.v7iKidney.15339. eCollection 2022.

Abstract

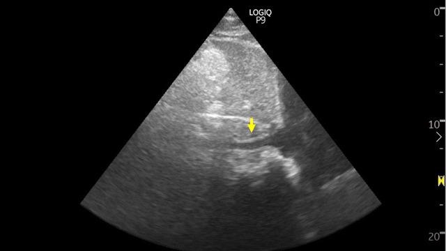
Point of care ultrasonography can be a valuable adjunct to conventional physical examination in patients with hyponatremia that aids in clinical decision making. It can address the shortcomings of traditional volume status assessment such as the inherent low sensitivity of 'classic' signs such as lower extremity edema. Herein, we present a case of a 35-year-old woman where discrepant clinical findings led to confusion in the accurate assessment of volume status but addition of point of care ultrasonography helped to guide the therapy.

摘要

对于低钠血症患者,床旁超声检查可作为传统体格检查的重要辅助手段,有助于临床决策。它可以弥补传统容量状态评估的不足,比如像下肢水肿这类“典型”体征固有的低敏感性。在此,我们报告一例35岁女性病例,其临床检查结果存在差异,导致在准确评估容量状态时出现困惑,但床旁超声检查的加入有助于指导治疗。

https://cdn.ncbi.nlm.nih.gov/pmc/blobs/2f72/9994294/c0f14447a314/pocusj-07-15339-g001.jpg

文献检索

告别复杂PubMed语法,用中文像聊天一样搜索,搜遍4000万医学文献。AI智能推荐,让科研检索更轻松。

立即免费搜索

文件翻译

保留排版,准确专业,支持PDF/Word/PPT等文件格式,支持 12+语言互译。

免费翻译文档

深度研究

AI帮你快速写综述,25分钟生成高质量综述,智能提取关键信息,辅助科研写作。

立即免费体验