Suppr超能文献

前列腺癌锁骨上转移:罕见病例及文献综述

Supraclavicular metastasis from prostate cancer: unusual case and literature review.

作者信息

Ascio Noelani-Mei, Qureshi Abid, Banayan Elliot, Asarian Armand, Genato Romulo, Xiao Philip

机构信息

School of Medicine, St. George's University, Grenada, WI, USA.

Department of Surgery, The Brooklyn Hospital Center, Brooklyn, NY, USA.

出版信息

J Surg Case Rep. 2023 Mar 7;2023(3):rjad091. doi: 10.1093/jscr/rjad091. eCollection 2023 Mar.

Abstract

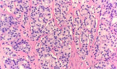
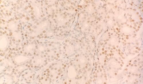
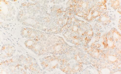
Prostate cancer is the most common cancer among men, with the most common metastatic sites in bone, regional lymph nodes, liver and thorax. It is most commonly diagnosed in the early stages with clinical findings of enlarged prostate on digital rectal exam and positive prostate specific antigen. Distant metastases associated with prostate cancer commonly occur to bone. It is imperative to be cautious in assuming primary breast, lung or head and neck malignancy in patients presenting with lymphadenopathy in the upper aerodigestive pathways. Cervical lymphadenopathy due to prostate cancer is becoming more prevalent since previously reported. Here we present a case of prostate cancer recurrence found through metastasis to supraclavicular lymph nodes and we also highlight homeobox protein CDX2 as a potential clinico-pathological marker in metastatic prostate cancer.

摘要

前列腺癌是男性中最常见的癌症,最常见的转移部位是骨骼、区域淋巴结、肝脏和胸部。其最常在早期通过直肠指检发现前列腺肿大及前列腺特异性抗原呈阳性的临床表现而被诊断出来。与前列腺癌相关的远处转移通常发生在骨骼。对于上呼吸道消化道出现淋巴结病的患者,在假设其为原发性乳腺癌、肺癌或头颈部恶性肿瘤时必须谨慎。自先前报道以来,因前列腺癌导致的颈部淋巴结病正变得越来越普遍。在此,我们报告一例通过锁骨上淋巴结转移发现的前列腺癌复发病例,并且我们还强调了同源盒蛋白CDX2作为转移性前列腺癌潜在的临床病理标志物。

https://cdn.ncbi.nlm.nih.gov/pmc/blobs/9aaa/9991582/4ae74f2df963/rjad091f1.jpg

文献检索

告别复杂PubMed语法,用中文像聊天一样搜索,搜遍4000万医学文献。AI智能推荐,让科研检索更轻松。

立即免费搜索

文件翻译

保留排版,准确专业,支持PDF/Word/PPT等文件格式,支持 12+语言互译。

免费翻译文档

深度研究

AI帮你快速写综述,25分钟生成高质量综述,智能提取关键信息,辅助科研写作。

立即免费体验