• 文献检索
  • 文档翻译
  • 深度研究
  • 学术资讯
  • Suppr Zotero 插件Zotero 插件
  • 邀请有礼
  • 套餐&价格
  • 历史记录
应用&插件
Suppr Zotero 插件Zotero 插件浏览器插件Mac 客户端Windows 客户端微信小程序
定价
高级版会员购买积分包购买API积分包
服务
文献检索文档翻译深度研究API 文档MCP 服务
关于我们
关于 Suppr公司介绍联系我们用户协议隐私条款
关注我们

Suppr 超能文献

核心技术专利:CN118964589B侵权必究
粤ICP备2023148730 号-1Suppr @ 2026

文献检索

告别复杂PubMed语法,用中文像聊天一样搜索,搜遍4000万医学文献。AI智能推荐,让科研检索更轻松。

立即免费搜索

文件翻译

保留排版,准确专业,支持PDF/Word/PPT等文件格式,支持 12+语言互译。

免费翻译文档

深度研究

AI帮你快速写综述,25分钟生成高质量综述,智能提取关键信息,辅助科研写作。

立即免费体验

在鸡桡骨节段性缺损中使用含或不含头孢唑林的骨水泥的诱导膜技术。

Induced membrane technique using bone cement with or without cefazolin in chicken segmental radius defect.

作者信息

Campeiro Junior Luiz D, Rahal Sheila Canevese, Souza Marcos A, Osowski Alini, Silva Júnior José I S

机构信息

Department of Veterinary Surgery and Animal Reproduction, School of Veterinary Medicine and Animal Science, São Paulo State University (UNESP), Botucatu, Brazil.

Department of Veterinary Pathology, Mato Grosso School of Veterinary Medicine, Cuiabá, Brazil.

出版信息

Front Vet Sci. 2023 Mar 7;10:1027951. doi: 10.3389/fvets.2023.1027951. eCollection 2023.

DOI:10.3389/fvets.2023.1027951
PMID:36960145
原文链接:https://pmc.ncbi.nlm.nih.gov/articles/PMC10027929/
Abstract

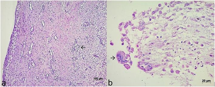
The utilization of antibiotic-loaded cement spacer in the induced membrane development has been a debate topic in human medicine. To the best of the author's knowledge, these combinations have not yet been evaluated in birds. Therefore, this study assessed induced membrane formation using radiography and histology, in a segmental defect of a chicken radius, with or without the addition of cefazolin. Thirty 18-month-old healthy chickens were divided into two equal groups: G1-bone defect filled with bone cement; G2-bone defect filled with cefazolin powder-loaded bone cement. Radiographic examinations of the left forearm were taken immediately after surgery and at 7, 15, and 21 postoperative days. For the collection of the induced membranes, five chickens in each group were euthanized at 7, 15, and 21 days after surgery. Radiographically, the bone cement was identified as a radiopaque structure occupying the bone defect in both groups. Mild new bone formation in at least one of the fractured extremities of the bone defect was seen only 21 days after surgery in most chickens. Histologically, there was no difference in the mean thickness of the induced membrane between groups at all time points. Multifocal multinucleated cells differed between groups at 7 (G1 > G2) and 21 (G2 > G1) days after surgery. Mononuclear inflammatory infiltrate differed between groups only on day 21 (G1 > G2). Fibrous tissue proliferation did not differ between groups at all evaluation times. Blood vessel density differed only at 21 days postoperatively (G2 < G1). Multifocal areas of cartilage differed between groups at all time points (G1 > G2). In conclusion, cefazolin mixed with bone cement did not affect thickness of the induced membrane, but did result in a negative effect on some histological aspects, such as fewer vessels, less multifocal areas of cartilage, and persistence of inflammation.

摘要

抗生素负载骨水泥间隔物在诱导膜形成中的应用一直是人类医学中的一个争论话题。据作者所知,这些组合尚未在禽类中进行评估。因此,本研究利用X射线摄影和组织学方法,评估了在添加或不添加头孢唑林的情况下,鸡桡骨节段性缺损中诱导膜的形成情况。30只18月龄的健康鸡被分为两组,每组15只:G1组为骨缺损处填充骨水泥;G2组为骨缺损处填充含头孢唑林粉末的骨水泥。术后立即以及术后第7、15和21天对左前臂进行X射线检查。为了收集诱导膜,每组在术后第7、15和21天分别对5只鸡实施安乐死。在X射线片上,骨水泥在两组中均表现为占据骨缺损的不透射线结构。大多数鸡仅在术后21天在骨缺损的至少一个骨折端出现轻度新骨形成。组织学检查发现,所有时间点两组诱导膜的平均厚度均无差异。术后第7天(G1>G2)和第21天(G2>G1)两组间多灶性多核细胞存在差异。仅在术后第21天两组间单核炎性浸润存在差异(G1>G2)。在所有评估时间点两组间纤维组织增生无差异。术后仅第21天两组间血管密度存在差异(G2<G1)。所有时间点两组间软骨多灶性区域存在差异(G1>G2)。总之,头孢唑林与骨水泥混合不影响诱导膜的厚度,但对一些组织学方面有负面影响,如血管减少、软骨多灶性区域减少和炎症持续存在。

https://cdn.ncbi.nlm.nih.gov/pmc/blobs/2c18/10027929/17193c9fab3e/fvets-10-1027951-g0006.jpg
https://cdn.ncbi.nlm.nih.gov/pmc/blobs/2c18/10027929/8ce5180ccb48/fvets-10-1027951-g0001.jpg
https://cdn.ncbi.nlm.nih.gov/pmc/blobs/2c18/10027929/f39eac7541fc/fvets-10-1027951-g0002.jpg
https://cdn.ncbi.nlm.nih.gov/pmc/blobs/2c18/10027929/400672d5489c/fvets-10-1027951-g0003.jpg
https://cdn.ncbi.nlm.nih.gov/pmc/blobs/2c18/10027929/8a37790fddcc/fvets-10-1027951-g0004.jpg
https://cdn.ncbi.nlm.nih.gov/pmc/blobs/2c18/10027929/93c72cca2d18/fvets-10-1027951-g0005.jpg
https://cdn.ncbi.nlm.nih.gov/pmc/blobs/2c18/10027929/17193c9fab3e/fvets-10-1027951-g0006.jpg
https://cdn.ncbi.nlm.nih.gov/pmc/blobs/2c18/10027929/8ce5180ccb48/fvets-10-1027951-g0001.jpg
https://cdn.ncbi.nlm.nih.gov/pmc/blobs/2c18/10027929/f39eac7541fc/fvets-10-1027951-g0002.jpg
https://cdn.ncbi.nlm.nih.gov/pmc/blobs/2c18/10027929/400672d5489c/fvets-10-1027951-g0003.jpg
https://cdn.ncbi.nlm.nih.gov/pmc/blobs/2c18/10027929/8a37790fddcc/fvets-10-1027951-g0004.jpg
https://cdn.ncbi.nlm.nih.gov/pmc/blobs/2c18/10027929/93c72cca2d18/fvets-10-1027951-g0005.jpg
https://cdn.ncbi.nlm.nih.gov/pmc/blobs/2c18/10027929/17193c9fab3e/fvets-10-1027951-g0006.jpg

相似文献

1
Induced membrane technique using bone cement with or without cefazolin in chicken segmental radius defect.在鸡桡骨节段性缺损中使用含或不含头孢唑林的骨水泥的诱导膜技术。
Front Vet Sci. 2023 Mar 7;10:1027951. doi: 10.3389/fvets.2023.1027951. eCollection 2023.
2
Masquelet-Induced Membrane Characteristics in Chicken Radii Bone Defects.Masquelet 诱导膜技术在鸡桡骨骨缺损中的特点。
J Avian Med Surg. 2021 Apr;35(1):51-59. doi: 10.1647/1082-6742-35.1.51.
3
Alteration of Masquelet's induced membrane characteristics by different kinds of antibiotic enriched bone cement in a critical size defect model in the rat's femur.在大鼠股骨临界尺寸缺损模型中,不同种类含抗生素骨水泥对Masquelet诱导膜特性的影响。
Injury. 2016 Feb;47(2):325-34. doi: 10.1016/j.injury.2015.10.079. Epub 2015 Nov 10.
4
Tibial segmental bone defect treated with bone plate and cage filled with either xenogeneic composite or autologous cortical bone graft. An experimental study in sheep.用填充异种复合材料或自体皮质骨移植的骨板和骨笼治疗胫骨节段性骨缺损。一项在绵羊身上的实验研究。
Vet Comp Orthop Traumatol. 2007;20(4):269-76.
5
Use of F18 bioglass putty for induced membrane technique in segmental bone defect of the radius in rabbits.使用 F18 生物玻璃腻子进行兔桡骨节段性骨缺损诱导膜技术。
Acta Cir Bras. 2024 May 24;39:e392424. doi: 10.1590/acb392424. eCollection 2024.
6
Does the use of antibiotic spacer disrupt induced membrane function?使用抗生素骨水泥 spacer 是否会破坏诱导膜的功能?
Injury. 2023 Apr;54(4):1055-1064. doi: 10.1016/j.injury.2023.01.049. Epub 2023 Feb 1.
7
Influence of External Beam Radiotherapy on the Properties of Polymethyl Methacrylate-Versus Silicone-Induced Membranes in a Bilateral Segmental Bone Defect in Rats.体外放射治疗对大鼠双侧节段性骨缺损中聚甲基丙烯酸甲酯与硅酮诱导膜性能的影响。
Tissue Eng Part A. 2018 May;24(9-10):703-710. doi: 10.1089/ten.TEA.2017.0095. Epub 2018 Apr 10.
8
Tobramycin-containing bone cement and systemic cefazolin in a one-stage revision. Treatment of infection in a rabbit model.含妥布霉素骨水泥与全身性头孢唑林用于一期翻修术。兔模型中感染的治疗
J Biomed Mater Res. 2001;58(6):747-53. doi: 10.1002/jbm.1073.
9
Induced Membrane Technique for the Treatment of Infected Forearm Nonunion: A Retrospective Study.诱导膜技术治疗感染性前臂骨不连:一项回顾性研究。
J Hand Surg Am. 2022 Jun;47(6):583.e1-583.e9. doi: 10.1016/j.jhsa.2021.06.019. Epub 2021 Sep 23.
10
Outcomes of cement beads and cement spacers in the treatment of bone defects associated with post-traumatic osteomyelitis.骨水泥珠与骨水泥间隔物在治疗创伤后骨髓炎相关骨缺损中的疗效
BMC Musculoskelet Disord. 2017 Jun 12;18(1):256. doi: 10.1186/s12891-017-1614-1.

本文引用的文献

1
Effect of low-level laser therapy on the membrane induced by the Masquelet technique at an orthotopic site in rabbits.低水平激光治疗对兔原位 Masquelet 技术诱导膜的影响。
Acta Cir Bras. 2021 Nov 22;36(10):e361003. doi: 10.1590/ACB361003. eCollection 2021.
2
Masquelet-Induced Membrane Characteristics in Chicken Radii Bone Defects.Masquelet 诱导膜技术在鸡桡骨骨缺损中的特点。
J Avian Med Surg. 2021 Apr;35(1):51-59. doi: 10.1647/1082-6742-35.1.51.
3
Masquelet's induced membrane technique: Review of current concepts and future directions.
Masquelet 诱导膜技术:当前概念与未来方向的综述。
J Orthop Res. 2021 Apr;39(4):707-718. doi: 10.1002/jor.24978. Epub 2021 Jan 13.
4
Distraction Osteogenesis in Two Wild Raptors.两只野生猛禽的牵张成骨术
J Avian Med Surg. 2019 Dec 9;33(4):427-436. doi: 10.1647/2018-384.
5
Musculoskeletal infections - A global burden and a new subsection in Injury.肌肉骨骼感染——全球负担以及《损伤》中的一个新小节。
Injury. 2019 Dec;50(12):2152-2153. doi: 10.1016/j.injury.2019.11.001. Epub 2019 Nov 6.
6
Induced Membrane Technique: Pearls and Pitfalls.诱导膜技术:要点与陷阱
J Orthop Trauma. 2017 Oct;31 Suppl 5:S36-S38. doi: 10.1097/BOT.0000000000000979.
7
Induced membrane technique: Advances in the management of bone defects.诱导膜技术:骨缺损治疗的新进展。
Int J Surg. 2017 Jun;42:110-116. doi: 10.1016/j.ijsu.2017.04.064. Epub 2017 May 3.
8
Alteration of Masquelet's induced membrane characteristics by different kinds of antibiotic enriched bone cement in a critical size defect model in the rat's femur.在大鼠股骨临界尺寸缺损模型中,不同种类含抗生素骨水泥对Masquelet诱导膜特性的影响。
Injury. 2016 Feb;47(2):325-34. doi: 10.1016/j.injury.2015.10.079. Epub 2015 Nov 10.
9
A review of local antibiotic implants and applications to veterinary orthopaedic surgery.局部抗生素植入物及其在兽医骨科手术中的应用综述。
Vet Comp Orthop Traumatol. 2013;26(4):251-9. doi: 10.3415/VCOT-12-05-0065. Epub 2013 Mar 22.
10
Elution profiles of cefazolin from PMMA and calcium sulfate beads prepared from commercial cefazolin formulations.由市售头孢唑林制剂制备的聚甲基丙烯酸甲酯(PMMA)和硫酸钙微珠中头孢唑林的洗脱曲线。
J Vet Med Sci. 2012 Mar;74(3):301-5. doi: 10.1292/jvms.11-0095. Epub 2011 Oct 14.