Suppr超能文献

经颈静脉肝内门体分流术治疗胃静脉曲张的综合述评

A comprehensive review of transvenous obliteration techniques in the management of gastric varices.

机构信息

Department of Interventional Radiology, University of Texas Medical Branch, Texas, USA.

出版信息

Diagn Interv Radiol. 2023 Jan 31;29(1):146-154. doi: 10.5152/dir.2022.21193. Epub 2023 Jan 11.

Abstract

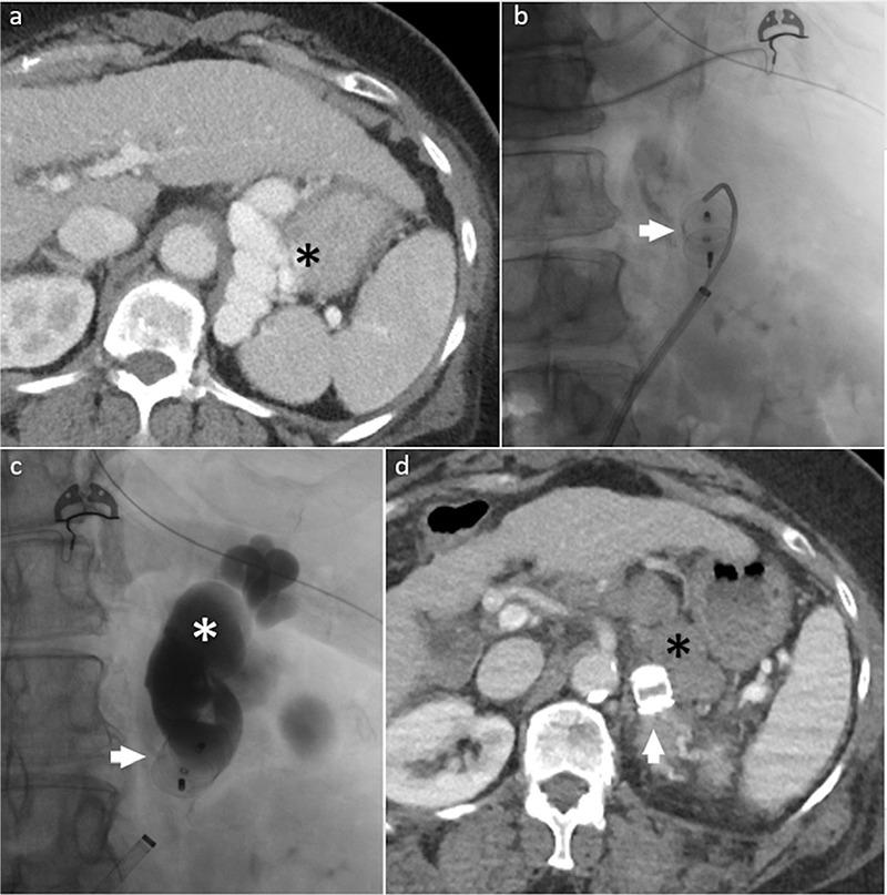
Bleeding gastric varices (GVs) is a life-threatening complication of portal hypertension, with higher morbidity and mortality rates compared with bleeding esophageal varices (EVs). The endovascular techniques for the management of GVs are mainly transjugular intrahepatic portosystemic shunt (TIPS) and transvenous obliteration of the GVs. Transvenous obliteration techniques can be an alternative or an adjunct to TIPS for treatment of GVs, depending on the clinical scenario, and are less invasive than TIPS. However, these procedures are associated with increased portal pressure and related complications, mainly worsening of the EVs. In this article, the different techniques of transvenous obliteration of GVs, their indications, contraindications, and outcomes are discussed.

摘要

胃静脉曲张(GVs)出血是门静脉高压的一种危及生命的并发症,其发病率和死亡率均高于食管静脉曲张(EVs)出血。胃静脉曲张的血管内治疗技术主要包括经颈静脉肝内门体分流术(TIPS)和胃静脉曲张的静脉内闭塞。根据临床情况,静脉内闭塞技术可以作为 TIPS 治疗 GVs 的替代或辅助手段,并且比 TIPS 更具侵入性。然而,这些手术与门静脉压力升高和相关并发症相关,主要是 EVs 恶化。本文讨论了胃静脉曲张静脉内闭塞的不同技术、其适应证、禁忌证和结果。

https://cdn.ncbi.nlm.nih.gov/pmc/blobs/c237/10679599/0c7610860caa/DIR-29-146-g1.jpg

文献检索

告别复杂PubMed语法,用中文像聊天一样搜索,搜遍4000万医学文献。AI智能推荐,让科研检索更轻松。

立即免费搜索

文件翻译

保留排版,准确专业,支持PDF/Word/PPT等文件格式,支持 12+语言互译。

免费翻译文档

深度研究

AI帮你快速写综述,25分钟生成高质量综述,智能提取关键信息,辅助科研写作。

立即免费体验