• 文献检索
  • 文档翻译
  • 深度研究
  • 学术资讯
  • Suppr Zotero 插件Zotero 插件
  • 邀请有礼
  • 套餐&价格
  • 历史记录
应用&插件
Suppr Zotero 插件Zotero 插件浏览器插件Mac 客户端Windows 客户端微信小程序
定价
高级版会员购买积分包购买API积分包
服务
文献检索文档翻译深度研究API 文档MCP 服务
关于我们
关于 Suppr公司介绍联系我们用户协议隐私条款
关注我们

Suppr 超能文献

核心技术专利:CN118964589B侵权必究
粤ICP备2023148730 号-1Suppr @ 2026

文献检索

告别复杂PubMed语法,用中文像聊天一样搜索,搜遍4000万医学文献。AI智能推荐,让科研检索更轻松。

立即免费搜索

文件翻译

保留排版,准确专业,支持PDF/Word/PPT等文件格式,支持 12+语言互译。

免费翻译文档

深度研究

AI帮你快速写综述,25分钟生成高质量综述,智能提取关键信息,辅助科研写作。

立即免费体验

聚乙烯微塑料对小鼠的血液毒性作用。

Hemotoxic effects of polyethylene microplastics on mice.

作者信息

Abdel-Zaher Souzan, Mohamed Mahmoud S, Sayed Alaa El-Din H

机构信息

Department of Molecular Biology, Molecular Biology Researches and Studies Institute, Assiut University, Assiut, Egypt.

Zoology Department, Faculty of Science, Assiut University, Assiut, Egypt.

出版信息

Front Physiol. 2023 Mar 8;14:1072797. doi: 10.3389/fphys.2023.1072797. eCollection 2023.

DOI:10.3389/fphys.2023.1072797
PMID:36969612
原文链接:https://pmc.ncbi.nlm.nih.gov/articles/PMC10030681/
Abstract

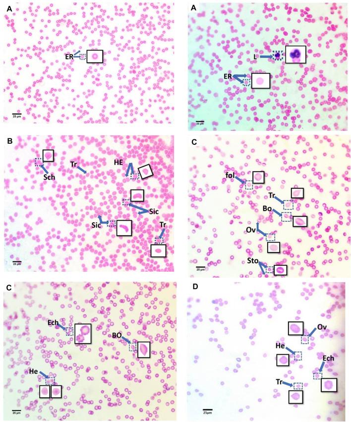
Micro- or nanoplastics, which are fragmented or otherwise tiny plastic materials, have long been a source of environmental worry. Microplastics (MPs) have been well documented to alter the physiology and behavior of marine invertebrates. The effects of some of these factors are also seen in larger marine vertebrates, such as fish. More recently, mouse models have been used to investigate the potential impacts of micro- and nanoplastics on host cellular and metabolic damages as well as mammalian gut flora. The impact on erythrocytes, which carry oxygen to all cells, has not yet been determined. Therefore, the current study aims to ascertain the impact of exposure to various MP exposure levels on hematological alterations and biochemical indicators of liver and kidney functions. In this study, a C57BL/6 murine model was concentration-dependently exposed to microplastics (6, 60, and 600 μg/day) for 15 days, followed by 15 days of recovery. The results demonstrated that exposure to 600 μg/day of MPs considerably impacted RBCs' typical structure, resulting in numerous aberrant shapes. Furthermore, concentration-dependent reductions in hematological markers were observed. Additional biochemical testing revealed that MP exposure impacted the liver and renal functioning. Taken together, the current study reveals the severe impacts of MPs on mouse blood parameters, erythrocyte deformation, and consequently, anemic patterns of the blood.

摘要

微塑料或纳米塑料,即破碎的或其他微小的塑料材料,长期以来一直是环境问题的根源。微塑料(MPs)已被充分证明会改变海洋无脊椎动物的生理和行为。其中一些因素的影响在较大的海洋脊椎动物,如鱼类中也有体现。最近,小鼠模型已被用于研究微塑料和纳米塑料对宿主细胞和代谢损伤以及哺乳动物肠道菌群的潜在影响。对将氧气输送到所有细胞的红细胞的影响尚未确定。因此,本研究旨在确定暴露于不同水平的微塑料对血液学改变以及肝脏和肾脏功能生化指标的影响。在本研究中,C57BL/6小鼠模型以浓度依赖的方式暴露于微塑料(6、60和600μg/天)15天,随后恢复15天。结果表明,每天暴露于600μg的微塑料对红细胞的典型结构有相当大的影响,导致大量异常形状出现。此外,观察到血液学指标呈浓度依赖性降低。进一步的生化测试表明,微塑料暴露影响了肝脏和肾脏功能。综上所述,本研究揭示了微塑料对小鼠血液参数、红细胞变形以及由此导致的血液贫血模式的严重影响。

https://cdn.ncbi.nlm.nih.gov/pmc/blobs/2cdb/10030681/8c1c2346f28c/fphys-14-1072797-g004.jpg
https://cdn.ncbi.nlm.nih.gov/pmc/blobs/2cdb/10030681/95d8c6e1e24f/fphys-14-1072797-g001.jpg
https://cdn.ncbi.nlm.nih.gov/pmc/blobs/2cdb/10030681/c93feb877969/fphys-14-1072797-g002.jpg
https://cdn.ncbi.nlm.nih.gov/pmc/blobs/2cdb/10030681/96af5a380540/fphys-14-1072797-g003.jpg
https://cdn.ncbi.nlm.nih.gov/pmc/blobs/2cdb/10030681/8c1c2346f28c/fphys-14-1072797-g004.jpg
https://cdn.ncbi.nlm.nih.gov/pmc/blobs/2cdb/10030681/95d8c6e1e24f/fphys-14-1072797-g001.jpg
https://cdn.ncbi.nlm.nih.gov/pmc/blobs/2cdb/10030681/c93feb877969/fphys-14-1072797-g002.jpg
https://cdn.ncbi.nlm.nih.gov/pmc/blobs/2cdb/10030681/96af5a380540/fphys-14-1072797-g003.jpg
https://cdn.ncbi.nlm.nih.gov/pmc/blobs/2cdb/10030681/8c1c2346f28c/fphys-14-1072797-g004.jpg

相似文献

1
Hemotoxic effects of polyethylene microplastics on mice.聚乙烯微塑料对小鼠的血液毒性作用。
Front Physiol. 2023 Mar 8;14:1072797. doi: 10.3389/fphys.2023.1072797. eCollection 2023.
2
Toxicity of Microplastics and Nanoplastics in Mammalian Systems.哺乳动物系统中微塑料和纳米塑料的毒性。
Int J Environ Res Public Health. 2020 Feb 26;17(5):1509. doi: 10.3390/ijerph17051509.
3
Lumbriculus variegatus (oligochaeta) exposed to polyethylene microplastics: biochemical, physiological and reproductive responses.《多毛寡毛蚓(寡毛纲)暴露于聚乙烯微塑料:生化、生理和繁殖反应》
Ecotoxicol Environ Saf. 2021 Jan 1;207:111375. doi: 10.1016/j.ecoenv.2020.111375. Epub 2020 Sep 25.
4
Effects induced by polyethylene microplastics oral exposure on colon mucin release, inflammation, gut microflora composition and metabolism in mice.聚乙烯微塑料经口服暴露对小鼠结肠黏液释放、炎症、肠道微生物群落组成和代谢的影响。
Ecotoxicol Environ Saf. 2021 Sep 1;220:112340. doi: 10.1016/j.ecoenv.2021.112340. Epub 2021 May 18.
5
Comprehensive understanding the impacts of dietary exposure to polyethylene microplastics on genetically improved farmed tilapia (Oreochromis niloticus): tracking from growth, microbiota, metabolism to gene expressions.全面了解经口摄入聚乙烯微塑料对基因改良养殖罗非鱼(Oreochromis niloticus)的影响:从生长、微生物群、代谢到基因表达的追踪。
Sci Total Environ. 2022 Oct 1;841:156571. doi: 10.1016/j.scitotenv.2022.156571. Epub 2022 Jun 8.
6
Microplastics induced ileum damage: Morphological and immunohistochemical study.
Microsc Res Tech. 2025 Jan;88(1):251-269. doi: 10.1002/jemt.24696. Epub 2024 Sep 24.
7
Size-dependent adverse effects of microplastics on intestinal microbiota and metabolic homeostasis in the marine medaka (Oryzias melastigma).微塑料对海洋青鳉(Oryzias melastigma)肠道微生物群和代谢稳态的尺寸依赖性不良影响。
Environ Int. 2021 Jun;151:106452. doi: 10.1016/j.envint.2021.106452. Epub 2021 Feb 24.
8
Ageing and fragmentation of marine microplastics.海洋微塑料的老化和碎片化。
Sci Total Environ. 2022 Jun 25;827:154438. doi: 10.1016/j.scitotenv.2022.154438. Epub 2022 Mar 8.
9
Microplastic pollution as a grand challenge in marine research: A closer look at their adverse impacts on the immune and reproductive systems.微塑料污染作为海洋研究中的一个重大挑战:更深入地研究其对免疫系统和生殖系统的不良影响。
Ecotoxicol Environ Saf. 2020 Nov;204:111109. doi: 10.1016/j.ecoenv.2020.111109. Epub 2020 Aug 12.
10
Long-term exposure to polyethylene microplastics and glyphosate interferes with the behavior, intestinal microbial homeostasis, and metabolites of the common carp (Cyprinus carpio L.).长期暴露于聚乙烯微塑料和草甘膦会干扰鲤鱼(Cyprinus carpio L.)的行为、肠道微生物稳态和代谢物。
Sci Total Environ. 2022 Mar 25;814:152681. doi: 10.1016/j.scitotenv.2021.152681. Epub 2021 Dec 29.

引用本文的文献

1
Emerging threat of environmental microplastics: A comprehensive analysis of hepatic metabolic dysregulation and hepatocellular damage (Review).环境微塑料的新威胁:肝代谢失调和肝细胞损伤的综合分析(综述)
Int J Mol Med. 2025 Oct;56(4). doi: 10.3892/ijmm.2025.5584. Epub 2025 Jul 19.
2
Microplastics exposure altered hematological and lipid profiles as well as liver and kidney function parameters in albino rats (Rattus norvegicus).暴露于微塑料会改变白化大鼠(褐家鼠)的血液学和脂质谱以及肝脏和肾脏功能参数。
Environ Anal Health Toxicol. 2024 Jun;39(2):e2024021-0. doi: 10.5620/eaht.2024021. Epub 2024 Jun 26.
3

本文引用的文献

1
First Evidence of Microplastics in Human Urine, a Preliminary Study of Intake in the Human Body.人体尿液中微塑料的首个证据:人体摄入情况的初步研究
Toxics. 2022 Dec 30;11(1):40. doi: 10.3390/toxics11010040.
2
Protective efficacy of dietary natural antioxidants on microplastic particles-induced histopathological lesions in African catfish (Clarias gariepinus).膳食天然抗氧化剂对非洲鲶鱼(Clarias gariepinus)微塑料颗粒诱导的组织病理学损伤的保护作用。
Environ Sci Pollut Res Int. 2023 Feb;30(9):24424-24440. doi: 10.1007/s11356-022-23789-w. Epub 2022 Nov 7.
3
Antioxidant Activity of Quercetin in a HO-Induced Oxidative Stress Model in Red Blood Cells: Functional Role of Band 3 Protein.
Journey of micronanoplastics with blood components.
微纳米塑料与血液成分的旅程。
RSC Adv. 2023 Oct 27;13(45):31435-31459. doi: 10.1039/d3ra05620a. eCollection 2023 Oct 26.
槲皮素在 HO 诱导的红细胞氧化应激模型中的抗氧化活性:膜蛋白 3 的功能作用。
Int J Mol Sci. 2022 Sep 20;23(19):10991. doi: 10.3390/ijms231910991.
4
Detection and Analysis of Microplastics in Human Sputum.检测和分析人唾液中的微塑料。
Environ Sci Technol. 2022 Feb 15;56(4):2476-2486. doi: 10.1021/acs.est.1c03859. Epub 2022 Jan 24.
5
Prolonged oral ingestion of microplastics induced inflammation in the liver tissues of C57BL/6J mice through polarization of macrophages and increased infiltration of natural killer cells.长期口服微塑料通过巨噬细胞的极化和自然杀伤细胞的浸润增加,导致 C57BL/6J 小鼠肝组织炎症。
Ecotoxicol Environ Saf. 2021 Dec 20;227:112882. doi: 10.1016/j.ecoenv.2021.112882. Epub 2021 Oct 23.
6
Microplastics-Induced Eryptosis and Poikilocytosis in Early-Juvenile Nile Tilapia ().微塑料诱导尼罗罗非鱼幼鱼早期红细胞凋亡和异形红细胞症()
Front Physiol. 2021 Sep 28;12:742922. doi: 10.3389/fphys.2021.742922. eCollection 2021.
7
Polystyrene microplastics induce hepatotoxicity and disrupt lipid metabolism in the liver organoids.聚苯乙烯微塑料诱导肝类器官的肝毒性和脂质代谢紊乱。
Sci Total Environ. 2022 Feb 1;806(Pt 1):150328. doi: 10.1016/j.scitotenv.2021.150328. Epub 2021 Sep 15.
8
Bioremediation of hemotoxic and oxidative stress induced by polyethylene microplastic in Clarias gariepinus using lycopene, citric acid, and chlorella.利用番茄红素、柠檬酸和小球藻对聚乙烯微塑料引起的鲶鱼血液毒性和氧化应激进行生物修复。
Comp Biochem Physiol C Toxicol Pharmacol. 2021 Dec;250:109189. doi: 10.1016/j.cbpc.2021.109189. Epub 2021 Sep 10.
9
The potential effects of microplastics on human health: What is known and what is unknown.微塑料对人类健康的潜在影响:已知和未知。
Ambio. 2022 Mar;51(3):518-530. doi: 10.1007/s13280-021-01589-9. Epub 2021 Jun 29.
10
Preliminary study on impacts of polystyrene microplastics on the hematological system and gene expression in bone marrow cells of mice.聚苯乙烯微塑料对小鼠血液系统及骨髓细胞基因表达影响的初步研究
Ecotoxicol Environ Saf. 2021 May 4;218:112296. doi: 10.1016/j.ecoenv.2021.112296.