Suppr超能文献

胰腺导管腺癌合并胰周黏膜相关淋巴组织淋巴瘤 1 例报告

A case report of a collision tumor composed of pancreatic ductal adenocarcinoma and peri-pancreatic mucosa-associated lymphoid tissue lymphoma.

机构信息

Department of Surgery, Himeji St. Mary's Hospital, 650, Nibuno, Himeji, Hyogo, 670-0801, Japan.

Department of Radiology, Himeji St. Mary's Hospital, 650, Nibuno, Himeji, Hyogo, 670-0801, Japan.

出版信息

World J Surg Oncol. 2023 Mar 28;21(1):110. doi: 10.1186/s12957-023-02981-3.

Abstract

BACKGROUND

Collision tumors are composed of two distinct tumor components. Collision tumors composed of pancreatic ductal adenocarcinoma and malignant lymphoma occurring in the pancreas have not been previously described in the scientific literature. In this case report, we describe a unique patient with a collision tumor composed of pancreatic ductal adenocarcinoma and peri-pancreatic mucosa-associated lymphoid tissue (MALT) lymphoma occurring in the pancreas.

CASE PRESENTATION

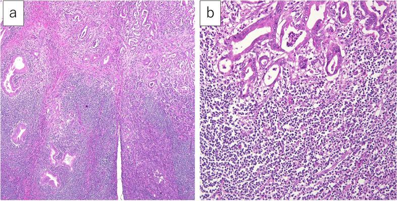
An 82-year-old woman presented to our hospital complaining of dizziness. Computed tomography (CT) and magnetic resonance imaging (MRI) showed a large lymphoid lesion spreading from the peri-pancreatic tissue heading to the hepatic hilar plate, involving the hepatoduodenal ligament and the entire duodenum, also showing a hard tumor in the pancreas head. We performed echo-guided needle biopsies for each tumor and diagnosed a collision tumor composed of pancreatic ductal adenocarcinoma and low-grade B cell lymphoma. The patient underwent pancreaticoduodenectomy. The resected specimen showed an elastic hard tumor, 90 × 75 mm in size, located in the pancreatic head, and a whitish-yellow hard tumor involving the lower bile duct, 31 mm in size, located in the center of the pancreatic head. Pathological and immunohistochemical examination proved that pancreatic ductal adenocarcinoma and MALT lymphoma originating from the peri-pancreatic head collided in the pancreatic head.

CONCLUSIONS

To best of our knowledge, this is the first report of a surgically resected collision tumor of pancreatic ductal adenocarcinoma and MALT lymphoma originating from the peri-pancreatic head. A needle biopsy is useful when inconsistent findings are observed on diagnostic CT and MRI of tumor lesions since there is the possibility of a collision tumor.

摘要

背景

碰撞瘤由两种不同的肿瘤成分组成。胰腺内由胰腺导管腺癌和恶性淋巴瘤组成的碰撞瘤尚未在科学文献中描述过。在本病例报告中,我们描述了一例独特的患者,其胰腺内存在由胰腺导管腺癌和胰腺周围黏膜相关淋巴组织(MALT)淋巴瘤组成的碰撞瘤。

病例介绍

一位 82 岁女性因头晕到我院就诊。计算机断层扫描(CT)和磁共振成像(MRI)显示从胰腺周围组织扩散到肝门板的大淋巴病变,累及肝十二指肠韧带和整个十二指肠,也显示胰头有硬肿瘤。我们对每个肿瘤进行了超声引导下的针吸活检,并诊断为胰腺导管腺癌和低级别 B 细胞淋巴瘤组成的碰撞瘤。患者接受了胰十二指肠切除术。切除标本显示位于胰头的弹性硬肿瘤,大小为 90×75mm,以及位于胰头中央、大小为 31mm 的灰白色硬肿瘤累及胆总管下段。病理和免疫组织化学检查证实胰腺导管腺癌和源自胰头周围的 MALT 淋巴瘤在胰头发生碰撞。

结论

据我们所知,这是首例经手术切除的源自胰头周围的胰腺导管腺癌和 MALT 淋巴瘤的碰撞瘤。当肿瘤病变的诊断性 CT 和 MRI 观察到不一致的发现时,针吸活检是有用的,因为有可能存在碰撞瘤。

https://cdn.ncbi.nlm.nih.gov/pmc/blobs/757a/10045193/1bc82c4cf0ee/12957_2023_2981_Fig1_HTML.jpg

文献AI研究员

20分钟写一篇综述,助力文献阅读效率提升50倍。

立即体验

用中文搜PubMed

大模型驱动的PubMed中文搜索引擎

马上搜索

文档翻译

学术文献翻译模型,支持多种主流文档格式。

立即体验