Suppr超能文献

凋亡指数能否预测乳腺癌患者对新辅助化疗的反应?

Does Apoptotic Index Predict the Response to Neoadjuvant Chemotherapy in Patients with Breast Carcinoma?

作者信息

Askan Gokce, Okcu Oguzhan, Ozturk Cigdem, Duman Ozturk Seda, Sen Bayram, Bedir Recep

机构信息

Recep Tayyip Erdogan University Training and Research Hospital, Department of Pathology, Rize, Turkey.

Recep Tayyip Erdogan University Training and Research Hospital, Department of Biochemistry, Rize, Turkey.

出版信息

Medeni Med J. 2023 Mar 28;38(1):1-7. doi: 10.4274/MMJ.galenos.2022.59196.

Abstract

OBJECTIVE

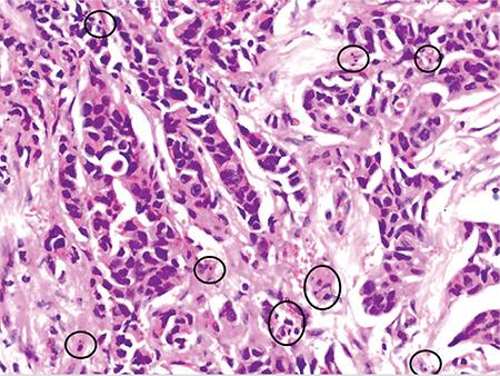
Neoadjuvant chemotherapy (NACT) plays a major role in the treatment of patients with locally advanced breast carcinoma. Although most patients have benefited from NACT, the rate of residual tumors is still high after treatment (AT). An increase in apoptosis is expected in tru-cut biopsy (TCB) during treatment or AT as the mechanism of NACT is inducing apoptosis. This study aimed to investigate whether evaluating the apoptotic index (AI) from TCB can predict the response before treatment (TC-BT) and whether there is a correlation between AI and clinicopathologic parameters.

METHODS

Seventy cases of breast carcinomas were included. The AI was evaluated BT and AT by quantifying the apoptosis. The receiver operating characteristic analysis was performed with overall survival (OS) data, and low and high AI cut-offs were obtained. The relationship between AI and response and clinicopathological parameters was evaluated.

RESULTS

A significant relationship was found between low AI in TC-BT and at least partial response (p=0.025), longer OS (p=0.01) and disease-free survival (p=0.01), and progesterone receptor-positive tumors (p=0.03). Her2-negative tumors were more prone to low AI. A significant decline in AI (p=0.001) and Ki67 proliferation index (p<0.001) was observed in resections AT.

CONCLUSIONS

These data suggested that the AI is a simple and cost-effective tool that may play an important role in determining response, and a low AI in TC-BT may have some value as a predictive marker in breast carcinomas.

摘要

目的

新辅助化疗(NACT)在局部晚期乳腺癌患者的治疗中起主要作用。尽管大多数患者已从NACT中获益,但治疗后残留肿瘤的发生率仍然很高。由于NACT的机制是诱导细胞凋亡,因此预计在治疗期间或治疗后经皮穿刺活检(TCB)中的细胞凋亡会增加。本研究旨在探讨评估TCB中的凋亡指数(AI)是否可以预测治疗前的反应(TC-BT),以及AI与临床病理参数之间是否存在相关性。

方法

纳入70例乳腺癌患者。通过量化细胞凋亡来评估治疗前和治疗后的AI。利用总生存(OS)数据进行受试者工作特征分析,得出AI的低临界值和高临界值。评估AI与反应及临床病理参数之间的关系。

结果

发现TC-BT中低AI与至少部分反应(p=0.025)、更长的OS(p=0.01)和无病生存期(p=0.01)以及孕激素受体阳性肿瘤(p=0.03)之间存在显著相关性。Her2阴性肿瘤更易出现低AI。在治疗后的切除标本中观察到AI(p=0.001)和Ki67增殖指数(p<0.001)显著下降。

结论

这些数据表明,AI是一种简单且具有成本效益的工具,可能在确定反应中起重要作用,TC-BT中的低AI可能作为乳腺癌的一种预测标志物具有一定价值。

https://cdn.ncbi.nlm.nih.gov/pmc/blobs/0e4f/10064109/d78f51a0b24a/medj-38-1-g1.jpg

文献检索

告别复杂PubMed语法,用中文像聊天一样搜索,搜遍4000万医学文献。AI智能推荐,让科研检索更轻松。

立即免费搜索

文件翻译

保留排版,准确专业,支持PDF/Word/PPT等文件格式,支持 12+语言互译。

免费翻译文档

深度研究

AI帮你快速写综述,25分钟生成高质量综述,智能提取关键信息,辅助科研写作。

立即免费体验