• 文献检索
  • 文档翻译
  • 深度研究
  • 学术资讯
  • Suppr Zotero 插件Zotero 插件
  • 邀请有礼
  • 套餐&价格
  • 历史记录
应用&插件
Suppr Zotero 插件Zotero 插件浏览器插件Mac 客户端Windows 客户端微信小程序
定价
高级版会员购买积分包购买API积分包
服务
文献检索文档翻译深度研究API 文档MCP 服务
关于我们
关于 Suppr公司介绍联系我们用户协议隐私条款
关注我们

Suppr 超能文献

核心技术专利:CN118964589B侵权必究
粤ICP备2023148730 号-1Suppr @ 2026

文献检索

告别复杂PubMed语法,用中文像聊天一样搜索,搜遍4000万医学文献。AI智能推荐,让科研检索更轻松。

立即免费搜索

文件翻译

保留排版,准确专业,支持PDF/Word/PPT等文件格式,支持 12+语言互译。

免费翻译文档

深度研究

AI帮你快速写综述,25分钟生成高质量综述,智能提取关键信息,辅助科研写作。

立即免费体验

基于深度学习技术的自动乳腺肿瘤检测与分类,包括自动肿瘤体积估算。

An Automatic Breast Tumor Detection and Classification including Automatic Tumor Volume Estimation Using Deep Learning Technique.

机构信息

Department of Computer Science, Faculty of Business Administration and Information Technology, Rajamangala University of Technology Tawan-Ok, Thailand.

出版信息

Asian Pac J Cancer Prev. 2023 Mar 1;24(3):1081-1088. doi: 10.31557/APJCP.2023.24.3.1081.

DOI:10.31557/APJCP.2023.24.3.1081
PMID:36974564
原文链接:https://pmc.ncbi.nlm.nih.gov/articles/PMC10334094/
Abstract

OBJECTIVE

This study aims to develop automatic breast tumor detection and classification including automatic tumor volume estimation using deep learning techniques based on computerized analysis of breast ultrasound images. When the skill levels of the radiologists and image quality are important to detect and diagnose the tumor using handheld ultrasound, the ability of this approach tends to assist the radiologist's decision for breast cancer diagnosis.

MATERIAL AND METHODS

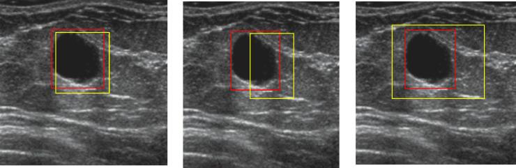
Breast ultrasound images were provided by the Department of Radiology of Thammasat University and Queen Sirikit Center of Breast Cancer of Thailand. The dataset consists of 655 images including 445 benign and 210 malignant. Several data augmentation methods including blur, flip vertical, flip horizontal, and noise have been applied to increase the training and testing dataset. The tumor detection, localization, and classification were performed by drawing the appropriate bounding box around it using YOLO7 architecture based on deep learning techniques. Then, the automatic tumor volume estimation was performed using a simple pixel per metric technique.

RESULT

The model demonstrated excellent tumor detection performance with a confidence score of 0.95. In addition, the model yielded satisfactory predictions on the test sets, with a lesion classification accuracy of 95.07%, a sensitivity of 94.97%, a specificity of 95.24%, a PPV of 97.42%, and an NPV of 90.91%.

CONCLUSION

An automatic breast tumor detection and classification including automatic tumor volume estimation using deep learning technique yielded satisfactory predictions in distinguishing benign from malignant breast lesions. In addition, automatic tumor volume estimation was performed. Our approach could be integrated into the conventional breast ultrasound machine to assist the radiologist's decision for breast cancer diagnosis.

摘要

目的

本研究旨在开发一种基于计算机分析乳腺超声图像的深度学习技术,实现自动乳腺肿瘤检测和分类,包括自动肿瘤体积估计。当使用手持式超声检测和诊断肿瘤时,放射科医生的技能水平和图像质量很重要,这种方法的能力倾向于辅助放射科医生进行乳腺癌诊断。

材料和方法

乳腺超声图像由泰国玛希隆大学放射科和泰国诗丽吉王后乳腺癌中心提供。数据集包括 655 张图像,其中 445 张为良性,210 张为恶性。应用了几种数据增强方法,包括模糊、垂直翻转、水平翻转和噪声,以增加训练和测试数据集。使用基于深度学习技术的 YOLO7 架构,通过在其周围绘制适当的边界框来进行肿瘤检测、定位和分类。然后,使用简单的像素度量技术进行自动肿瘤体积估计。

结果

该模型在置信度评分为 0.95 时表现出优异的肿瘤检测性能。此外,该模型在测试集上也取得了令人满意的预测结果,病灶分类准确率为 95.07%,灵敏度为 94.97%,特异性为 95.24%,阳性预测值为 97.42%,阴性预测值为 90.91%。

结论

使用深度学习技术的自动乳腺肿瘤检测和分类,包括自动肿瘤体积估计,在区分良性和恶性乳腺病变方面取得了令人满意的预测结果。此外,还进行了自动肿瘤体积估计。我们的方法可以集成到常规的乳腺超声机中,以辅助放射科医生进行乳腺癌诊断。

https://cdn.ncbi.nlm.nih.gov/pmc/blobs/9671/10334094/808ad46e5968/APJCP-24-1081-g009.jpg
https://cdn.ncbi.nlm.nih.gov/pmc/blobs/9671/10334094/031072affdaa/APJCP-24-1081-g001.jpg
https://cdn.ncbi.nlm.nih.gov/pmc/blobs/9671/10334094/5ca17ba9b1d6/APJCP-24-1081-g002.jpg
https://cdn.ncbi.nlm.nih.gov/pmc/blobs/9671/10334094/7aac97751616/APJCP-24-1081-g003.jpg
https://cdn.ncbi.nlm.nih.gov/pmc/blobs/9671/10334094/bc16e0833e76/APJCP-24-1081-g004.jpg
https://cdn.ncbi.nlm.nih.gov/pmc/blobs/9671/10334094/054c7f4e1eb7/APJCP-24-1081-g005.jpg
https://cdn.ncbi.nlm.nih.gov/pmc/blobs/9671/10334094/8db877f465b0/APJCP-24-1081-g006.jpg
https://cdn.ncbi.nlm.nih.gov/pmc/blobs/9671/10334094/f8f9a340c8cd/APJCP-24-1081-g007.jpg
https://cdn.ncbi.nlm.nih.gov/pmc/blobs/9671/10334094/856979edf849/APJCP-24-1081-g008.jpg
https://cdn.ncbi.nlm.nih.gov/pmc/blobs/9671/10334094/808ad46e5968/APJCP-24-1081-g009.jpg
https://cdn.ncbi.nlm.nih.gov/pmc/blobs/9671/10334094/031072affdaa/APJCP-24-1081-g001.jpg
https://cdn.ncbi.nlm.nih.gov/pmc/blobs/9671/10334094/5ca17ba9b1d6/APJCP-24-1081-g002.jpg
https://cdn.ncbi.nlm.nih.gov/pmc/blobs/9671/10334094/7aac97751616/APJCP-24-1081-g003.jpg
https://cdn.ncbi.nlm.nih.gov/pmc/blobs/9671/10334094/bc16e0833e76/APJCP-24-1081-g004.jpg
https://cdn.ncbi.nlm.nih.gov/pmc/blobs/9671/10334094/054c7f4e1eb7/APJCP-24-1081-g005.jpg
https://cdn.ncbi.nlm.nih.gov/pmc/blobs/9671/10334094/8db877f465b0/APJCP-24-1081-g006.jpg
https://cdn.ncbi.nlm.nih.gov/pmc/blobs/9671/10334094/f8f9a340c8cd/APJCP-24-1081-g007.jpg
https://cdn.ncbi.nlm.nih.gov/pmc/blobs/9671/10334094/856979edf849/APJCP-24-1081-g008.jpg
https://cdn.ncbi.nlm.nih.gov/pmc/blobs/9671/10334094/808ad46e5968/APJCP-24-1081-g009.jpg

相似文献

1
An Automatic Breast Tumor Detection and Classification including Automatic Tumor Volume Estimation Using Deep Learning Technique.基于深度学习技术的自动乳腺肿瘤检测与分类,包括自动肿瘤体积估算。
Asian Pac J Cancer Prev. 2023 Mar 1;24(3):1081-1088. doi: 10.31557/APJCP.2023.24.3.1081.
2
New one-step model of breast tumor locating based on deep learning.基于深度学习的新型一步式乳房肿瘤定位模型。
J Xray Sci Technol. 2019;27(5):839-856. doi: 10.3233/XST-190548.
3
Ultrasound-based deep learning in the establishment of a breast lesion risk stratification system: a multicenter study.基于超声的深度学习在建立乳腺病变风险分层系统中的应用:一项多中心研究
Eur Radiol. 2023 Apr;33(4):2954-2964. doi: 10.1007/s00330-022-09263-8. Epub 2022 Nov 23.
4
Fus2Net: a novel Convolutional Neural Network for classification of benign and malignant breast tumor in ultrasound images.Fus2Net:一种用于超声图像中良性和恶性乳腺肿瘤分类的新型卷积神经网络。
Biomed Eng Online. 2021 Nov 18;20(1):112. doi: 10.1186/s12938-021-00950-z.
5
An Edge-Based Selection Method for Improving Regions-of-Interest Localizations Obtained Using Multiple Deep Learning Object-Detection Models in Breast Ultrasound Images.基于边缘的选择方法,用于改进使用乳腺超声图像中的多个深度学习目标检测模型获得的感兴趣区域定位。
Sensors (Basel). 2022 Sep 6;22(18):6721. doi: 10.3390/s22186721.
6
Performance of novel deep learning network with the incorporation of the automatic segmentation network for diagnosis of breast cancer in automated breast ultrasound.新型深度学习网络结合自动分割网络在自动乳腺超声中用于乳腺癌诊断的性能。
Eur Radiol. 2022 Oct;32(10):7163-7172. doi: 10.1007/s00330-022-08836-x. Epub 2022 Apr 30.
7
Role of inter- and extra-lesion tissue, transfer learning, and fine-tuning in the robust classification of breast lesions.病灶内和病灶外组织、迁移学习和微调在乳腺病变稳健分类中的作用。
Sci Rep. 2024 Oct 1;14(1):22754. doi: 10.1038/s41598-024-74316-5.
8
Is Intensity Inhomogeneity Correction Useful for Classification of Breast Cancer in Sonograms Using Deep Neural Network?基于深度神经网络的超声声像图乳腺癌分类中强度不均匀性校正是否有用?
J Healthc Eng. 2018 Dec 4;2018:8413403. doi: 10.1155/2018/8413403. eCollection 2018.
9
Application of deep learning to establish a diagnostic model of breast lesions using two-dimensional grayscale ultrasound imaging.应用深度学习建立基于二维灰阶超声图像的乳腺病变诊断模型。
Clin Imaging. 2021 Nov;79:56-63. doi: 10.1016/j.clinimag.2021.03.024. Epub 2021 Apr 19.
10
Automated BI-RADS classification of lesions using pyramid triple deep feature generator technique on breast ultrasound images.基于金字塔三重深度特征生成技术的乳腺超声图像 BI-RADS 自动分类。
Med Eng Phys. 2022 Oct;108:103895. doi: 10.1016/j.medengphy.2022.103895. Epub 2022 Sep 15.

引用本文的文献

1
A Review of Artificial Intelligence in Breast Imaging.人工智能在乳腺成像中的应用综述。
Tomography. 2024 May 9;10(5):705-726. doi: 10.3390/tomography10050055.
2
A deep learning model for the localization and extraction of brain tumors from MR images using YOLOv7 and grab cut algorithm.一种使用YOLOv7和Grab Cut算法从磁共振图像中定位和提取脑肿瘤的深度学习模型。
Front Oncol. 2024 Apr 12;14:1347363. doi: 10.3389/fonc.2024.1347363. eCollection 2024.

本文引用的文献

1
BUSnet: A Deep Learning Model of Breast Tumor Lesion Detection for Ultrasound Images.BUSnet:一种用于超声图像的乳腺肿瘤病变检测深度学习模型。
Front Oncol. 2022 Mar 25;12:848271. doi: 10.3389/fonc.2022.848271. eCollection 2022.
2
Cancer statistics, 2022.癌症统计数据,2022 年。
CA Cancer J Clin. 2022 Jan;72(1):7-33. doi: 10.3322/caac.21708. Epub 2022 Jan 12.
3
Towards Clinical Application of Artificial Intelligence in Ultrasound Imaging.人工智能在超声成像中的临床应用探索。
Biomedicines. 2021 Jun 23;9(7):720. doi: 10.3390/biomedicines9070720.
4
A survey on active learning and human-in-the-loop deep learning for medical image analysis.主动学习和人机交互深度学习在医学图像分析中的应用调查。
Med Image Anal. 2021 Jul;71:102062. doi: 10.1016/j.media.2021.102062. Epub 2021 Apr 9.
5
Evaluation of the performance of traditional machine learning algorithms, convolutional neural network and AutoML Vision in ultrasound breast lesions classification: a comparative study.传统机器学习算法、卷积神经网络和自动机器学习视觉在超声乳腺病变分类中的性能评估:一项比较研究。
Quant Imaging Med Surg. 2021 Apr;11(4):1381-1393. doi: 10.21037/qims-20-922.
6
Conventional Machine Learning versus Deep Learning for Magnification Dependent Histopathological Breast Cancer Image Classification: A Comparative Study with Visual Explanation.用于基于放大倍数的组织病理学乳腺癌图像分类的传统机器学习与深度学习:一项带有可视化解释的比较研究
Diagnostics (Basel). 2021 Mar 16;11(3):528. doi: 10.3390/diagnostics11030528.
7
Deep learning with convolutional neural network in the assessment of breast cancer molecular subtypes based on US images: a multicenter retrospective study.基于超声图像的卷积神经网络深度学习在乳腺癌分子亚型评估中的应用:一项多中心回顾性研究。
Eur Radiol. 2021 Jun;31(6):3673-3682. doi: 10.1007/s00330-020-07544-8. Epub 2020 Nov 23.
8
A comparative study of pre-trained convolutional neural networks for semantic segmentation of breast tumors in ultrasound.用于超声乳腺肿瘤语义分割的预训练卷积神经网络的比较研究
Comput Biol Med. 2020 Nov;126:104036. doi: 10.1016/j.compbiomed.2020.104036. Epub 2020 Oct 8.
9
Development and Validation of a Deep Learning System for Diagnosing Glaucoma Using Optical Coherence Tomography.基于光学相干断层扫描技术的青光眼诊断深度学习系统的开发与验证
J Clin Med. 2020 Jul 9;9(7):2167. doi: 10.3390/jcm9072167.
10
Two-stage ultrasound image segmentation using U-Net and test time augmentation.基于 U-Net 和测试时增强的两阶段超声图像分割。
Int J Comput Assist Radiol Surg. 2020 Jun;15(6):981-988. doi: 10.1007/s11548-020-02158-3. Epub 2020 Apr 29.