Suppr超能文献

副肿瘤性小脑共济失调患者的 Septin-3 自身免疫。

Septin-3 autoimmunity in patients with paraneoplastic cerebellar ataxia.

机构信息

Institute for Experimental Immunology, affiliated to EUROIMMUN AG, Lübeck, Germany.

Clinical Immunological Laboratory Prof. Dr. med. Winfried Stöcker, Lübeck, Germany.

出版信息

J Neuroinflammation. 2023 Mar 30;20(1):88. doi: 10.1186/s12974-023-02718-9.

Abstract

BACKGROUND

Septins are cytoskeletal proteins with filament forming capabilities, which have multiple roles during cell division, cellular polarization, morphogenesis, and membrane trafficking. Autoantibodies against septin-5 are associated with non-paraneoplastic cerebellar ataxia, and autoantibodies against septin-7 with encephalopathy with prominent neuropsychiatric features. Here, we report on newly identified autoantibodies against septin-3 in patients with paraneoplastic cerebellar ataxia. We also propose a strategy for anti-septin autoantibody determination.

METHODS

Sera from three patients producing similar immunofluorescence staining patterns on cerebellar and hippocampal sections were subjected to immunoprecipitation followed by mass spectrometry. The identified candidate antigens, all of which were septins, were expressed recombinantly in HEK293 cells either individually, as complexes, or combinations missing individual septins, for use in recombinant cell-based indirect immunofluorescence assays (RC-IIFA). Specificity for septin-3 was further confirmed by tissue IIFA neutralization experiments. Finally, tumor tissue sections were analyzed immunohistochemically for septin-3 expression.

RESULTS

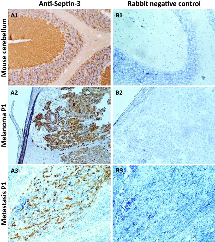
Immunoprecipitation with rat cerebellum lysate revealed septin-3, -5, -6, -7, and -11 as candidate target antigens. Sera of all three patients reacted with recombinant cells co-expressing septin-3/5/6/7/11, while none of 149 healthy control sera was similarly reactive. In RC-IIFAs the patient sera recognized only cells expressing septin-3, individually and in complexes. Incubation of patient sera with five different septin combinations, each missing one of the five septins, confirmed the autoantibodies' specificity for septin-3. The tissue IIFA reactivity of patient serum was abolished by pre-incubation with HEK293 cell lysates overexpressing the septin-3/5/6/7/11 complex or septin-3 alone, but not with HEK293 cell lysates overexpressing septin-5 as control. All three patients had cancers (2 × melanoma, 1 × small cell lung cancer), presented with progressive cerebellar syndromes, and responded poorly to immunotherapy. Expression of septin-3 was demonstrated in resected tumor tissue available from one patient.

CONCLUSIONS

Septin-3 is a novel autoantibody target in patients with paraneoplastic cerebellar syndromes. Based on our findings, RC-IIFA with HEK293 cells expressing the septin-3/5/6/7/11 complex may serve as a screening tool to investigate anti-septin autoantibodies in serological samples with a characteristic staining pattern on neuronal tissue sections. Autoantibodies against individual septins can then be confirmed by RC-IIFA expressing single septins.

摘要

背景

纤毛蛋白是一种具有成丝能力的细胞骨架蛋白,在细胞分裂、细胞极化、形态发生和膜运输过程中具有多种作用。针对 septin-5 的自身抗体与非副肿瘤性小脑性共济失调有关,而针对 septin-7 的自身抗体与以明显神经精神特征为特征的脑病有关。在这里,我们报告了在副肿瘤性小脑共济失调患者中发现的针对 septin-3 的新自身抗体。我们还提出了一种用于检测抗 septin 自身抗体的策略。

方法

对在小脑和海马切片上产生类似免疫荧光染色模式的 3 名患者的血清进行免疫沉淀,然后进行质谱分析。鉴定出的候选抗原均为 septin,在 HEK293 细胞中以单独形式、作为复合物形式或以缺失单个 septin 的复合物形式表达,用于重组细胞间接免疫荧光测定(RC-IIFA)。通过组织 IIFA 中和实验进一步证实了针对 septin-3 的特异性。最后,用免疫组织化学分析肿瘤组织切片中 septin-3 的表达。

结果

用大鼠小脑裂解物进行免疫沉淀显示 septin-3、-5、-6、-7 和 -11 为候选靶抗原。所有 3 名患者的血清均与共表达 septin-3/5/6/7/11 的重组细胞反应,而 149 名健康对照血清中无一例有类似反应。在 RC-IIFA 中,患者血清仅识别单独和复合物形式表达 septin-3 的细胞。用缺失五个 septin 中的一个的五种 septin 组合之一孵育患者血清,证实了自身抗体对 septin-3 的特异性。用 HEK293 细胞裂解物预孵育过表达 septin-3/5/6/7/11 复合物或 septin-3 的患者血清,可消除组织 IIFA 反应,但用作为对照的过表达 septin-5 的 HEK293 细胞裂解物则不能。所有 3 名患者均患有癌症(2×黑色素瘤,1×小细胞肺癌),表现为进行性小脑综合征,免疫治疗反应不佳。从一名患者获得的切除肿瘤组织中显示了 septin-3 的表达。

结论

septin-3 是副肿瘤性小脑综合征患者的新自身抗体靶标。基于我们的发现,用表达 septin-3/5/6/7/11 复合物的 HEK293 细胞进行 RC-IIFA 可能作为一种筛查工具,用于研究具有神经元组织切片特征染色模式的血清样本中的抗 septin 自身抗体。然后可以通过表达单个 septin 的 RC-IIFA 来确认针对单个 septin 的自身抗体。

https://cdn.ncbi.nlm.nih.gov/pmc/blobs/f5f1/10061979/e866436afdcd/12974_2023_2718_Fig1_HTML.jpg

文献检索

告别复杂PubMed语法,用中文像聊天一样搜索,搜遍4000万医学文献。AI智能推荐,让科研检索更轻松。

立即免费搜索

文件翻译

保留排版,准确专业,支持PDF/Word/PPT等文件格式,支持 12+语言互译。

免费翻译文档

深度研究

AI帮你快速写综述,25分钟生成高质量综述,智能提取关键信息,辅助科研写作。

立即免费体验