• 文献检索
  • 文档翻译
  • 深度研究
  • 学术资讯
  • Suppr Zotero 插件Zotero 插件
  • 邀请有礼
  • 套餐&价格
  • 历史记录
应用&插件
Suppr Zotero 插件Zotero 插件浏览器插件Mac 客户端Windows 客户端微信小程序
定价
高级版会员购买积分包购买API积分包
服务
文献检索文档翻译深度研究API 文档MCP 服务
关于我们
关于 Suppr公司介绍联系我们用户协议隐私条款
关注我们

Suppr 超能文献

核心技术专利:CN118964589B侵权必究
粤ICP备2023148730 号-1Suppr @ 2026

文献检索

告别复杂PubMed语法,用中文像聊天一样搜索,搜遍4000万医学文献。AI智能推荐,让科研检索更轻松。

立即免费搜索

文件翻译

保留排版,准确专业,支持PDF/Word/PPT等文件格式,支持 12+语言互译。

免费翻译文档

深度研究

AI帮你快速写综述,25分钟生成高质量综述,智能提取关键信息,辅助科研写作。

立即免费体验

人月经血来源的干细胞通过过度激活线粒体自噬逆转肝癌细胞对索拉非尼的耐药性。

Human menstrual blood-derived stem cells reverse sorafenib resistance in hepatocellular carcinoma cells through the hyperactivation of mitophagy.

机构信息

State Key Laboratory for Diagnosis and Treatment of Infectious Diseases, National Clinical Research Center for Infectious Diseases, National Medical Center for Infectious Diseases, Collaborative Innovation Center for Diagnosis and Treatment of Infectious Diseases, The First Affiliated Hospital, Zhejiang University School of Medicine, Hangzhou, 310003, China.

Research Units of Infectious Disease and Microecology, Chinese Academy of Medical Sciences, Beijing, 100730, China.

出版信息

Stem Cell Res Ther. 2023 Apr 1;14(1):58. doi: 10.1186/s13287-023-03278-8.

DOI:10.1186/s13287-023-03278-8
PMID:37005657
原文链接:https://pmc.ncbi.nlm.nih.gov/articles/PMC10068152/
Abstract

BACKGROUND

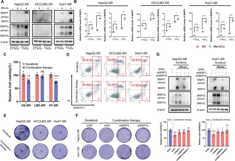
Sorafenib is a first-line drug targeting the RTK-MAPK signalling pathway used to treat advanced hepatocellular carcinoma (HCC). However, tumour cells readily develop sorafenib resistance, limiting long-term therapy with this drug. In our previous study, we found that human menstrual blood-derived stem cells (MenSCs) altered the expression of some sorafenib resistance-associated genes in HCC cells. Therefore, we wanted to further explore the feasibility of MenSC-based combination therapy in treating sorafenib-resistant HCC (HCC-SR) cells.

METHODS

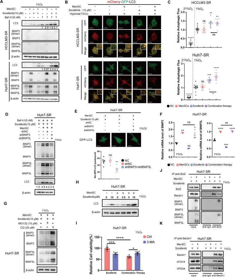
The therapeutic efficiency of sorafenib was determined using CCK-8 (Cell Counting Kit-8), Annexin V/PI and clone formation assays in vitro and a xenograft mouse model in vivo. DNA methylation was determined using RT‒PCR and methylated DNA immunoprecipitation (MeDIP). Autophagy was detected by measuring LC3-II degradation and autophagosome maturation. Transmission electron microscopy identified autophagosomes and mitochondria. Physiological functions of mitochondria were assessed by measuring the ATP content, reactive oxygen species (ROS) generation, and mitochondrial membrane potential (MMP).

RESULTS

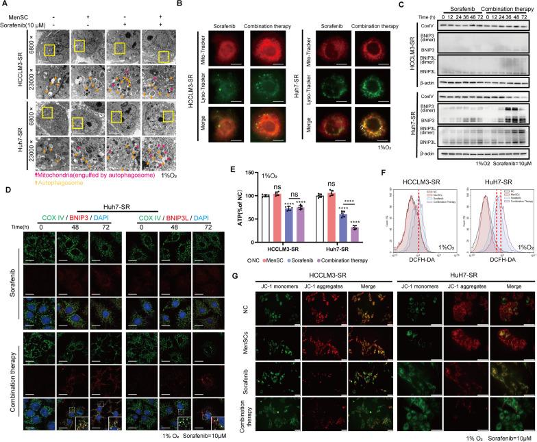
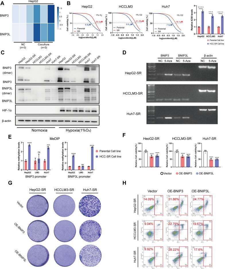
The tumour suppressor genes BCL2 interacting protein 3 (BNIP3) and BCL2 interacting protein 3 like (BNIP3L) were silenced by promoter methylation and that BNIP3 and BNIP3L levels correlated negatively with sorafenib resistance in HCC-SR cells. Strikingly, MenSCs reversed sorafenib resistance. MenSCs upregulated BNIP3 and BNIP3L expression in HCC-SR cells via tet methylcytosine dioxygenase 2 (TET2)-mediated active demethylation. In HCC-SR cells receiving sorafenib and MenSC combination therapy, pressure from sorafenib and elevated BNIP3 and BNIP3L levels disrupted balanced autophagy. Hyperactivation of mitophagy significantly caused severe mitochondrial dysfunction and eventually led to the autophagic death of HCC-SR cells.

CONCLUSIONS

Our research suggests that combining sorafenib and MenSCs may be a potentially new strategy to reverse sorafenib resistance in HCC-SR cells.

摘要

背景

索拉非尼是一种针对 RTK-MAPK 信号通路的一线药物,用于治疗晚期肝细胞癌(HCC)。然而,肿瘤细胞很容易产生索拉非尼耐药性,限制了该药物的长期治疗。在我们之前的研究中,我们发现人月经血源性干细胞(MenSCs)改变了 HCC 细胞中一些与索拉非尼耐药相关基因的表达。因此,我们希望进一步探索基于 MenSC 的联合治疗在治疗索拉非尼耐药性 HCC(HCC-SR)细胞中的可行性。

方法

通过 CCK-8(细胞计数试剂盒-8)、Annexin V/PI 和克隆形成实验以及体内异种移植小鼠模型,在体外和体内确定索拉非尼的治疗效率。通过 RT-PCR 和甲基化 DNA 免疫沉淀(MeDIP)测定 DNA 甲基化。通过测量 LC3-II 降解和自噬体成熟来检测自噬。透射电子显微镜鉴定自噬体和线粒体。通过测量 ATP 含量、活性氧(ROS)生成和线粒体膜电位(MMP)来评估线粒体的生理功能。

结果

肿瘤抑制基因 BCL2 相互作用蛋白 3(BNIP3)和 BCL2 相互作用蛋白 3 样(BNIP3L)被启动子甲基化沉默,并且 BNIP3 和 BNIP3L 水平与 HCC-SR 细胞中的索拉非尼耐药性呈负相关。令人惊讶的是,MenSCs 逆转了索拉非尼耐药性。MenSCs 通过四甲基环二鸟苷酸 2(TET2)介导的活性去甲基化,上调 HCC-SR 细胞中的 BNIP3 和 BNIP3L 表达。在接受索拉非尼和 MenSC 联合治疗的 HCC-SR 细胞中,索拉非尼的压力和 BNIP3 和 BNIP3L 水平的升高破坏了平衡的自噬。过度激活的线粒体自噬导致严重的线粒体功能障碍,最终导致 HCC-SR 细胞的自噬性死亡。

结论

我们的研究表明,索拉非尼联合 MenSCs 可能是一种潜在的新策略,可以逆转 HCC-SR 细胞中的索拉非尼耐药性。

https://cdn.ncbi.nlm.nih.gov/pmc/blobs/90e9/10068152/e19136f88a19/13287_2023_3278_Fig8_HTML.jpg
https://cdn.ncbi.nlm.nih.gov/pmc/blobs/90e9/10068152/9fca5cb73b31/13287_2023_3278_Fig1_HTML.jpg
https://cdn.ncbi.nlm.nih.gov/pmc/blobs/90e9/10068152/6c1aed24fb20/13287_2023_3278_Fig2_HTML.jpg
https://cdn.ncbi.nlm.nih.gov/pmc/blobs/90e9/10068152/824e85139d80/13287_2023_3278_Fig3_HTML.jpg
https://cdn.ncbi.nlm.nih.gov/pmc/blobs/90e9/10068152/6ad5b77b3fac/13287_2023_3278_Fig4_HTML.jpg
https://cdn.ncbi.nlm.nih.gov/pmc/blobs/90e9/10068152/03bdef89b9a3/13287_2023_3278_Fig5_HTML.jpg
https://cdn.ncbi.nlm.nih.gov/pmc/blobs/90e9/10068152/920e1a9fdf38/13287_2023_3278_Fig6_HTML.jpg
https://cdn.ncbi.nlm.nih.gov/pmc/blobs/90e9/10068152/53df4396c210/13287_2023_3278_Fig7_HTML.jpg
https://cdn.ncbi.nlm.nih.gov/pmc/blobs/90e9/10068152/e19136f88a19/13287_2023_3278_Fig8_HTML.jpg
https://cdn.ncbi.nlm.nih.gov/pmc/blobs/90e9/10068152/9fca5cb73b31/13287_2023_3278_Fig1_HTML.jpg
https://cdn.ncbi.nlm.nih.gov/pmc/blobs/90e9/10068152/6c1aed24fb20/13287_2023_3278_Fig2_HTML.jpg
https://cdn.ncbi.nlm.nih.gov/pmc/blobs/90e9/10068152/824e85139d80/13287_2023_3278_Fig3_HTML.jpg
https://cdn.ncbi.nlm.nih.gov/pmc/blobs/90e9/10068152/6ad5b77b3fac/13287_2023_3278_Fig4_HTML.jpg
https://cdn.ncbi.nlm.nih.gov/pmc/blobs/90e9/10068152/03bdef89b9a3/13287_2023_3278_Fig5_HTML.jpg
https://cdn.ncbi.nlm.nih.gov/pmc/blobs/90e9/10068152/920e1a9fdf38/13287_2023_3278_Fig6_HTML.jpg
https://cdn.ncbi.nlm.nih.gov/pmc/blobs/90e9/10068152/53df4396c210/13287_2023_3278_Fig7_HTML.jpg
https://cdn.ncbi.nlm.nih.gov/pmc/blobs/90e9/10068152/e19136f88a19/13287_2023_3278_Fig8_HTML.jpg

相似文献

1
Human menstrual blood-derived stem cells reverse sorafenib resistance in hepatocellular carcinoma cells through the hyperactivation of mitophagy.人月经血来源的干细胞通过过度激活线粒体自噬逆转肝癌细胞对索拉非尼的耐药性。
Stem Cell Res Ther. 2023 Apr 1;14(1):58. doi: 10.1186/s13287-023-03278-8.
2
Artesunate Sensitizes human hepatocellular carcinoma to sorafenib via exacerbating AFAP1L2-SRC-FUNDC1 axis-dependent mitophagy.青蒿琥酯通过加剧 AFAP1L2-SRC-FUNDC1 轴依赖性线粒体自噬使肝癌对索拉非尼敏感。
Autophagy. 2024 Mar;20(3):541-556. doi: 10.1080/15548627.2023.2261758. Epub 2023 Oct 5.
3
Epigenetic regulation of DNA repair gene program by Hippo/YAP1-TET1 axis mediates sorafenib resistance in HCC.Hippo/YAP1-TET1 轴通过表观遗传调控 DNA 修复基因程序介导 HCC 对索拉非尼的耐药性。
Cell Mol Life Sci. 2024 Jul 5;81(1):284. doi: 10.1007/s00018-024-05296-y.
4
Efficacy of annexin A3 blockade in sensitizing hepatocellular carcinoma to sorafenib and regorafenib.阻断膜联蛋白 A3 可增强索拉非尼和瑞戈非尼对肝细胞癌的敏感性。
J Hepatol. 2018 Oct;69(4):826-839. doi: 10.1016/j.jhep.2018.05.034. Epub 2018 Jun 7.
5
Exosome-derived circUPF2 enhances resistance to targeted therapy by redeploying ferroptosis sensitivity in hepatocellular carcinoma.外泌体来源的 circUPF2 通过重新分配肝细胞癌中的铁死亡敏感性来增强对靶向治疗的抵抗力。
J Nanobiotechnology. 2024 May 30;22(1):298. doi: 10.1186/s12951-024-02582-6.
6
Genome-scale CRISPRa screening identifies MTX1 as a contributor for sorafenib resistance in hepatocellular carcinoma by augmenting autophagy.全基因组 CRISPRa 筛选发现 MTX1 通过增强自噬促进肝癌对索拉非尼的耐药性。
Int J Biol Sci. 2021 Jul 25;17(12):3133-3144. doi: 10.7150/ijbs.62393. eCollection 2021.
7
Genome-wide DNA methylation and hydroxymethylation analysis reveal human menstrual blood-derived stem cells inhibit hepatocellular carcinoma growth through oncogenic pathway suppression via regulating 5-hmC in enhancer elements.全基因组 DNA 甲基化和羟甲基化分析显示,人月经血来源的干细胞通过调节增强子元件中的 5-hmC 抑制致癌通路,从而抑制肝癌生长。
Stem Cell Res Ther. 2019 May 31;10(1):151. doi: 10.1186/s13287-019-1243-8.
8
Treatment with a New Barbituric Acid Derivative Exerts Antiproliferative and Antimigratory Effects against Sorafenib Resistance in Hepatocellular Carcinoma.新型巴比妥酸衍生物治疗对肝癌索拉非尼耐药具有抗增殖和抗迁移作用。
Molecules. 2020 Jun 20;25(12):2856. doi: 10.3390/molecules25122856.
9
CDK9 inhibition blocks the initiation of PINK1-PRKN-mediated mitophagy by regulating the SIRT1-FOXO3-BNIP3 axis and enhances the therapeutic effects involving mitochondrial dysfunction in hepatocellular carcinoma.CDK9 抑制通过调节 SIRT1-FOXO3-BNIP3 轴阻断 PINK1-PRKN 介导的线粒体自噬的起始,增强涉及肝癌线粒体功能障碍的治疗效果。
Autophagy. 2022 Aug;18(8):1879-1897. doi: 10.1080/15548627.2021.2007027. Epub 2021 Dec 10.
10
LncRNA SNHG1 contributes to sorafenib resistance by activating the Akt pathway and is positively regulated by miR-21 in hepatocellular carcinoma cells.长链非编码 RNA SNHG1 通过激活 Akt 通路促进索拉非尼耐药,并且在肝癌细胞中受 miR-21 正向调控。
J Exp Clin Cancer Res. 2019 May 3;38(1):183. doi: 10.1186/s13046-019-1177-0.

引用本文的文献

1
Traditional Chinese Medicine Monomers and Their Derivatives as a Promising Therapeutic Tool for Hepatocellular Carcinoma by Activation of Mitophagy.通过激活线粒体自噬,中药单体及其衍生物有望成为治疗肝细胞癌的工具。
Drug Des Devel Ther. 2025 Aug 19;19:7069-7087. doi: 10.2147/DDDT.S535244. eCollection 2025.
2
Targeting Mitochondrial Quality Control for the Treatment of Triple-Negative Breast Cancer: From Molecular Mechanisms to Precision Therapy.靶向线粒体质量控制用于三阴性乳腺癌治疗:从分子机制到精准治疗
Biomolecules. 2025 Jul 5;15(7):970. doi: 10.3390/biom15070970.
3
Bibliometric and visualized analysis of mitophagy in liver cancer from 1998 to 2024.

本文引用的文献

1
Hepatocellular Carcinoma.肝细胞癌。
Crit Care Nurs Clin North Am. 2022 Sep;34(3):289-301. doi: 10.1016/j.cnc.2022.04.004. Epub 2022 Jul 20.
2
Mesenchymal stem cells promote caspase-3 expression of SH-SY5Y neuroblastoma cells via reducing telomerase activity and telomere length.间充质干细胞通过降低端粒酶活性和端粒长度来促进SH-SY5Y神经母细胞瘤细胞中caspase-3的表达。
Iran J Basic Med Sci. 2021 Nov;24(11):1583-1589. doi: 10.22038/IJBMS.2021.59400.13187.
3
Silver nanoparticles induce the cardiomyogenic differentiation of bone marrow derived mesenchymal stem cells via telomere length extension.
1998年至2024年肝癌线粒体自噬的文献计量学与可视化分析
Discov Oncol. 2025 Jul 6;16(1):1267. doi: 10.1007/s12672-025-03098-7.
4
Comprehensive review and updated analysis of DNA methylation in hepatocellular carcinoma: From basic research to clinical application.肝细胞癌中 DNA 甲基化的综合回顾和最新分析:从基础研究到临床应用。
Clin Transl Med. 2024 Nov;14(11):e70066. doi: 10.1002/ctm2.70066.
5
Advances in hepatocellular carcinoma drug resistance models.肝细胞癌耐药模型的进展
Front Med (Lausanne). 2024 Jul 31;11:1437226. doi: 10.3389/fmed.2024.1437226. eCollection 2024.
6
Single-cell RNA sequencing reveals reduced intercellular adhesion molecule crosstalk between activated hepatic stellate cells and neutrophils alleviating liver fibrosis in hepatitis B virus transgenic mice post menstrual blood-derived mesenchymal stem cell transplantation.单细胞RNA测序揭示了月经血源性间充质干细胞移植后乙肝病毒转基因小鼠中,活化的肝星状细胞与中性粒细胞之间细胞间粘附分子串扰减少,从而减轻了肝纤维化。
MedComm (2020). 2024 Jul 22;5(8):e654. doi: 10.1002/mco2.654. eCollection 2024 Aug.
7
Human Menstrual Blood-Derived Stem Cells Protect against Tacrolimus-Induced Islet Dysfunction via Cystathionine β-Synthase Mediated IL-6/STAT3 Inactivation.人月经血来源的干细胞通过胱硫醚β-合酶介导的 IL-6/STAT3 失活来防止他克莫司诱导的胰岛功能障碍。
Biomolecules. 2024 Jun 8;14(6):671. doi: 10.3390/biom14060671.
银纳米颗粒通过端粒长度延长诱导骨髓间充质干细胞向心肌细胞分化。
Beilstein J Nanotechnol. 2021 Aug 2;12:786-797. doi: 10.3762/bjnano.12.62. eCollection 2021.
4
UBQLN1 mediates sorafenib resistance through regulating mitochondrial biogenesis and ROS homeostasis by targeting PGC1β in hepatocellular carcinoma.UBQLN1 通过靶向调控 PGC1β 介导的线粒体生物发生和 ROS 平衡来介导肝癌对索拉非尼的耐药性。
Signal Transduct Target Ther. 2021 May 18;6(1):190. doi: 10.1038/s41392-021-00594-4.
5
CircRNA-SORE mediates sorafenib resistance in hepatocellular carcinoma by stabilizing YBX1.环状 RNA-SORE 通过稳定 YBX1 介导肝癌对索拉非尼的耐药性。
Signal Transduct Target Ther. 2020 Dec 26;5(1):298. doi: 10.1038/s41392-020-00375-5.
6
Human menstrual blood-derived stem cells mitigate bleomycin-induced pulmonary fibrosis through anti-apoptosis and anti-inflammatory effects.人月经血源性干细胞通过抗凋亡和抗炎作用减轻博来霉素诱导的肺纤维化。
Stem Cell Res Ther. 2020 Nov 11;11(1):477. doi: 10.1186/s13287-020-01926-x.
7
HIF-1α-BNIP3-mediated mitophagy in tubular cells protects against renal ischemia/reperfusion injury.缺氧诱导因子-1α(HIF-1α)-BNIP3 介导线粒体自噬可保护肾小管细胞免受肾缺血/再灌注损伤。
Redox Biol. 2020 Sep;36:101671. doi: 10.1016/j.redox.2020.101671. Epub 2020 Aug 7.
8
The mechanisms of sorafenib resistance in hepatocellular carcinoma: theoretical basis and therapeutic aspects.索拉非尼耐药在肝细胞癌中的机制:理论基础和治疗方面。
Signal Transduct Target Ther. 2020 Jun 10;5(1):87. doi: 10.1038/s41392-020-0187-x.
9
Mitochondrial Quality Control and Cellular Proteostasis: Two Sides of the Same Coin.线粒体质量控制与细胞蛋白质稳态:同一枚硬币的两面
Front Physiol. 2020 May 25;11:515. doi: 10.3389/fphys.2020.00515. eCollection 2020.
10
MiR-199a-modified exosomes from adipose tissue-derived mesenchymal stem cells improve hepatocellular carcinoma chemosensitivity through mTOR pathway.脂肪组织来源的间充质干细胞来源的 miR-199a 修饰的外泌体通过 mTOR 通路提高肝癌细胞的化疗敏感性。
J Exp Clin Cancer Res. 2020 Jan 2;39(1):4. doi: 10.1186/s13046-019-1512-5.