Suppr超能文献

Sarcoidosis of the breast.

作者信息

Banik S, Bishop P W, Ormerod L P, O'Brien T E

出版信息

J Clin Pathol. 1986 Apr;39(4):446-8. doi: 10.1136/jcp.39.4.446.

Abstract

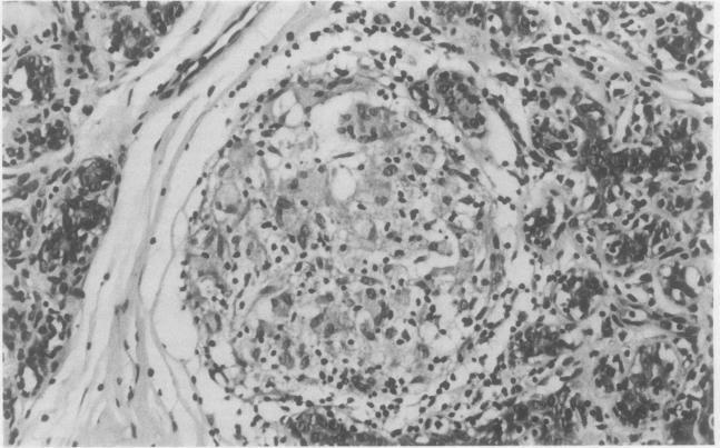
Sarcoid granulomata were found incidentally in the mammary lobules adjacent to an excised fibroadenoma in a case of sarcoidosis of the breast. The diagnosis of sarcoidosis was established by the radiological finding of bilateral hilar lymphadenopathy, raised concentrations of serum angiotensin converting enzyme and lysozyme, and, finally, by a positive Kveim test.

摘要
https://cdn.ncbi.nlm.nih.gov/pmc/blobs/8c25/499843/c69fbd80d23e/jclinpath00199-0094-a.jpg

文献检索

告别复杂PubMed语法,用中文像聊天一样搜索,搜遍4000万医学文献。AI智能推荐,让科研检索更轻松。

立即免费搜索

文件翻译

保留排版,准确专业,支持PDF/Word/PPT等文件格式,支持 12+语言互译。

免费翻译文档

深度研究

AI帮你快速写综述,25分钟生成高质量综述,智能提取关键信息,辅助科研写作。

立即免费体验