• 文献检索
  • 文档翻译
  • 深度研究
  • 学术资讯
  • Suppr Zotero 插件Zotero 插件
  • 邀请有礼
  • 套餐&价格
  • 历史记录
应用&插件
Suppr Zotero 插件Zotero 插件浏览器插件Mac 客户端Windows 客户端微信小程序
定价
高级版会员购买积分包购买API积分包
服务
文献检索文档翻译深度研究API 文档MCP 服务
关于我们
关于 Suppr公司介绍联系我们用户协议隐私条款
关注我们

Suppr 超能文献

核心技术专利:CN118964589B侵权必究
粤ICP备2023148730 号-1Suppr @ 2026

文献检索

告别复杂PubMed语法,用中文像聊天一样搜索,搜遍4000万医学文献。AI智能推荐,让科研检索更轻松。

立即免费搜索

文件翻译

保留排版,准确专业,支持PDF/Word/PPT等文件格式,支持 12+语言互译。

免费翻译文档

深度研究

AI帮你快速写综述,25分钟生成高质量综述,智能提取关键信息,辅助科研写作。

立即免费体验

创伤后脊髓空洞症患者颅颈交界区蛛网膜松解术后急性幕上硬膜下血肿;病例报告及文献复习

Acute supratentorial subdural hematoma after craniocervical junction arachnolysis in a patient with posttraumatic syringomyelia; case report and literature review.

作者信息

Eghbal Keyvan, Farrokhi Majid Reza, Mousavi Seyed Reza, Shahpari Motlagh Mohammadhadi Amir, Kazeminezhad Ali, Ghaffarpasand Fariborz

机构信息

Department of Neurosurgery Shiraz University of Medical Sciences Shiraz Iran.

Shiraz Neurosciences Research Center, Department of Neurosurgery Shiraz University of Medical Sciences Shiraz Iran.

出版信息

Clin Case Rep. 2023 Mar 31;11(4):e7170. doi: 10.1002/ccr3.7170. eCollection 2023 Apr.

DOI:10.1002/ccr3.7170
PMID:37006844
原文链接:https://pmc.ncbi.nlm.nih.gov/articles/PMC10064022/
Abstract

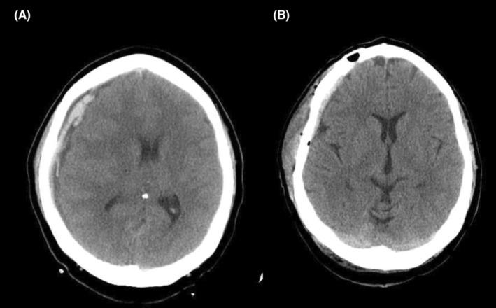
In patients with SAA rapid CSF drainage while performing durotomy must be avoided by utilizing cotton pads and lowering the head level to avoid catastrophic complications.

摘要

对于重型再生障碍性贫血患者,在进行硬脑膜切开术时,必须使用棉垫并降低头部高度以避免快速脑脊液引流,防止发生灾难性并发症。

https://cdn.ncbi.nlm.nih.gov/pmc/blobs/e0a4/10064022/a796b1a3907a/CCR3-11-e7170-g003.jpg
https://cdn.ncbi.nlm.nih.gov/pmc/blobs/e0a4/10064022/3b6f402a14d9/CCR3-11-e7170-g001.jpg
https://cdn.ncbi.nlm.nih.gov/pmc/blobs/e0a4/10064022/8b385fdf07e6/CCR3-11-e7170-g002.jpg
https://cdn.ncbi.nlm.nih.gov/pmc/blobs/e0a4/10064022/a796b1a3907a/CCR3-11-e7170-g003.jpg
https://cdn.ncbi.nlm.nih.gov/pmc/blobs/e0a4/10064022/3b6f402a14d9/CCR3-11-e7170-g001.jpg
https://cdn.ncbi.nlm.nih.gov/pmc/blobs/e0a4/10064022/8b385fdf07e6/CCR3-11-e7170-g002.jpg
https://cdn.ncbi.nlm.nih.gov/pmc/blobs/e0a4/10064022/a796b1a3907a/CCR3-11-e7170-g003.jpg

相似文献

1
Acute supratentorial subdural hematoma after craniocervical junction arachnolysis in a patient with posttraumatic syringomyelia; case report and literature review.创伤后脊髓空洞症患者颅颈交界区蛛网膜松解术后急性幕上硬膜下血肿;病例报告及文献复习
Clin Case Rep. 2023 Mar 31;11(4):e7170. doi: 10.1002/ccr3.7170. eCollection 2023 Apr.
2
Reintervention rate of arachnolysis versus shunting for nonforaminal syringomyelia.蛛网切开术与分流术治疗非孔型脊髓空洞症的再干预率。
J Neurosurg Spine. 2021 Feb 5;34(4):673-679. doi: 10.3171/2020.8.SPINE20928. Print 2021 Apr 1.
3
Spontaneous chronic spinal subdural hematoma associated with spinal arachnoiditis and syringomyelia.自发性慢性脊髓硬膜下血肿伴脊髓蛛网膜炎和脊髓空洞症。
J Clin Neurosci. 2005 Nov;12(8):949-53. doi: 10.1016/j.jocn.2004.10.019.
4
Treatment of Posttubercular Syringomyelia Not Responsive to Antitubercular Therapy: Case Report and Review of Literature.抗结核治疗无效的结核后脊髓空洞症的治疗:病例报告及文献综述
J Neurol Surg Rep. 2017 Apr;78(2):e59-e67. doi: 10.1055/s-0037-1601327.
5
Syringomyelia following surgery for a spontaneous spinal subdural hematoma in a 13-year-old girl with congenital von Willebrand disease: case report and literature review.一名患有先天性血管性血友病的13岁女孩自发性脊髓硬膜下血肿手术后发生脊髓空洞症:病例报告及文献综述
Childs Nerv Syst. 2016 Apr;32(4):727-31. doi: 10.1007/s00381-015-2875-3. Epub 2015 Aug 16.
6
Arachnolysis or cerebrospinal fluid diversion for adult-onset syringomyelia? A Systematic review of the literature.成人发病型脊髓空洞症的蛛网膜松解术或脑脊液分流术?文献系统评价
World Neurosurg. 2015 May;83(5):829-35. doi: 10.1016/j.wneu.2014.06.044. Epub 2014 Jun 27.
7
Treatment of Syringomyelia in Patients with Arachnoiditis at the Craniocervical Junction.颅颈交界区蛛网膜炎患者的脊髓空洞症治疗
World Neurosurg. 2017 Nov;107:565-573. doi: 10.1016/j.wneu.2017.08.064. Epub 2017 Aug 24.
8
Subdural hematoma caused by intracranial hypotension after syringosubarachnoid shunting--case report.
Neurol Med Chir (Tokyo). 2004 Sep;44(9):475-8. doi: 10.2176/nmc.44.475.
9
Subdural hematoma after thoracoabdominal aortic aneurysm repair: an underreported complication of spinal fluid drainage?胸腹主动脉瘤修复术后硬脑膜下血肿:脑脊液引流的一种未被充分报道的并发症?
J Vasc Surg. 2002 Jul;36(1):47-50. doi: 10.1067/mva.2002.125022.
10
Craniovertebral and spinal adhesive arachnoiditis: a late complication of ruptured vertebral and posterior inferior cerebellar arteries aneurysms.颅脊椎和脊髓粘连性蛛网膜炎:破裂的椎动脉和小脑后下动脉动脉瘤的晚期并发症。
Neurochirurgie. 2024 May;70(3):101535. doi: 10.1016/j.neuchi.2024.101535. Epub 2024 Feb 6.

本文引用的文献

1
Acute Subdural Hemorrhage as the Initial Presentation of Intracranial Hypotension Following Cervical Chiropractic Manipulation: A Case Report and Systematic Review.急性硬膜下血肿作为颈椎整脊手法治疗后颅内低压的首发表现:一例报告及系统评价
Neurohospitalist. 2022 Jan;12(1):57-62. doi: 10.1177/1941874420977767. Epub 2021 May 6.
2
MRI characteristics of syringomyelia associated with foramen magnum arachnoiditis: differentiation from Chiari malformation.磁共振成像表现与枕骨大孔蛛网膜炎相关的脊髓空洞症:与 Chiari 畸形的鉴别诊断。
Acta Neurochir (Wien). 2021 Jun;163(6):1593-1601. doi: 10.1007/s00701-021-04845-9. Epub 2021 Apr 21.
3
Spinal adhesive arachnoiditis: three case reports and review of literature.
脊柱粘连性蛛网膜炎:三例病例报告并文献复习。
Acta Neurol Belg. 2021 Feb;121(1):47-53. doi: 10.1007/s13760-020-01431-1. Epub 2020 Aug 24.
4
Spinal adhesive arachnoiditis mimicking sarcoid myelitis with nodular dural enhancement: A case report.表现为结节性硬脊膜强化、酷似结节病性脊髓炎的脊柱粘连性蛛网膜炎:一例报告
Mult Scler Relat Disord. 2020 Sep;44:102257. doi: 10.1016/j.msard.2020.102257. Epub 2020 Jun 2.
5
Craniovertebral Junction Arachnoiditis: An Unusual Sequelae to Tuberculous Meningitis.颅颈交界区蛛网膜炎:结核性脑膜炎的一种罕见后遗症。
J Neurosci Rural Pract. 2019 Oct;10(4):711-714. doi: 10.1055/s-0039-1700664. Epub 2019 Oct 23.
6
Unilateral chronic subdural hematoma due to spontaneous intracranial hypotension: a report of four cases.自发性颅内低血压导致的单侧慢性硬脑膜下血肿:4 例报告。
Br J Neurosurg. 2020 Dec;34(6):632-637. doi: 10.1080/02688697.2019.1667482. Epub 2019 Sep 19.
7
Cerebrospinal fluid dynamics and intracranial pressure elevation in neurological diseases.神经疾病中的脑脊液动力学和颅内压升高。
Fluids Barriers CNS. 2019 Apr 10;16(1):9. doi: 10.1186/s12987-019-0129-6.
8
Determinants of reoperation after decompressive craniectomy in patients with traumatic brain injury: A comparative study.创伤性脑损伤患者减压性颅骨切除术后再次手术的决定因素:一项对比研究。
Clin Neurol Neurosurg. 2019 Jun;181:1-6. doi: 10.1016/j.clineuro.2019.03.030. Epub 2019 Apr 1.
9
Cerebrospinal Fluid Leakage at the Lumbar Spine: A Unique Cause of Delayed Neurologic Deterioration in a Traumatic Acute Subdural Hematoma Patient.腰椎脑脊液漏:创伤性急性硬膜下血肿患者延迟神经功能恶化的独特原因。
Asian J Neurosurg. 2019 Jan-Mar;14(1):219-222. doi: 10.4103/ajns.AJNS_185_17.
10
Acute subdural hematomas in shunted normal-pressure hydrocephalus patients - Management options and literature review: A case-based series.分流性正常压力脑积水患者的急性硬膜下血肿——治疗选择与文献综述:基于病例的系列研究
Surg Neurol Int. 2018 Nov 28;9:238. doi: 10.4103/sni.sni_338_18. eCollection 2018.