Mehta Aadit, Foster Chase H, Rios-Vicil Christian I, Jean Walter C
1School of Medicine and Health Sciences, George Washington University, Washington, District of Columbia.
2Department of Neurosurgery, George Washington University, Washington, DC.
J Neurosurg Case Lessons. 2023 Apr 3;5(14). doi: 10.3171/CASE22542.
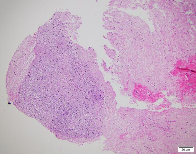
Nocardia cyriacigeorgica represents a rare cause of cerebral abscesses. Rarer still are brainstem abscesses caused by this bacterial species in immunocompetent hosts. In fact, only one such brainstem abscess case has been described in the neurosurgical literature to our knowledge to date. Herein, a case of Nocardia cyriacigeorgica abscess in the pons is reported, as well as a description of its surgical evacuation via the transpetrosal fissure, middle cerebellar peduncle approach. The authors review the utility of this well-described approach in treating such lesions safely and effectively. Finally, the authors briefly review, compare, and contrast related cases to this one.
Augmented reality is additive to and useful for well-described safe entry corridors to the brainstem. Despite surgical success, patients may not regain previously lost neurological function.
The transpetrosal fissure, middle cerebellar peduncle approach is safe and effective in evacuating pontine abscesses. Augmented reality guidance supplements but does not replace thorough knowledge of operative anatomy for this complex procedure. A reasonable degree of suspicion for brainstem abscess is prudent even in immunocompetent hosts. A multidisciplinary team is critical to the successful treatment of central nervous system Nocardiosis.
乔治西里亚星诺卡菌是脑脓肿的罕见病因。在免疫功能正常的宿主中,由该细菌引起的脑干脓肿更为罕见。事实上,据我们所知,神经外科文献中迄今仅描述了1例此类脑干脓肿病例。本文报告1例桥脑乔治西里亚星诺卡菌脓肿病例,并描述了经岩骨裂隙、小脑中间脚入路的手术引流方法。作者回顾了这种已详细描述的入路在安全有效地治疗此类病变中的效用。最后,作者简要回顾、比较并对比了与此病例相关的病例。
增强现实技术对已详细描述的安全进入脑干的通道有辅助作用且很有用。尽管手术成功,但患者可能无法恢复之前丧失的神经功能。
经岩骨裂隙、小脑中间脚入路在引流桥脑脓肿方面安全有效。增强现实引导对此复杂手术有辅助作用,但不能替代对手术解剖的全面了解。即使在免疫功能正常的宿主中,对脑干脓肿保持合理程度的怀疑也是谨慎的做法。多学科团队对成功治疗中枢神经系统诺卡菌病至关重要。