Suppr超能文献

表现为盆腔肿块的巨大塔洛夫囊肿:通常少做(干预)更好。

Giant Tarlov Cyst presenting as pelvic mass: Often doing less is better.

作者信息

Mehan Abhishek, Ruchika Fnu, Chaturvedi Jitender, Gupta Mohit, Venkataram Tejas, Goyal Nishant, Sharma Anil Kumar

机构信息

Medical Student, All India Institute of Medical Sciences, Rishikesh, Uttarakhand, India.

Department of General Surgery, Medical College, Jagadguru Jayadeva Murugarajendra (JJM), Medical College, Davangere, Karnataka, India.

出版信息

Surg Neurol Int. 2023 Mar 24;14:95. doi: 10.25259/SNI_79_2023. eCollection 2023.

Abstract

BACKGROUND

Tarlov cysts are sacral perineural cysts arising between the peri and endoneurium of the posterior spinal nerve root at the Dorsal Root Ganglion and have a global prevalence rate of 4.27%. These are primarily asymptomatic (only 1% with symptoms) and typically arise in females between the ages of 50-60. Patients' symptoms include radicular pain, sensory dysesthesias, urinary and/or bowel symptoms, and sexual dysfunction. Non-surgical management with lumbar cerebrospinal fluid drainage and computerized tomography-guided cyst aspiration typically provide only months of improvement before recurring. Surgical treatment includes a laminectomy, cyst, and/or nerve root decompression with fenestration of the cyst and/ or imbrication. Early surgery for large cysts provides the longest symptom-free periods.

CASE DESCRIPTION

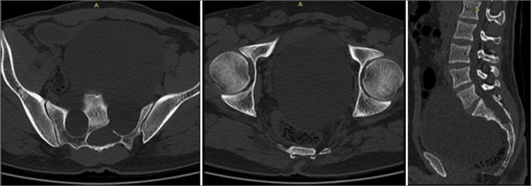
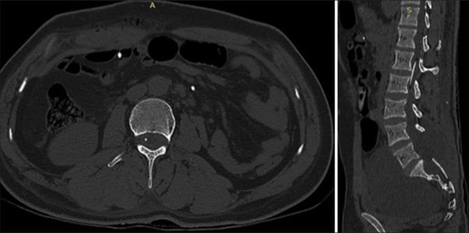
A 30-year-old male presented with a very large magnetic resonance-documented Tarlov cyst (Nabors Type 2) arising from bilateral S2 nerve root sheaths with marked pelvic extension. Although he was initially treated with a S1, S2 laminectomy, closure of the dural defect, and excision/marsupialization of the cyst, he later required placement of a thecoperitoneal shunt (TP shunt).

CONCLUSION

A 30-year-old male with large Nabors Type 2 Tarlov cyst arising from both S2 nerve root sheaths required a S1-S2 laminectomy, dural closure/marsupialization, and imbrication of the cyst, eventually followed by placement of a TP shunt.

摘要

背景

塔尔洛夫囊肿是一种骶部神经周囊肿,起源于背根神经节处脊神经后根的神经束膜和神经内膜之间,全球患病率为4.27%。这些囊肿主要无症状(仅1%有症状),通常发生在50至60岁的女性中。患者的症状包括神经根性疼痛、感觉异常、泌尿和/或肠道症状以及性功能障碍。采用腰椎脑脊液引流和计算机断层扫描引导下的囊肿抽吸进行非手术治疗,通常只能在复发前改善几个月。手术治疗包括椎板切除术、囊肿和/或神经根减压,囊肿开窗和/或重叠缝合。对于大型囊肿早期手术可提供最长的无症状期。

病例描述

一名30岁男性,磁共振成像证实存在一个非常大的塔尔洛夫囊肿(纳伯斯2型),起源于双侧S2神经根鞘,并有明显的盆腔延伸。尽管他最初接受了S1、S2椎板切除术、硬脑膜缺损闭合以及囊肿切除/袋形缝合术,但后来仍需要放置脑脊膜腹膜分流管(TP分流管)。

结论

一名30岁男性,双侧S2神经根鞘出现大型纳伯斯2型塔尔洛夫囊肿,需要进行S1 - S2椎板切除术、硬脑膜闭合/袋形缝合以及囊肿重叠缝合,最终还需要放置TP分流管。

https://cdn.ncbi.nlm.nih.gov/pmc/blobs/5974/10070324/4cea18fa201e/SNI-14-95-g001.jpg

文献AI研究员

20分钟写一篇综述,助力文献阅读效率提升50倍。

立即体验

用中文搜PubMed

大模型驱动的PubMed中文搜索引擎

马上搜索

文档翻译

学术文献翻译模型,支持多种主流文档格式。

立即体验