• 文献检索
  • 文档翻译
  • 深度研究
  • 学术资讯
  • Suppr Zotero 插件Zotero 插件
  • 邀请有礼
  • 套餐&价格
  • 历史记录
应用&插件
Suppr Zotero 插件Zotero 插件浏览器插件Mac 客户端Windows 客户端微信小程序
定价
高级版会员购买积分包购买API积分包
服务
文献检索文档翻译深度研究API 文档MCP 服务
关于我们
关于 Suppr公司介绍联系我们用户协议隐私条款
关注我们

Suppr 超能文献

核心技术专利:CN118964589B侵权必究
粤ICP备2023148730 号-1Suppr @ 2026

文献检索

告别复杂PubMed语法,用中文像聊天一样搜索,搜遍4000万医学文献。AI智能推荐,让科研检索更轻松。

立即免费搜索

文件翻译

保留排版,准确专业,支持PDF/Word/PPT等文件格式,支持 12+语言互译。

免费翻译文档

深度研究

AI帮你快速写综述,25分钟生成高质量综述,智能提取关键信息,辅助科研写作。

立即免费体验

腹股沟疣状颗粒状角化不全症:一例报告

Verrucous Granular Parakeratosis on the Groin: A Case Report.

作者信息

Li Huixian, Li Hui, Tian Qinghua, Fang Xiangang

机构信息

Department of Sterilization Supply, Weifang People's Hospital, Weifang, Shandong, People's Republic of China.

Department of Dermatology, Weifang People's Hospital, Weifang, Shandong, People's Republic of China.

出版信息

Clin Cosmet Investig Dermatol. 2023 Apr 1;16:853-857. doi: 10.2147/CCID.S401799. eCollection 2023.

DOI:10.2147/CCID.S401799
PMID:37033787
原文链接:https://pmc.ncbi.nlm.nih.gov/articles/PMC10076618/
Abstract

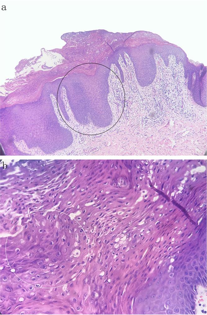
Granular parakeratosis is a rare dermatosis characterized by erythematous scaly patches or papules, and plaques, often involving intertriginous areas. In this work, a 73-year-old Chinese male patient presented with a 6-month history of pruritic verrucous papules on the bilateral groin. A skin biopsy was performed and revealed the following: the horny layer showed highly compact hyperkeratosis and parakeratosis with basophilic granules; the epidermis showed obvious acanthosis with psoriasiform hyperplasia. The final diagnosis was verrucous granular parakeratosis. We also reviewed the progress in nomenclature, etiology, clinical manifestations, differential diagnosis and treatment. Different clinical manifestations may represent different clinical entities. Dermatologists should differentiate it from other diseases to make a correct diagnosis. Treatment options should be based on the variable etiologies and clinical manifestations.

摘要

颗粒状角化不全症是一种罕见的皮肤病,其特征为红斑鳞屑性斑块或丘疹及斑块,常累及皮肤褶皱部位。在本研究中,一名73岁的中国男性患者双侧腹股沟出现瘙痒性疣状丘疹6个月。进行了皮肤活检,结果如下:角质层显示高度致密的角化过度和角化不全,并伴有嗜碱性颗粒;表皮显示明显的棘层肥厚伴银屑病样增生。最终诊断为疣状颗粒状角化不全症。我们还回顾了其命名、病因、临床表现、鉴别诊断及治疗方面的进展。不同的临床表现可能代表不同的临床实体。皮肤科医生应将其与其他疾病相鉴别以做出正确诊断。治疗方案应基于不同的病因和临床表现。

https://cdn.ncbi.nlm.nih.gov/pmc/blobs/61cd/10076618/8092aa7d7ef3/CCID-16-853-g0002.jpg
https://cdn.ncbi.nlm.nih.gov/pmc/blobs/61cd/10076618/5dfedfd9f350/CCID-16-853-g0001.jpg
https://cdn.ncbi.nlm.nih.gov/pmc/blobs/61cd/10076618/8092aa7d7ef3/CCID-16-853-g0002.jpg
https://cdn.ncbi.nlm.nih.gov/pmc/blobs/61cd/10076618/5dfedfd9f350/CCID-16-853-g0001.jpg
https://cdn.ncbi.nlm.nih.gov/pmc/blobs/61cd/10076618/8092aa7d7ef3/CCID-16-853-g0002.jpg

相似文献

1
Verrucous Granular Parakeratosis on the Groin: A Case Report.腹股沟疣状颗粒状角化不全症:一例报告
Clin Cosmet Investig Dermatol. 2023 Apr 1;16:853-857. doi: 10.2147/CCID.S401799. eCollection 2023.
2
Granular parakeratosis: pathologic and clinical correlation of 18 cases of granular parakeratosis.颗粒状角化不全症:18例颗粒状角化不全症的病理与临床相关性
J Am Acad Dermatol. 2005 May;52(5):863-7. doi: 10.1016/j.jaad.2004.12.031.
3
Granular Parakeratosis With Spontaneous Resolution: A Case Report.自发性消退的颗粒状角化不全:一例报告
Cureus. 2022 Apr 12;14(4):e24085. doi: 10.7759/cureus.24085. eCollection 2022 Apr.
4
Infantile granular parakeratosis: recognition of two clinical patterns.婴儿颗粒状角化不全症:两种临床模式的识别
J Am Acad Dermatol. 2004 May;50(5 Suppl):S93-6. doi: 10.1016/s0190-9622(03)02785-3.
5
Granular parakeratosis: a case report and literature review.颗粒状角化不全症:一例报告及文献综述
J Cutan Pathol. 2003 May;30(5):332-5. doi: 10.1034/j.1600-0560.2003.00066.x.
6
Granular parakeratosis - a unique acquired disorder of keratinization.颗粒状角化不全症——一种独特的获得性角化异常疾病。
J Cutan Pathol. 1999 Aug;26(7):339-52. doi: 10.1111/j.1600-0560.1999.tb01855.x.
7
Granular parakeratosis--a clinical-pathological correlation of 10 cases.颗粒状角化不全症——10例临床病理相关性研究
J Dtsch Dermatol Ges. 2009 Apr;7(4):340-4. doi: 10.1111/j.1610-0387.2008.06964.x. Epub 2008 Dec 3.
8
Axillary Granular Parakeratosis.腋窝颗粒性角化不良。
S D Med. 2021 Oct;74(10):480-482.
9
Granular parakeratosis: four paediatric cases.颗粒状角化不全症:四例儿科病例
Br J Dermatol. 2002 Nov;147(5):1003-6. doi: 10.1046/j.1365-2133.2002.04953.x.
10
Granular Parakeratosis: A Case Report.颗粒状角化不全症:一例报告
Clin Cosmet Investig Dermatol. 2022 Jul 15;15:1367-1370. doi: 10.2147/CCID.S371558. eCollection 2022.

引用本文的文献

1
White and red plaques of the labia and inguinal folds.阴唇和腹股沟皱襞处的白色及红色斑块。
Int J Womens Dermatol. 2024 Nov 1;10(4):e183. doi: 10.1097/JW9.0000000000000183. eCollection 2024 Dec.

本文引用的文献

1
Hyperkeratotic flexural erythema (more commonly known as granular parakeratosis) with use of laundry sanitizers containing benzalkonium chloride.使用含苯扎氯铵的衣物消毒剂导致的过度角化弯曲红斑(俗称颗粒状角化不良)。
Clin Exp Dermatol. 2022 Dec;47(12):2196-2200. doi: 10.1111/ced.15358. Epub 2022 Sep 26.
2
Granular Parakeratosis: A Case Report.颗粒状角化不全症:一例报告
Clin Cosmet Investig Dermatol. 2022 Jul 15;15:1367-1370. doi: 10.2147/CCID.S371558. eCollection 2022.
3
Hyperkeratotic flexural erythema/granular parakeratosis responding to doxycycline.
呈角化过度性弯曲部位红斑/颗粒状不全角化过度,对多西环素治疗有反应。
Australas J Dermatol. 2022 Aug;63(3):368-371. doi: 10.1111/ajd.13868. Epub 2022 May 10.
4
Clinical features, histology, and treatment outcomes of granular parakeratosis: a systematic review.颗粒状角化不良的临床特征、组织学和治疗结果:系统评价。
Int J Dermatol. 2022 Aug;61(8):973-978. doi: 10.1111/ijd.16107. Epub 2022 Jan 30.
5
Hyperkeratotic flexural erythema responding to amoxicillin-clavulanic acid therapy: Report of four cases.曲侧过度角化性红斑伴发于阿莫西林克拉维酸治疗:4 例报告。
Australas J Dermatol. 2019 Nov;60(4):311-314. doi: 10.1111/ajd.13069. Epub 2019 May 2.
6
Granular Parakeratosis: A Comprehensive Review and a Critical Reappraisal.颗粒状角化不全症:全面综述与批判性重新评估
Am J Clin Dermatol. 2015 Dec;16(6):495-500. doi: 10.1007/s40257-015-0148-2.
7
Granular parakeratosis: pathologic and clinical correlation of 18 cases of granular parakeratosis.颗粒状角化不全症:18例颗粒状角化不全症的病理与临床相关性
J Am Acad Dermatol. 2005 May;52(5):863-7. doi: 10.1016/j.jaad.2004.12.031.
8
Axillary granular parakeratosis.腋窝颗粒状角化不全症。
J Cutan Med Surg. 2003 Jul-Aug;7(4):330-2. doi: 10.1007/s10227-002-0131-4.
9
Granular parakeratosis: resolution with topical tretinoin.颗粒状角化不全症:外用维甲酸治疗有效。
J Am Acad Dermatol. 2002 Nov;47(5 Suppl):S279-80. doi: 10.1067/mjd.2002.109252.
10
Granular parakeratosis - a unique acquired disorder of keratinization.颗粒状角化不全症——一种独特的获得性角化异常疾病。
J Cutan Pathol. 1999 Aug;26(7):339-52. doi: 10.1111/j.1600-0560.1999.tb01855.x.