• 文献检索
  • 文档翻译
  • 深度研究
  • 学术资讯
  • Suppr Zotero 插件Zotero 插件
  • 邀请有礼
  • 套餐&价格
  • 历史记录
应用&插件
Suppr Zotero 插件Zotero 插件浏览器插件Mac 客户端Windows 客户端微信小程序
定价
高级版会员购买积分包购买API积分包
服务
文献检索文档翻译深度研究API 文档MCP 服务
关于我们
关于 Suppr公司介绍联系我们用户协议隐私条款
关注我们

Suppr 超能文献

核心技术专利:CN118964589B侵权必究
粤ICP备2023148730 号-1Suppr @ 2026

文献检索

告别复杂PubMed语法,用中文像聊天一样搜索,搜遍4000万医学文献。AI智能推荐,让科研检索更轻松。

立即免费搜索

文件翻译

保留排版,准确专业,支持PDF/Word/PPT等文件格式,支持 12+语言互译。

免费翻译文档

深度研究

AI帮你快速写综述,25分钟生成高质量综述,智能提取关键信息,辅助科研写作。

立即免费体验

双侧异时性乳腺恶性肿瘤:恶性叶状肿瘤与浸润性乳腺癌——病例报告

Bilateral metachronous breast malignancies: Malignant phylloides and invasive breast carcinoma-a case report.

作者信息

Abdullah Norlia, Rizuana Iqbal Hussain, Goh Janice Hui Ling, Lee Qi Zheng, Md Isa Nurismah, Md Pauzi Suria Hayati

机构信息

Surgery Department, Universiti Kebangsaan Malaysia Medical Centre, Cheras, Malaysia.

Radiology Department, Universiti Kebangsaan Malaysia Medical Centre, Cheras, Malaysia.

出版信息

Front Oncol. 2023 Mar 24;13:1034556. doi: 10.3389/fonc.2023.1034556. eCollection 2023.

DOI:10.3389/fonc.2023.1034556
PMID:37035170
原文链接:https://pmc.ncbi.nlm.nih.gov/articles/PMC10080590/
Abstract

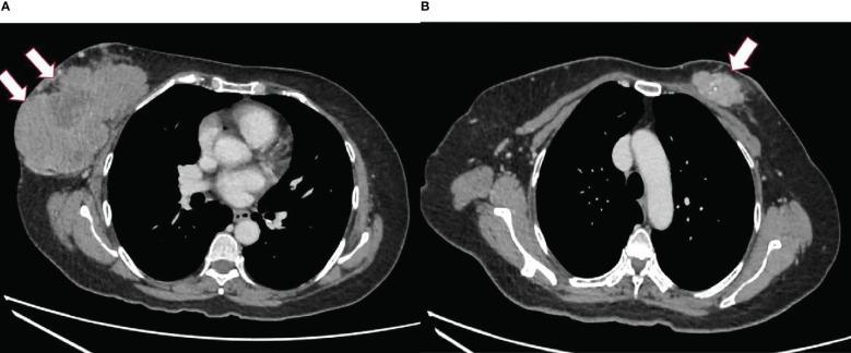
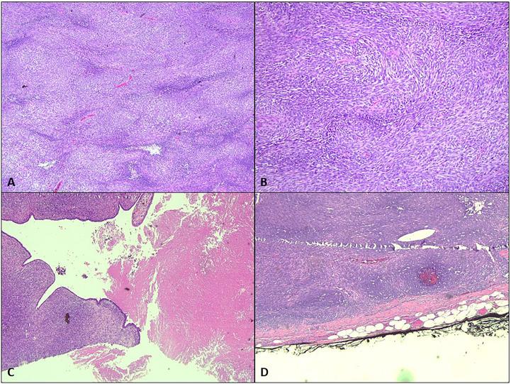
A 57-year-old Malay nullipara initially presented with a right breast lump that was increasing in size but defaulted follow-up. Two years later, she developed a contralateral breast lump. She only returned to the hospital when the right breast lump had become painful, 4 years from its onset. The biopsy of the right breast lump was a phylloides tumor and that of the left breast lump was a carcinoma. She had bilateral palpable axillary lymph nodes. She underwent bilateral mastectomy and axillary dissection. The pathology report confirmed the right breast lesion to be a malignant phylloides and the left breast lesion to be a carcinoma (pT3N2). She declined adjuvant treatment. A year after the surgical operation of the metachronous lesions, she had a right chest wall recurrence with widespread pulmonary metastases. She was given palliative chemotherapy but succumbed several months later.

摘要

一名57岁未育马来女性最初因右乳肿块就诊,肿块逐渐增大,但她未按要求进行随访。两年后,她对侧乳房出现肿块。自右乳肿块出现4年后,当肿块开始疼痛时,她才再次回到医院。右乳肿块活检为叶状肿瘤,左乳肿块活检为癌。她双侧腋窝可触及肿大淋巴结。她接受了双侧乳房切除术及腋窝淋巴结清扫术。病理报告证实右乳病变为恶性叶状肿瘤,左乳病变为癌(pT3N2)。她拒绝辅助治疗。异时性病变手术一年后,她出现右胸壁复发并伴有广泛肺转移。她接受了姑息化疗,但数月后仍去世。

https://cdn.ncbi.nlm.nih.gov/pmc/blobs/71b6/10080590/7d9f30b4ef4e/fonc-13-1034556-g004.jpg
https://cdn.ncbi.nlm.nih.gov/pmc/blobs/71b6/10080590/d017e7da256b/fonc-13-1034556-g001.jpg
https://cdn.ncbi.nlm.nih.gov/pmc/blobs/71b6/10080590/d7ea5c7fa439/fonc-13-1034556-g002.jpg
https://cdn.ncbi.nlm.nih.gov/pmc/blobs/71b6/10080590/ff6512b5593c/fonc-13-1034556-g003.jpg
https://cdn.ncbi.nlm.nih.gov/pmc/blobs/71b6/10080590/7d9f30b4ef4e/fonc-13-1034556-g004.jpg
https://cdn.ncbi.nlm.nih.gov/pmc/blobs/71b6/10080590/d017e7da256b/fonc-13-1034556-g001.jpg
https://cdn.ncbi.nlm.nih.gov/pmc/blobs/71b6/10080590/d7ea5c7fa439/fonc-13-1034556-g002.jpg
https://cdn.ncbi.nlm.nih.gov/pmc/blobs/71b6/10080590/ff6512b5593c/fonc-13-1034556-g003.jpg
https://cdn.ncbi.nlm.nih.gov/pmc/blobs/71b6/10080590/7d9f30b4ef4e/fonc-13-1034556-g004.jpg

相似文献

1
Bilateral metachronous breast malignancies: Malignant phylloides and invasive breast carcinoma-a case report.双侧异时性乳腺恶性肿瘤:恶性叶状肿瘤与浸润性乳腺癌——病例报告
Front Oncol. 2023 Mar 24;13:1034556. doi: 10.3389/fonc.2023.1034556. eCollection 2023.
2
Current and Emerging Therapies for HER2-Positive Women With Metastatic Breast Cancer.HER2阳性转移性乳腺癌女性的当前及新出现的治疗方法
J Adv Pract Oncol. 2017 Mar;8(2):164-168. Epub 2017 Mar 1.
3
Recurrent and transformation of borderline to malignant phyllodes tumour with osteoid differentiation: a case report and literature review.伴有骨样分化的交界性至恶性叶状肿瘤的复发与转变:一例报告及文献综述
Front Oncol. 2024 Jun 20;14:1377074. doi: 10.3389/fonc.2024.1377074. eCollection 2024.
4
Metachronous secondary primary occult breast cancer initially presenting with metastases to the contralateral axillary lymph nodes: report of a case.同时性双侧隐匿性乳腺癌初始表现为对侧腋窝淋巴结转移:病例报告。
Breast Cancer. 2010;17(1):71-4. doi: 10.1007/s12282-009-0097-9. Epub 2009 Mar 4.
5
Change of Pathological Type to Metaplastic Squamous Cell Carcinoma of the Breast During Disease Recurrence: Case Report and Literature Review.疾病复发时乳腺病理类型转变为化生性鳞状细胞癌:病例报告及文献复习
Front Oncol. 2020 Feb 25;10:32. doi: 10.3389/fonc.2020.00032. eCollection 2020.
6
Bilateral synchronous male breast cancer.双侧同步男性乳腺癌。
Saudi Med J. 2015 Mar;36(3):359-62. doi: 10.15537/smj.2015.3.10109.
7
Diagnostic radiation oncology: malignant cystosarcoma phylloides.诊断性放射肿瘤学:恶性叶状囊肉瘤
Strahlenther Onkol. 2000 Apr;176(4):192-5. doi: 10.1007/s000660050056.
8
Bilateral invasive ductal carcinoma of the breast; a case report with literature review.双侧乳腺浸润性导管癌;一例病例报告并文献复习
Ann Med Surg (Lond). 2022 May 10;78:103743. doi: 10.1016/j.amsu.2022.103743. eCollection 2022 Jun.
9
Recurrent radiation-associated leiomyosarcoma after postoperative radiotherapy for breast invasive ductal carcinoma: a case report and literature review.术后放疗后复发性放射性相关平滑肌肉瘤:病例报告及文献复习。
Ann Palliat Med. 2021 Jul;10(7):8467-8473. doi: 10.21037/apm-20-2561. Epub 2021 May 19.
10
Treatment of Pregnancy-Associated Breast Cancer.妊娠相关乳腺癌的治疗
J Adv Pract Oncol. 2019 Sep-Oct;10(7):692-700. doi: 10.6004/jadpro.2019.10.7.5. Epub 2019 Sep 1.

本文引用的文献

1
Influence of cultural practices on breast cancer risks, stage at presentation and outcome in a multi-ethnic developing country.文化习俗对一个多民族发展中国家乳腺癌风险、就诊时分期及预后的影响。
Oncol Lett. 2021 Nov;22(5):806. doi: 10.3892/ol.2021.13067. Epub 2021 Sep 23.
2
Outcomes of systemic therapy in metastatic phyllodes tumor of the breast.乳腺叶状肿瘤转移系统治疗的结果。
Breast Cancer Res Treat. 2021 Apr;186(3):871-882. doi: 10.1007/s10549-021-06116-8. Epub 2021 Feb 11.
3
Phyllodes tumors of the breast. The treatment results for 340 patients from a single cancer centre.
乳腺叶状肿瘤。单中心 340 例患者的治疗结果。
Breast. 2019 Feb;43:85-90. doi: 10.1016/j.breast.2018.11.009. Epub 2018 Nov 26.
4
Invasive Ductal Carcinoma within a Benign Phyllodes Tumor.良性叶状肿瘤内的浸润性导管癌。
Am J Case Rep. 2017 Jul 20;18:813-816. doi: 10.12659/ajcr.903774.
5
Coexistence of malignant phyllodes tumor and her2-positive locally advanced breast cancer in distinct breasts: A case report.不同乳房中恶性叶状肿瘤与HER2阳性局部晚期乳腺癌并存:一例报告
Int J Surg Case Rep. 2016;19:163-7. doi: 10.1016/j.ijscr.2015.12.043. Epub 2016 Jan 6.
6
Optimisation of breast cancer management in low-resource and middle-resource countries: executive summary of the Breast Health Global Initiative consensus, 2010.优化中低收入国家乳腺癌管理:2010 年乳腺健康全球倡议共识执行摘要。
Lancet Oncol. 2011 Apr;12(4):387-98. doi: 10.1016/S1470-2045(11)70031-6.
7
Infiltrating ductal carcinoma and synchronous malignant phyllodes tumour. Diagnostic and therapeutic approaches.浸润性导管癌与同期恶性叶状肿瘤。诊断与治疗方法。
Clin Transl Oncol. 2006 Nov;8(11):830-2. doi: 10.1007/s12094-006-0140-7.
8
Phyllodes tumors of the breast: the role of pathologic parameters.乳腺叶状肿瘤:病理参数的作用
Am J Clin Pathol. 2005 Apr;123(4):529-40. doi: 10.1309/U6DV-BFM8-1MLJ-C1FN.
9
Primary treatment of cystosarcoma phyllodes of the breast.乳腺叶状囊肉瘤的主要治疗方法。
Cancer. 2000 Oct 1;89(7):1502-11. doi: 10.1002/1097-0142(20001001)89:7<1502::aid-cncr13>3.0.co;2-p.
10
Malignant phyllodes tumor in the right breast and invasive lobular carcinoma within fibroadenoma in the other: case report.右乳恶性叶状肿瘤伴对侧纤维腺瘤内浸润性小叶癌:病例报告
Sao Paulo Med J. 2000 Mar 2;118(2):46-8. doi: 10.1590/s1516-31802000000200004.