Suppr超能文献

对疑似心脏或肺部原因引起急性呼吸困难的患者进行影像学检查。

Imaging in patients with acute dyspnea when cardiac or pulmonary origin is suspected.

作者信息

Milos Ruxandra-Iulia, Bartha Carmen, Röhrich Sebastian, Heidinger Benedikt H, Prayer Florian, Beer Lucian, Wassipaul Christian, Kifjak Daria, Watzenboeck Martin L, Pochepnia Svitlana, Prosch Helmut

机构信息

Department of Biomedical Imaging and Image-guided Therapy, Medical University of Vienna, Vienna, Austria.

Service des Urgences, CHC MontLegia, Liége, Belgium.

出版信息

BJR Open. 2023 Feb 2;5(1):20220026. doi: 10.1259/bjro.20220026. eCollection 2023.

Abstract

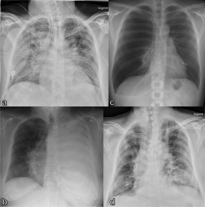
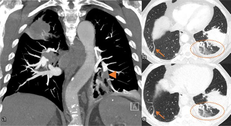
A wide spectrum of conditions, from life-threatening to non-urgent, can manifest with acute dyspnea, thus presenting major challenges for the treating physician when establishing the diagnosis and severity of the underlying disease. Imaging plays a decisive role in the assessment of acute dyspnea of cardiac and/or pulmonary origin. This article presents an overview of the current imaging modalities used to narrow the differential diagnosis in the assessment of acute dyspnea of cardiac or pulmonary origin. The current indications, findings, accuracy, and limits of each imaging modality are reported. Chest radiography is usually the primary imaging modality applied. There is a low radiation dose associated with this method, and it can assess the presence of fluid in the lung or pleura, consolidations, hyperinflation, pneumothorax, as well as heart enlargement. However, its low sensitivity limits the ability of the chest radiograph to accurately identify the causes of acute dyspnea. CT provides more detailed imaging of the cardiorespiratory system, and therefore, better sensitivity and specificity results, but it is accompanied by higher radiation exposure. Ultrasonography has the advantage of using no radiation, and is fast and feasible as a bedside test and appropriate for the assessment of unstable patients. However, patient-specific factors, such as body habitus, may limit its image quality and interpretability. Advances in knowledge This review provides guidance to the appropriate choice of imaging modalities in the diagnosis of patients with dyspnea of cardiac or pulmonary origin.

摘要

从危及生命到非紧急情况,多种病症都可能表现为急性呼吸困难,因此在确定潜在疾病的诊断和严重程度时,给主治医生带来了重大挑战。影像学在评估心脏和/或肺部源性急性呼吸困难中起着决定性作用。本文概述了目前用于缩小心脏或肺部源性急性呼吸困难评估中鉴别诊断范围的影像学检查方法。报告了每种影像学检查方法的当前适应症、检查结果、准确性和局限性。胸部X线摄影通常是应用的主要影像学检查方法。该方法辐射剂量低,可评估肺或胸膜内液体的存在、实变、肺过度充气、气胸以及心脏增大情况。然而,其低敏感性限制了胸部X线片准确识别急性呼吸困难病因的能力。CT能提供更详细的心肺系统影像,因此敏感性和特异性结果更好,但辐射暴露更高。超声检查的优点是不使用辐射,作为床边检查快速可行,适用于评估不稳定患者。然而,患者的个体因素,如体型,可能会限制其图像质量和可解释性。知识进展 本综述为心脏或肺部源性呼吸困难患者诊断中影像学检查方法的合理选择提供了指导。

https://cdn.ncbi.nlm.nih.gov/pmc/blobs/d570/10077421/675b1a2a442c/bjro.20220026.g001.jpg

文献AI研究员

20分钟写一篇综述,助力文献阅读效率提升50倍。

立即体验

用中文搜PubMed

大模型驱动的PubMed中文搜索引擎

马上搜索

文档翻译

学术文献翻译模型,支持多种主流文档格式。

立即体验