School of Medicine, Southern University of Science and Technology, Shenzhen, Guangdong, China.
Senior Department of Cardiology, The Sixth Medical Center of People's Liberation Army General Hospital, Beijing, China.
Int J Biol Sci. 2023 Feb 21;19(5):1369-1381. doi: 10.7150/ijbs.80800. eCollection 2023.
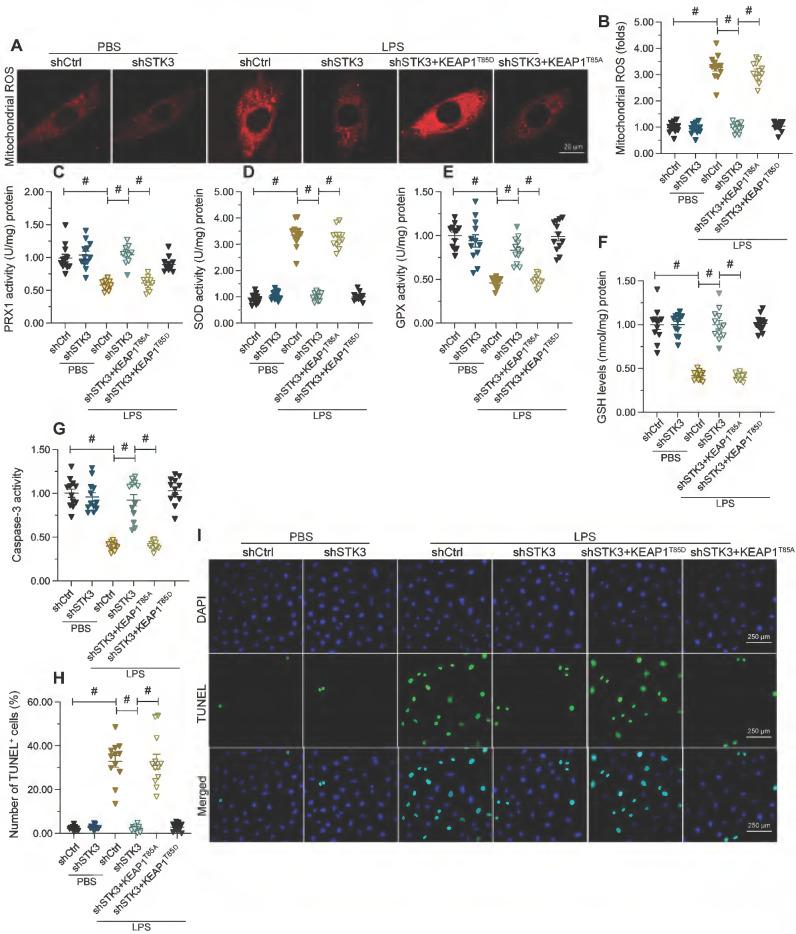
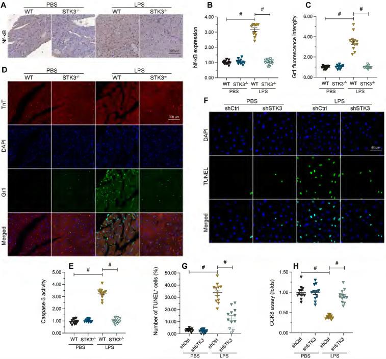
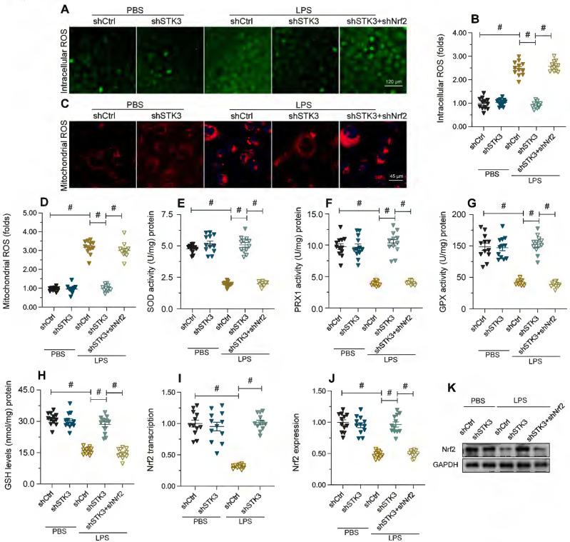
Serine/threonine kinases (STK3) is a core component of the Hippo pathway and modulates oxidative stress and inflammatory responses in cardiovascular diseases. However, its potential role in septic cardiomyopathy remains undefined. STK3-mediated phosphorylation of Kelch-like ECH-associated protein 1 (KEAP1) was shown to suppress antioxidant gene transcription controlled by nuclear factor erythroid 2-related factor 2 (Nrf2) in macrophages. To explore whether STK3 induces KEAP1-mediated suppression of Nrf2 in septic cardiomyopathy, wild-type and global STK3 knockout (STK3 ) mice were treated with LPS. LPS treatment upregulated cardiac STK3 expression. STK3 deletion attenuated myocardial inflammation and cardiomyocyte death, and improved myocardial structure and function. In LPS-challenged HL-1 cardiomyocytes, shRNA-mediated STK3 knockdown normalized mitochondrial membrane potential and ATP production, attenuated apoptosis, and rescued antioxidant gene expression by preventing Nrf2 downregulation. Co-IP, docking analysis, western blotting, and immunofluorescence assays further showed that STK3 binds and phosphorylates KEAP1, promoting Nrf2 downregulation. Accordingly, transfection of phosphodefective KEAP1 mutant protein in cardiomyocyte restored Nrf2 expression and mitochondrial performance upon LPS, while expression of a phosphomimetic KEAP1 mutant abolished the mitochondria-protective and pro-survival effects of STK3 deletion. These findings suggest that STK3 upregulation contributes to septic cardiomyopathy by phosphorylating KEAP1 to promote Nrf2 degradation and suppression of the antioxidant response.
丝氨酸/苏氨酸激酶(STK3)是 Hippo 通路的核心组成部分,可调节心血管疾病中的氧化应激和炎症反应。然而,其在脓毒症性心肌病中的潜在作用尚未确定。STK3 介导的 Kelch 样 ECH 相关蛋白 1(KEAP1)磷酸化被证明可抑制巨噬细胞中核因子红细胞 2 相关因子 2(Nrf2)控制的抗氧化基因转录。为了探讨 STK3 是否在脓毒症性心肌病中诱导 KEAP1 介导的 Nrf2 抑制,用 LPS 处理野生型和全局 STK3 敲除(STK3 )小鼠。LPS 处理上调了心脏 STK3 的表达。STK3 缺失减弱了心肌炎症和心肌细胞死亡,并改善了心肌结构和功能。在 LPS 挑战的 HL-1 心肌细胞中,shRNA 介导的 STK3 敲低可使线粒体膜电位和 ATP 产生正常化,减弱细胞凋亡,并通过防止 Nrf2 下调来恢复抗氧化基因表达。免疫共沉淀、对接分析、Western blot 和免疫荧光分析进一步表明,STK3 结合并磷酸化 KEAP1,促进 Nrf2 下调。因此,在心肌细胞中转染磷酸化缺陷的 KEAP1 突变蛋白可在 LPS 作用下恢复 Nrf2 表达和线粒体功能,而表达磷酸化模拟的 KEAP1 突变体则消除了 STK3 缺失的线粒体保护和生存促进作用。这些发现表明,STK3 的上调通过磷酸化 KEAP1 促进 Nrf2 降解和抑制抗氧化反应,导致脓毒症性心肌病的发生。