Suppr超能文献

大视野 MRI T1w 和 FLAIR 模板 - NMRI225。

Big Field of View MRI T1w and FLAIR Template - NMRI225.

机构信息

Clinic for Neurology, University Medical Center Göttingen, Göttingen, Germany.

Department of Neurology and Epileptology, Hertie Institute of Clinical Brain Research, University of Tübingen, Tübingen, Germany.

出版信息

Sci Data. 2023 Apr 14;10(1):211. doi: 10.1038/s41597-023-02087-1.

Abstract

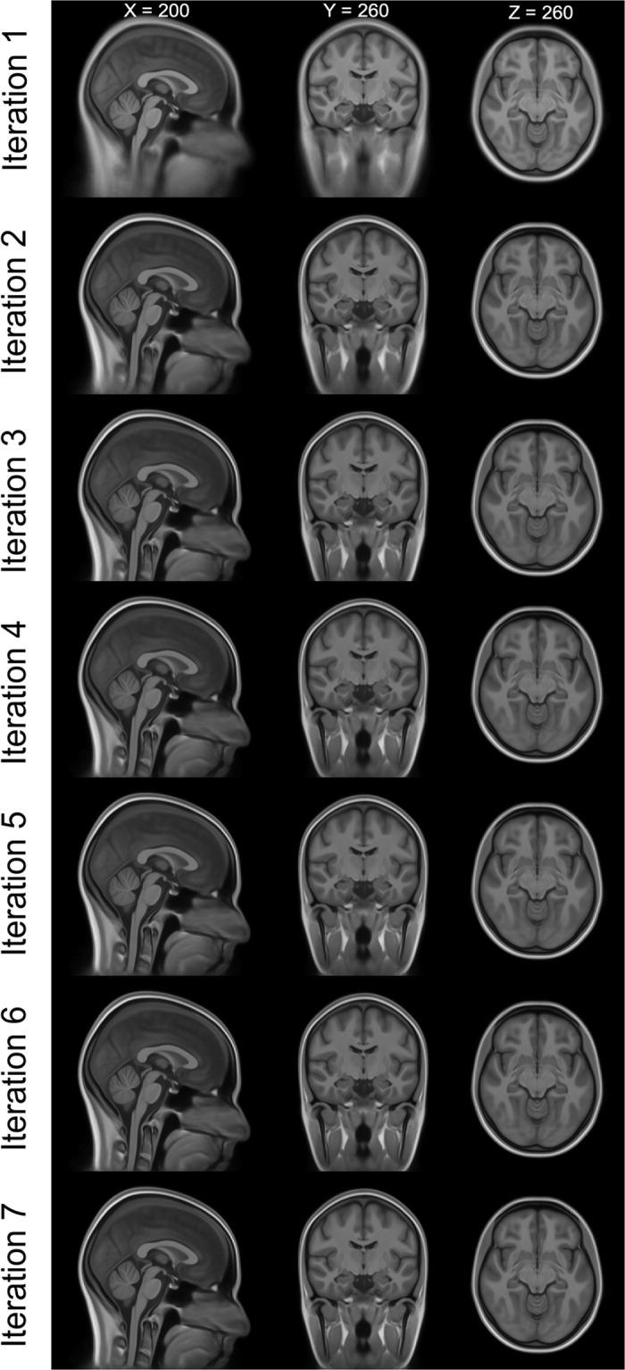
Image templates are a common tool for neuroscience research. Often, they are used for spatial normalization of magnetic resonance imaging (MRI) data, which is a necessary procedure for analyzing brain morphology and function via voxel-based analysis. This allows the researcher to reduce individual shape differences across images and make inferences across multiple subjects. Many templates have a small field-of-view typically focussed on the brain, limiting the use for applications requiring detailed information about other extra-cranial structures in the head and neck area. However, there are several applications where such information is important, for example source reconstruction of electroencephalography (EEG) and/or magnetoencephalography (MEG). We have constructed a new template based on 225 T1w and FLAIR images with a big field-of-view that can serve both as target for across subject spatial normalization as well as a basis to build high-resolution head models. This template is based on and iteratively re-registered to the MNI152 space to provide maximal compatibility with the most commonly used brain MRI template.

摘要

图像模板是神经科学研究中常用的工具。它们通常用于磁共振成像 (MRI) 数据的空间标准化,这是通过体素分析分析大脑形态和功能的必要步骤。这允许研究人员减少图像之间的个体形状差异,并在多个对象之间进行推断。许多模板的视野较小,通常集中在大脑上,限制了在需要有关头部和颈部区域其他颅外结构的详细信息的应用中使用。但是,有几个应用程序非常需要此类信息,例如脑电图 (EEG) 和/或脑磁图 (MEG) 的源重建。我们构建了一个新的模板,基于具有大视野的 225 个 T1w 和 FLAIR 图像,它既可以作为跨主题空间标准化的目标,也可以作为构建高分辨率头部模型的基础。该模板基于并迭代地重新注册到 MNI152 空间,以与最常用的脑 MRI 模板提供最大的兼容性。

https://cdn.ncbi.nlm.nih.gov/pmc/blobs/4722/10104864/aaf737bf1c3f/41597_2023_2087_Fig1_HTML.jpg

文献AI研究员

20分钟写一篇综述,助力文献阅读效率提升50倍。

立即体验

用中文搜PubMed

大模型驱动的PubMed中文搜索引擎

马上搜索

文档翻译

学术文献翻译模型,支持多种主流文档格式。

立即体验