• 文献检索
  • 文档翻译
  • 深度研究
  • 学术资讯
  • Suppr Zotero 插件Zotero 插件
  • 邀请有礼
  • 套餐&价格
  • 历史记录
应用&插件
Suppr Zotero 插件Zotero 插件浏览器插件Mac 客户端Windows 客户端微信小程序
定价
高级版会员购买积分包购买API积分包
服务
文献检索文档翻译深度研究API 文档MCP 服务
关于我们
关于 Suppr公司介绍联系我们用户协议隐私条款
关注我们

Suppr 超能文献

核心技术专利:CN118964589B侵权必究
粤ICP备2023148730 号-1Suppr @ 2026

文献检索

告别复杂PubMed语法,用中文像聊天一样搜索,搜遍4000万医学文献。AI智能推荐,让科研检索更轻松。

立即免费搜索

文件翻译

保留排版,准确专业,支持PDF/Word/PPT等文件格式,支持 12+语言互译。

免费翻译文档

深度研究

AI帮你快速写综述,25分钟生成高质量综述,智能提取关键信息,辅助科研写作。

立即免费体验

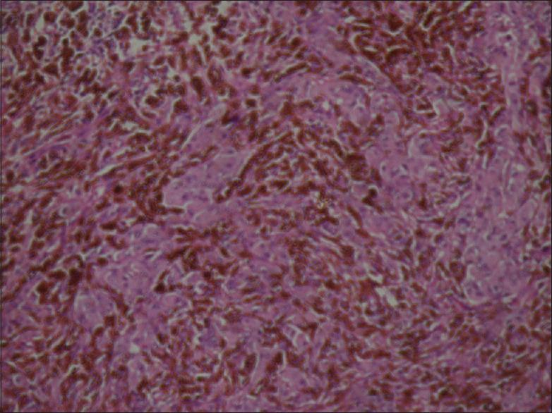
牙龈恶性黑色素瘤:病例报告及文献综述

Malignant melanoma of gingiva: Case report and review of the literature.

作者信息

Sinha Pooja, Jayaswal Amrita, Sinha Abhishek, Jaiswal Rohit

机构信息

Department of Public Health Dentistry, Sardar Patel Post Graduate Institute of Dental and Medical Sciences, Lucknow, Uttar Pradesh, India.

Prosthodontics and Crown & Bridge, Sardar Patel Post Graduate Institute of Dental and Medical Sciences, Lucknow, Uttar Pradesh, India.

出版信息

J Oral Maxillofac Pathol. 2022 Oct-Dec;26(4):568-571. doi: 10.4103/jomfp.jomfp_73_22. Epub 2022 Dec 22.

DOI:10.4103/jomfp.jomfp_73_22
PMID:37082064
原文链接:https://pmc.ncbi.nlm.nih.gov/articles/PMC10112071/
Abstract

Mucosal malignant melanoma arising from the head and neck region is a rare entity, and it is more aggressive than cutaneous melanoma. Furthermore, the complexity of the oral cavity makes surgical excision more difficult. Oral malignant melanoma is a rare tumour of melanocytic origin, accounting for 20-30% of malignant melanomas at the mucosal surface and 16% intra-orally. Hard palate and maxillary gingiva are the most common involved sites. The age of reported patients ranges from 20 years to 80 years. Hence, we do hereby present a case of malignant melanoma of mandibular gingiva with review of the literature in a 42-year-old female patient.

摘要

头颈部黏膜恶性黑色素瘤是一种罕见的疾病,且比皮肤恶性黑色素瘤更具侵袭性。此外,口腔的复杂性使得手术切除更加困难。口腔恶性黑色素瘤是一种罕见的黑素细胞起源肿瘤,占黏膜表面恶性黑色素瘤的20%-30%,口腔内占16%。硬腭和上颌牙龈是最常受累的部位。报告患者的年龄范围为20岁至80岁。因此,我们在此报告一例42岁女性下颌牙龈恶性黑色素瘤病例,并复习相关文献。

https://cdn.ncbi.nlm.nih.gov/pmc/blobs/d28c/10112071/0c1694f449fa/JOMFP-26-568-g008.jpg
https://cdn.ncbi.nlm.nih.gov/pmc/blobs/d28c/10112071/a8dfcc37ed9f/JOMFP-26-568-g001.jpg
https://cdn.ncbi.nlm.nih.gov/pmc/blobs/d28c/10112071/17bbf8e74929/JOMFP-26-568-g002.jpg
https://cdn.ncbi.nlm.nih.gov/pmc/blobs/d28c/10112071/09d132fa7b7c/JOMFP-26-568-g003.jpg
https://cdn.ncbi.nlm.nih.gov/pmc/blobs/d28c/10112071/c245c404cdf5/JOMFP-26-568-g004.jpg
https://cdn.ncbi.nlm.nih.gov/pmc/blobs/d28c/10112071/33144970ee27/JOMFP-26-568-g005.jpg
https://cdn.ncbi.nlm.nih.gov/pmc/blobs/d28c/10112071/83ff5addfc71/JOMFP-26-568-g006.jpg
https://cdn.ncbi.nlm.nih.gov/pmc/blobs/d28c/10112071/b2dcdabda24e/JOMFP-26-568-g007.jpg
https://cdn.ncbi.nlm.nih.gov/pmc/blobs/d28c/10112071/0c1694f449fa/JOMFP-26-568-g008.jpg
https://cdn.ncbi.nlm.nih.gov/pmc/blobs/d28c/10112071/a8dfcc37ed9f/JOMFP-26-568-g001.jpg
https://cdn.ncbi.nlm.nih.gov/pmc/blobs/d28c/10112071/17bbf8e74929/JOMFP-26-568-g002.jpg
https://cdn.ncbi.nlm.nih.gov/pmc/blobs/d28c/10112071/09d132fa7b7c/JOMFP-26-568-g003.jpg
https://cdn.ncbi.nlm.nih.gov/pmc/blobs/d28c/10112071/c245c404cdf5/JOMFP-26-568-g004.jpg
https://cdn.ncbi.nlm.nih.gov/pmc/blobs/d28c/10112071/33144970ee27/JOMFP-26-568-g005.jpg
https://cdn.ncbi.nlm.nih.gov/pmc/blobs/d28c/10112071/83ff5addfc71/JOMFP-26-568-g006.jpg
https://cdn.ncbi.nlm.nih.gov/pmc/blobs/d28c/10112071/b2dcdabda24e/JOMFP-26-568-g007.jpg
https://cdn.ncbi.nlm.nih.gov/pmc/blobs/d28c/10112071/0c1694f449fa/JOMFP-26-568-g008.jpg

相似文献

1
Malignant melanoma of gingiva: Case report and review of the literature.牙龈恶性黑色素瘤:病例报告及文献综述
J Oral Maxillofac Pathol. 2022 Oct-Dec;26(4):568-571. doi: 10.4103/jomfp.jomfp_73_22. Epub 2022 Dec 22.
2
Primary malignant melanoma of the maxillary gingiva.上颌牙龈原发性恶性黑色素瘤。
Dermatol Surg. 2003 Mar;29(3):304-7. doi: 10.1046/j.1524-4725.2003.29068.x.
3
Primary malignant melanoma of oral cavity: A report of three rare cases.口腔原发性恶性黑色素瘤:三例罕见病例报告。
Contemp Clin Dent. 2016 Jan-Mar;7(1):87-9. doi: 10.4103/0976-237X.177094.
4
Malignant melanoma of gingiva: Report of a rare case.牙龈恶性黑色素瘤:1例罕见病例报告。
Indian J Dent. 2015 Jul-Sep;6(3):161-4. doi: 10.4103/0975-962X.163052.
5
A Rare and Extensive Case of Oral Malignant Melanoma involving Mandibular Gingiva.一例累及下颌牙龈的罕见广泛性口腔恶性黑色素瘤病例。
J Clin Diagn Res. 2016 Feb;10(2):ZD11-2. doi: 10.7860/JCDR/2016/17423.7320. Epub 2016 Feb 1.
6
Oral mucosal melanoma of the mandibular gingiva: a case report.下颌牙龈口腔黏膜黑色素瘤:一例报告
Cutis. 2010 Aug;86(2):89-93.
7
Rare and Extensive Malignant Melanoma of the Oral Cavity: Report of Two Cases.口腔罕见广泛性恶性黑色素瘤:两例报告
J Dent (Shiraz). 2017 Sep;18(3):227-233.
8
Primary oral malignant melanoma--a case report and review of the literature.原发性口腔恶性黑色素瘤——病例报告及文献综述
Quintessence Int. 2009 Jan;40(1):41-46. doi: 10.3290/j.qi.a14113.
9
[Malignant melanoma of the mandibular gingiva].[下颌牙龈恶性黑色素瘤]
Rev Laryngol Otol Rhinol (Bord). 2014;135(4-5):207-9.
10
Primary malignant melanoma of maxillary gingiva.上颌牙龈原发性恶性黑色素瘤。
Indian J Surg. 2014 Jun;76(3):241-2. doi: 10.1007/s12262-013-0982-5. Epub 2013 Sep 25.

本文引用的文献

1
The pathology of melanoma.黑色素瘤的病理学。
Dermatol Clin. 2012 Jul;30(3):445-68. doi: 10.1016/j.det.2012.04.007. Epub 2012 Jun 13.
2
Malignant melanoma of the oral cavity.口腔恶性黑色素瘤
Indian J Dent Res. 2006 Apr-Jun;17(2):94-6. doi: 10.4103/0970-9290.29882.
3
Malignant melanoma in the oral region: ultrastructural and immunohistochemical studies.
Med Electron Microsc. 2001 Sep;34(3):198-205. doi: 10.1007/s007950100016.
4
Oral mucosal melanoma: epidemiology and pathobiology.口腔黏膜黑色素瘤:流行病学与病理生物学
Oral Oncol. 2000 Mar;36(2):152-69. doi: 10.1016/s1368-8375(99)00085-8.
5
Primary malignant melanoma of the oral cavity. Report of an unusual case.口腔原发性恶性黑色素瘤。1例罕见病例报告。
Aust Dent J. 1998 Dec;43(6):379-81.
6
Oral melanoma: diagnosis and treatment.
Semin Cutan Med Surg. 1997 Dec;16(4):320-2. doi: 10.1016/s1085-5629(97)80023-5.
7
[Melanoma of the oral cavity. Review of the literature].[口腔黑色素瘤。文献综述]
Minerva Stomatol. 1997 Jun;46(6):329-35.
8
Primary malignant melanoma of the oral cavity. A review of 177 cases.
Cancer. 1985 Apr 1;55(7):1543-51. doi: 10.1002/1097-0142(19850401)55:7<1543::aid-cncr2820550722>3.0.co;2-f.
9
Primary malignant melanoma of the oral cavity.
Oral Surg Oral Med Oral Pathol. 1975 Apr;39(4):553-9. doi: 10.1016/0030-4220(75)90194-2.