Suppr超能文献

相似文献

1
A Novel Approach for the Treatment of Pulmonary Artery Aneurysm Repair Using Inclusion Technique: A Case Report.
Cureus. 2023 Mar 21;15(3):e36456. doi: 10.7759/cureus.36456. eCollection 2023 Mar.
2
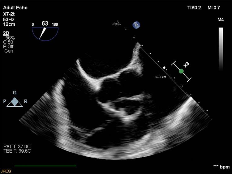
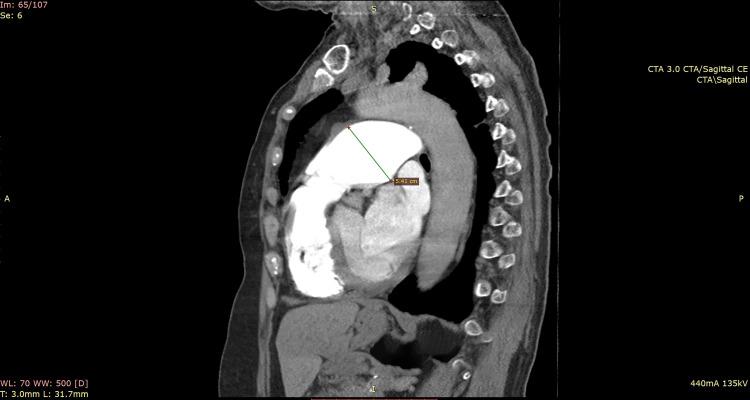
Right ventricle outflow tract dilatation and pulmonary artery aneurysm, rare cardiac conditions.
Radiol Case Rep. 2022 Aug 1;17(10):3655-3658. doi: 10.1016/j.radcr.2022.07.003. eCollection 2022 Oct.
3
Symptomatic idiopathic pulmonary artery aneurysm: a case report and a mini-review of the literature.
Am J Cardiovasc Dis. 2024 Aug 25;14(4):230-235. doi: 10.62347/DBOS5122. eCollection 2024.
4
Management of Giant Pulmonary Artery Aneurysm with Quadricuspid Valve Stenosis.
Int J Angiol. 2021 Aug 31;32(4):312-315. doi: 10.1055/s-0041-1732435. eCollection 2023 Dec.
5
[Idiopathic Pulmonary Artery Aneurysm].
Kyobu Geka. 2018 Dec;71(13):1088-1091.
7
[Idiopathic aneurysm of the pulmonary artery].
Vnitr Lek. 2003 Mar;49(3):244-7.
8
Improvement of lung function and pulmonary hypertension after pulmonary aneurysm repair: case series.
Pulm Circ. 2019 Jan-Mar;9(1):2045894019831217. doi: 10.1177/2045894019831217.
9
A Case of Preoperative Diagnosis of Pulmonary Artery Aneurysm Resected by Segmentectomy.
Cureus. 2024 Mar 26;16(3):e56984. doi: 10.7759/cureus.56984. eCollection 2024 Mar.
10
David's procedure for pulmonary artery aneurysm.
J Card Surg. 2020 Apr;35(4):942-945. doi: 10.1111/jocs.14480. Epub 2020 Feb 28.

引用本文的文献

1
Percutaneous Closure of Bilateral Pulmonary Artery Aneurysms in Behcet's Disease.
JACC Case Rep. 2024 Apr 18;29(11):102341. doi: 10.1016/j.jaccas.2024.102341. eCollection 2024 Jun 5.
2
Case Report: Surgical management of idiopathic pulmonary aneurysms and review surgical approaches.
Front Cardiovasc Med. 2023 Dec 20;10:1331982. doi: 10.3389/fcvm.2023.1331982. eCollection 2023.

本文引用的文献

2
Pulmonary artery aneurysm: a review.
Pulm Circ. 2020 Feb 28;10(1):2045894020908780. doi: 10.1177/2045894020908780. eCollection 2020 Jan-Mar.
3
David's procedure for pulmonary artery aneurysm.
J Card Surg. 2020 Apr;35(4):942-945. doi: 10.1111/jocs.14480. Epub 2020 Feb 28.
4
Pulmonary artery aneurysms: diagnosis & endovascular therapy.
Cardiovasc Diagn Ther. 2018 Jun;8(3):350-361. doi: 10.21037/cdt.2018.04.01.
5
Aneurysm of the Pulmonary Artery, a Systematic Review and Critical Analysis of Current Literature.
Congenit Heart Dis. 2016 Mar-Apr;11(2):102-9. doi: 10.1111/chd.12316. Epub 2015 Nov 11.
6
Aneurysms of the pulmonary artery.
Circulation. 2015 Jan 20;131(3):310-6. doi: 10.1161/CIRCULATIONAHA.114.012907.
7
Definitions and diagnosis of pulmonary hypertension.
J Am Coll Cardiol. 2013 Dec 24;62(25 Suppl):D42-50. doi: 10.1016/j.jacc.2013.10.032.
8
Giant pulmonary artery aneurysm in a patient with vasoreactive pulmonary hypertension: a case report.
BMC Cardiovasc Disord. 2011 Oct 21;11:64. doi: 10.1186/1471-2261-11-64.
10
Aneurysm of the pulmonary artery; review of the literature and report of a case.
Am Heart J. 1947 Oct;34(4):471-99. doi: 10.1016/0002-8703(47)90527-9.

文献AI研究员

20分钟写一篇综述,助力文献阅读效率提升50倍。

立即体验

用中文搜PubMed

大模型驱动的PubMed中文搜索引擎

马上搜索

文档翻译

学术文献翻译模型,支持多种主流文档格式。

立即体验