Suppr超能文献

误诊的转移:计算机断层扫描显示辐射诱导的肋骨骨折酷似恶性肿瘤病例报告

Mistaken Metastasis: Radiation-Induced Rib Fracture Mimicking Malignancy on Computerized Tomography Case Report.

作者信息

Esmonde-White Caroline, Palma David, Mutsaers Adam

机构信息

Schulich School of Medicine and Dentistry, London, ON, Canada.

Radiation Oncology, London Health Sciences Center, London, ON, Canada.

出版信息

Case Rep Oncol. 2023 Apr 18;16(1):243-248. doi: 10.1159/000528613. eCollection 2023 Jan-Dec.

Abstract

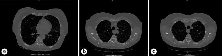
A 62-year-old woman with a 40-pack-year smoking history and severe chronic obstructive pulmonary disease with early-stage right upper lobe non-small cell lung cancer (NSCLC) was treated with stereotactic ablative radiotherapy (SABR). Two years after treatment, a surveillance computerized tomography scan showed lesions of the posterior 4th and 5th ribs including expansion of the medulla that was unusual and of concern for possible malignant infiltration. A follow-up magnetic resonance imaging (MRI) scan revealed these lesions to be healing fractures post-radiotherapy. Although generally well tolerated, SABR is known to produce inflammatory and fibrotic changes both in-field and in organs at risk, and rib fractures are a well-established adverse event. MRI has high diagnostic accuracy and sensitivity for rib fractures and was able to rule out malignant spread. This case demonstrates the need for regular follow-up following SABR for early-stage NSCLC, as well as the challenge of interpreting indeterminate post-SABR radiography findings.

摘要

一名62岁女性,有40年的吸烟史,患有严重的慢性阻塞性肺疾病,同时患有早期右肺上叶非小细胞肺癌(NSCLC),接受了立体定向消融放疗(SABR)。治疗两年后,一次监测计算机断层扫描显示第4和第5后肋有病变,包括髓质扩张,这种情况不常见,且担心可能存在恶性浸润。后续的磁共振成像(MRI)扫描显示这些病变为放疗后的愈合性骨折。尽管SABR通常耐受性良好,但已知其会在照射野内和危及器官中产生炎症和纤维化改变,肋骨骨折是一种公认的不良事件。MRI对肋骨骨折具有较高的诊断准确性和敏感性,能够排除恶性扩散。该病例表明,对于早期NSCLC患者,SABR治疗后需要定期随访,同时也说明了解读SABR后不确定的影像学检查结果所面临的挑战。

https://cdn.ncbi.nlm.nih.gov/pmc/blobs/e204/10114023/3f3757b634e2/cro-2023-0016-0001-528613_F01.jpg

文献AI研究员

20分钟写一篇综述,助力文献阅读效率提升50倍。

立即体验

用中文搜PubMed

大模型驱动的PubMed中文搜索引擎

马上搜索

文档翻译

学术文献翻译模型,支持多种主流文档格式。

立即体验