Suppr超能文献

2006年至2016年期间泰国-缅甸边境地区野外分离株的遗传多样性

Genetic Diversity of Field Isolates from the Thai-Myanmar Border during the Period of 2006-2016.

作者信息

Jalei Abdifatah Abdullahi, Chaijaroenkul Wanna, Na-Bangchang Kesara

机构信息

Chulabhorn International College of Medicine, Rangsit Campus, Thammasat University, Pathum Thani 12121, Thailand.

Drug Discovery and Development Center, Rangsit Campus, Thammasat University, Pathum Thani 12121, Thailand.

出版信息

Trop Med Infect Dis. 2023 Mar 31;8(4):210. doi: 10.3390/tropicalmed8040210.

Abstract

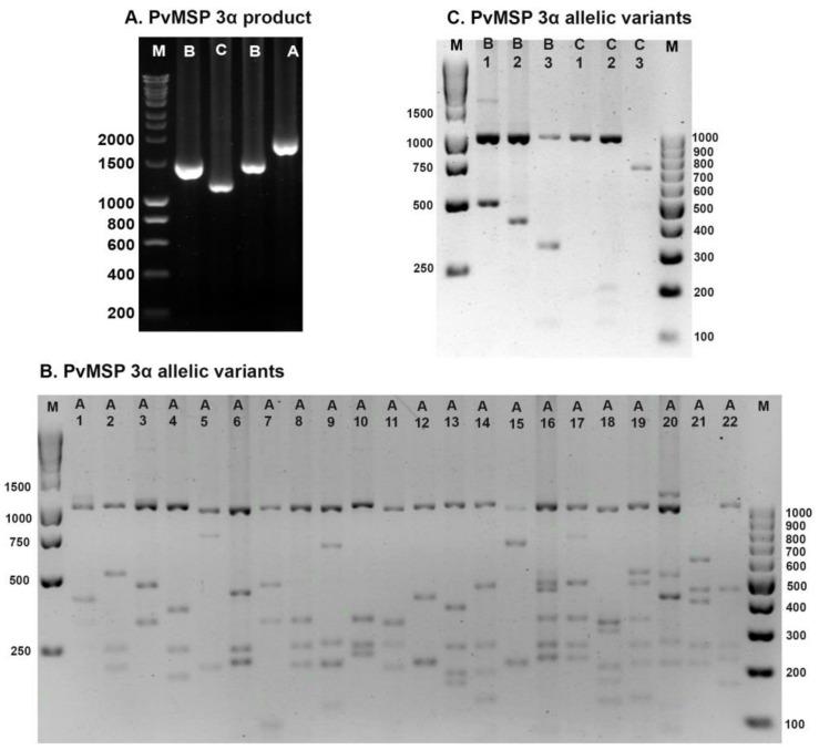
High levels of genetic variants of have previously been reported in Thailand. Circumsporozoite surface protein (CSP), merozoite surface protein (MSP), and microsatellite markers were used to determine the genetic polymorphisms of . This study aimed to investigate the molecular epidemiology of populations at the Thai-Myanmar border by genotyping the , , and genes. Four hundred and forty clinical isolates were collected from the Mae Sot and Sai Yok districts from 2006-2007 and 2014-2016. Polymerase chain reaction with restriction fragment length polymorphism (RFLP) was used to investigate the genetic polymorphisms of the target genes. Based on PCR band size variations, 14 different alleles were identified: eight for VK210 and six for VK247. The VK210 genotype was the dominant variant during both sample collection periods. Based on PCR genotyping, three distinct types (A, B, and C) for both and were observed. Following RFLP, 28 and 14 allelic variants of and 36 and 20 allelic variants of with varying frequencies were identified during the first and second periods, respectively. High genetic variants of and were found in the study area. exhibited a higher level of genetic diversity and multiple-genotype infection versus .

摘要

此前在泰国已报道过高水平的[某种寄生虫]基因变异。环子孢子表面蛋白(CSP)、裂殖子表面蛋白(MSP)和微卫星标记被用于确定[该寄生虫]的基因多态性。本研究旨在通过对[该寄生虫的] [相关基因名称1]、[相关基因名称2]和[相关基因名称3]基因进行基因分型,调查泰缅边境地区[该寄生虫]种群的分子流行病学。2006 - 2007年以及2014 - 2016年期间,从湄索和赛育克地区收集了440份[该寄生虫]临床分离株。采用聚合酶链反应与限制性片段长度多态性(RFLP)技术来研究目标基因的基因多态性。基于PCR条带大小变化,鉴定出14种不同的[该寄生虫]等位基因:VK210有8种,VK247有6种。在两个样本采集期内,VK210基因型均为主要变异型。基于PCR基因分型,观察到[相关基因名称1]和[相关基因名称2]均有三种不同类型(A、B和C)。经RFLP分析,在第一个时期和第二个时期分别鉴定出[相关基因名称1]的28种和14种等位基因变异以及[相关基因名称2]的36种和20种等位基因变异,其频率各不相同。在研究区域发现了[该寄生虫]和[相关基因名称2]的高基因变异。与[相关基因名称2]相比,[该寄生虫]表现出更高水平的遗传多样性和多基因型感染。

https://cdn.ncbi.nlm.nih.gov/pmc/blobs/513a/10143293/993339584035/tropicalmed-08-00210-g001.jpg

相似文献

1
Genetic Diversity of Field Isolates from the Thai-Myanmar Border during the Period of 2006-2016.
Trop Med Infect Dis. 2023 Mar 31;8(4):210. doi: 10.3390/tropicalmed8040210.
6
Genetic Diversity of Plasmodium vivax Merozoite Surface Protein-3 Alpha and Beta from Diverse Geographic Areas of Thailand.
Jpn J Infect Dis. 2022 May 24;75(3):241-248. doi: 10.7883/yoken.JJID.2021.457. Epub 2021 Sep 30.
9
Distinct Allelic Diversity of Merozoite Surface Protein 3-Alpha () Gene in Thailand Using PCR-RFLP.
J Trop Med. 2023 Aug 11;2023:8855171. doi: 10.1155/2023/8855171. eCollection 2023.
10
Genetic diversity of Plasmodium vivax population in Anhui province of China.
Malar J. 2014 Jan 8;13:13. doi: 10.1186/1475-2875-13-13.

引用本文的文献

1
Genetic diversity of and field isolates from Honduras in the malaria elimination phase.
Curr Res Parasitol Vector Borne Dis. 2024 Nov 21;7:100230. doi: 10.1016/j.crpvbd.2024.100230. eCollection 2025.
2
Low Genetic Diversity of Circumsporozoite Surface Protein in Clinical Isolates from Southern Thailand.
Trop Med Infect Dis. 2024 Apr 24;9(5):94. doi: 10.3390/tropicalmed9050094.
3
Host kinase regulation of dormant and replicating liver stages.
bioRxiv. 2023 Nov 13:2023.11.13.566868. doi: 10.1101/2023.11.13.566868.

本文引用的文献

2
Genetic Diversity of Plasmodium vivax Merozoite Surface Protein-3 Alpha and Beta from Diverse Geographic Areas of Thailand.
Jpn J Infect Dis. 2022 May 24;75(3):241-248. doi: 10.7883/yoken.JJID.2021.457. Epub 2021 Sep 30.
6
Genetic diversity and allelic variation in MSP3α gene of paired clinical Plasmodium vivax isolates from Delhi, India.
J Infect Public Health. 2019 Jul-Aug;12(4):576-584. doi: 10.1016/j.jiph.2019.01.068. Epub 2019 Feb 26.
7
Genetic Diversity of Plasmodium vivax Causing Epidemic Malaria in the Republic of Korea.
Korean J Parasitol. 2018 Dec;56(6):545-552. doi: 10.3347/kjp.2018.56.6.545. Epub 2018 Dec 31.
8
Evaluation of Plasmodium vivax isolates in Thailand using polymorphic markers Plasmodium merozoite surface protein (PvMSP) 1 and PvMSP3.
Parasitol Res. 2018 Dec;117(12):3965-3978. doi: 10.1007/s00436-018-6106-1. Epub 2018 Oct 10.
9
What Is Known about the Immune Response Induced by Malaria Vaccine Candidates?
Front Immunol. 2017 Feb 13;8:126. doi: 10.3389/fimmu.2017.00126. eCollection 2017.
10
Plasmodium vivax msp-3α polymorphisms: analysis in the Indian subcontinent.
Malar J. 2016 Sep 23;15(1):492. doi: 10.1186/s12936-016-1524-y.

文献AI研究员

20分钟写一篇综述,助力文献阅读效率提升50倍。

立即体验

用中文搜PubMed

大模型驱动的PubMed中文搜索引擎

马上搜索

文档翻译

学术文献翻译模型,支持多种主流文档格式。

立即体验