Suppr超能文献

阑尾印戒细胞癌的转移性乳腺肿瘤。

A Metastatic Breast Tumor of an Appendiceal Signet Ring Cell Carcinoma.

作者信息

Okumura Kenta, Oura Shoji

机构信息

Department of Surgery, Kishiwada Tokushukai Hospital, Kishiwada-city, Japan.

出版信息

Case Rep Oncol. 2023 Apr 26;16(1):267-272. doi: 10.1159/000529672. eCollection 2023 Jan-Dec.

Abstract

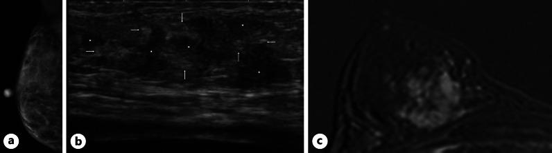
A 54-year-old woman with pseudomyxoma peritonei from an appendiceal signet ring cell carcinoma was referred to our hospital. Right massive effusion with cytology-proven malignant cells was controlled with thoracentesis. Pathological study after intraperitoneal (IP) chemotherapy, hyperthermic IP chemotherapy, and cytoreductive surgery showed no malignant cells in the abdomen except for the appendix and greater omentum. Although the patient noticed a right breast mass, mammography (MMG) showed no abnormality. Ultrasonography showed right breast masses consisting of hypo- and hyper-echoic areas without clear tumor margins. Magnetic resonance imaging (MRI) with contrast medium showed multiple lesions showing persistent enhancement pattern. Pathological study of the vacuum-assisted biopsy specimen showed signet ring cells growing in diffuse, trabecular, and linear fashions, leading to the diagnosis of metastatic breast tumors from the appendiceal signet ring cell carcinoma. Positron emission tomography (PET)/computed tomography (CT) showed no fluorodeoxyglucose uptake in the breasts. The patient was treated with simple mastectomy for local control. Pathological study of the resected breast showed predominant localization of the metastatic breast tumors deep in the mammary gland and lymphovascular invasion. Metastatic breast tumors from appendiceal signet ring cell carcinomas are extremely rare and can sometimes be difficult to detect with MMG and PET/CT. General surgeon should note that appendiceal signet ring cell carcinomas can metastasize to the breast, presumably through lymphatic permeation from malignant pleural effusion, without abnormal MMG and PET/CT findings.

摘要

一名54岁患有阑尾印戒细胞癌所致腹膜假黏液瘤的女性被转诊至我院。经胸腔穿刺术控制了右侧大量伴有细胞学证实恶性细胞的胸腔积液。腹腔内(IP)化疗、热灌注IP化疗及肿瘤细胞减灭术后的病理研究显示,除阑尾和大网膜外,腹部未见恶性细胞。尽管患者发现右侧乳腺有肿块,但乳腺X线摄影(MMG)未显示异常。超声检查显示右侧乳腺肿块由低回声和高回声区域组成,边界不清。增强磁共振成像(MRI)显示多个病灶呈持续强化模式。真空辅助活检标本的病理研究显示印戒细胞呈弥漫、小梁状和线状生长,从而诊断为阑尾印戒细胞癌转移至乳腺。正电子发射断层扫描(PET)/计算机断层扫描(CT)显示乳腺无氟脱氧葡萄糖摄取。患者接受了单纯乳房切除术以控制局部病情。切除乳腺的病理研究显示,转移性乳腺肿瘤主要位于乳腺深部并伴有淋巴管浸润。阑尾印戒细胞癌转移至乳腺极为罕见,有时MMG和PET/CT难以检测到。普通外科医生应注意,阑尾印戒细胞癌可转移至乳腺,推测是通过恶性胸腔积液的淋巴渗透,而MMG和PET/CT检查无异常发现。

https://cdn.ncbi.nlm.nih.gov/pmc/blobs/20de/10134057/250f8d54e54a/cro-2023-0016-0001-529672_F01.jpg

文献检索

告别复杂PubMed语法,用中文像聊天一样搜索,搜遍4000万医学文献。AI智能推荐,让科研检索更轻松。

立即免费搜索

文件翻译

保留排版,准确专业,支持PDF/Word/PPT等文件格式,支持 12+语言互译。

免费翻译文档

深度研究

AI帮你快速写综述,25分钟生成高质量综述,智能提取关键信息,辅助科研写作。

立即免费体验