• 文献检索
  • 文档翻译
  • 深度研究
  • 学术资讯
  • Suppr Zotero 插件Zotero 插件
  • 邀请有礼
  • 套餐&价格
  • 历史记录
应用&插件
Suppr Zotero 插件Zotero 插件浏览器插件Mac 客户端Windows 客户端微信小程序
定价
高级版会员购买积分包购买API积分包
服务
文献检索文档翻译深度研究API 文档MCP 服务
关于我们
关于 Suppr公司介绍联系我们用户协议隐私条款
关注我们

Suppr 超能文献

核心技术专利:CN118964589B侵权必究
粤ICP备2023148730 号-1Suppr @ 2026

文献检索

告别复杂PubMed语法,用中文像聊天一样搜索,搜遍4000万医学文献。AI智能推荐,让科研检索更轻松。

立即免费搜索

文件翻译

保留排版,准确专业,支持PDF/Word/PPT等文件格式,支持 12+语言互译。

免费翻译文档

深度研究

AI帮你快速写综述,25分钟生成高质量综述,智能提取关键信息,辅助科研写作。

立即免费体验

多模态超声诊断甲状腺髓样癌肝转移1例报告

A case report of diagnosis of liver metastasis of medullary thyroid carcinoma by multimodal ultrasound.

作者信息

Xue Jie, Li Xinying, Qu Nina, Wu Zhihui, Wang Guoyun, Chenhuang Zhuonan, Cao Xiaoli

机构信息

Qingdao University Medical College Affiliated Yantai Yuhuangding Hospital, Department of Ultrasound, 20 Yuhuangding East Road, Zhifu District, Yantai City, Shandong Province China, 264000.

School of Medical Imaging, Binzhou Medical University, Shandong, Yantai, 264003, China.

出版信息

Radiol Case Rep. 2023 Apr 19;18(6):2279-2281. doi: 10.1016/j.radcr.2023.03.036. eCollection 2023 Jun.

DOI:10.1016/j.radcr.2023.03.036
PMID:37128255
原文链接:https://pmc.ncbi.nlm.nih.gov/articles/PMC10147952/
Abstract

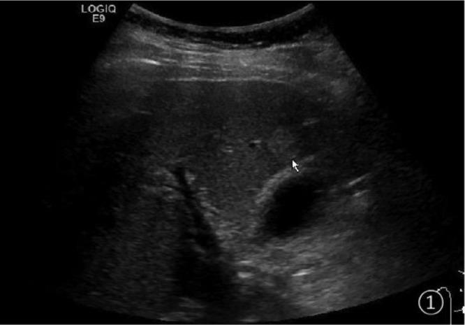
Medullary thyroid carcinoma is a rare malignant neuroendocrine tumor. Distant metastasis is difficult to detect early. It is most common in lung, liver, bone and brain. This case was reported as liver metastasis of medullary thyroid carcinoma in an elderly woman, but routine ultrasound findings were atypical. After a series of relevant imaging examinations, contrast-enhanced ultrasound and ultrasound-guided puncture biopsy were used to confirm the nature of the intrahepatic lesions. Therefore, we believe that multimodal ultrasound is of great value in the diagnosis of liver metastasis of medullary thyroid carcinoma.

摘要

甲状腺髓样癌是一种罕见的恶性神经内分泌肿瘤。远处转移很难早期发现。最常见于肺、肝、骨和脑。本文报道了一例老年女性甲状腺髓样癌肝转移病例,但常规超声表现不典型。经过一系列相关影像学检查后,采用超声造影及超声引导下穿刺活检来明确肝内病变的性质。因此,我们认为多模态超声在甲状腺髓样癌肝转移的诊断中具有重要价值。

https://cdn.ncbi.nlm.nih.gov/pmc/blobs/e17d/10147952/0d42029e91b7/gr5.jpg
https://cdn.ncbi.nlm.nih.gov/pmc/blobs/e17d/10147952/648c4b2d7735/gr1.jpg
https://cdn.ncbi.nlm.nih.gov/pmc/blobs/e17d/10147952/0ec539de4453/gr2.jpg
https://cdn.ncbi.nlm.nih.gov/pmc/blobs/e17d/10147952/9a830e6708e6/gr3a.jpg
https://cdn.ncbi.nlm.nih.gov/pmc/blobs/e17d/10147952/2f8c685bb590/gr3b.jpg
https://cdn.ncbi.nlm.nih.gov/pmc/blobs/e17d/10147952/0d8b102b8327/gr4.jpg
https://cdn.ncbi.nlm.nih.gov/pmc/blobs/e17d/10147952/0d42029e91b7/gr5.jpg
https://cdn.ncbi.nlm.nih.gov/pmc/blobs/e17d/10147952/648c4b2d7735/gr1.jpg
https://cdn.ncbi.nlm.nih.gov/pmc/blobs/e17d/10147952/0ec539de4453/gr2.jpg
https://cdn.ncbi.nlm.nih.gov/pmc/blobs/e17d/10147952/9a830e6708e6/gr3a.jpg
https://cdn.ncbi.nlm.nih.gov/pmc/blobs/e17d/10147952/2f8c685bb590/gr3b.jpg
https://cdn.ncbi.nlm.nih.gov/pmc/blobs/e17d/10147952/0d8b102b8327/gr4.jpg
https://cdn.ncbi.nlm.nih.gov/pmc/blobs/e17d/10147952/0d42029e91b7/gr5.jpg

相似文献

1
A case report of diagnosis of liver metastasis of medullary thyroid carcinoma by multimodal ultrasound.多模态超声诊断甲状腺髓样癌肝转移1例报告
Radiol Case Rep. 2023 Apr 19;18(6):2279-2281. doi: 10.1016/j.radcr.2023.03.036. eCollection 2023 Jun.
2
The Diagnostic Value of Ultrasound in Medullary Thyroid Carcinoma: A Comparison With Computed Tomography.超声对甲状腺髓样癌的诊断价值:与 CT 的对比研究。
Technol Cancer Res Treat. 2020 Jan-Dec;19:1533033820905832. doi: 10.1177/1533033820905832.
3
Contrast-enhanced ultrasound diagnosis of hepatic metastasis of concurrent medullary-papillary thyroid carcinoma: A case report.超声造影诊断甲状腺髓样-乳头状癌并发肝转移:一例报告
Medicine (Baltimore). 2017 Dec;96(50):e9065. doi: 10.1097/MD.0000000000009065.
4
Unusual gastric mucosal infiltration by a medullary thyroid carcinoma: a case report.髓样甲状腺癌罕见的胃黏膜浸润:一例报告
J Med Case Rep. 2016 Jul 27;10:208. doi: 10.1186/s13256-016-0981-9.
5
[PREOPERATIVE DIAGNOSTICS OF THYROID MEDULLARY CARCINOMA WITH EMPHASIS ON CYTOMORPHOLOGICAL FEATURES AND DIFFERENTIAL DIAGNOSIS OF PRIMARY AND SECONDARY THYROID TUMORS].[甲状腺髓样癌的术前诊断,重点关注细胞形态学特征及原发性和继发性甲状腺肿瘤的鉴别诊断]
Acta Med Croatica. 2014 Dec;68(4-5):383-8.
6
Breast metastasis from medullary carcinoma of thyroid: A case report with literature view.甲状腺髓样癌乳房转移:病例报告及文献复习。
J Pak Med Assoc. 2020 Nov;70(11):2051-2053. doi: 10.5455/JPMA.48120.
7
Initial clinical presentation of single soft tissue metastasis of medullary thyroid carcinoma without primary tumor in the thyroid gland.甲状腺髓样癌单发软组织转移而甲状腺内无原发性肿瘤的初始临床表现。
World J Surg Oncol. 2017 Dec 13;15(1):221. doi: 10.1186/s12957-017-1293-2.
8
Breast metastasis from medullary thyroid carcinoma: a report of a case.甲状腺髓样癌的乳腺转移:一例报告
Surg Case Rep. 2021 Aug 19;7(1):188. doi: 10.1186/s40792-021-01273-w.
9
Smoldering medullary thyroid carcinoma liver metastasis 37 years after resection of an organ-confined tumor.器官局限性肿瘤切除37年后出现的甲状腺髓样癌肝转移灶
Diagn Cytopathol. 2015 Jan;43(1):45-8. doi: 10.1002/dc.23113. Epub 2014 Feb 18.
10
[Neuroendocrine carcinoma of the larynx with secretion of calcitonin: primary tumor or metastasis of the medullary thyroid carcinoma?].[伴有降钙素分泌的喉神经内分泌癌:原发性肿瘤还是甲状腺髓样癌转移?]
Ann Pathol. 1996;16(2):104-7.

本文引用的文献

1
Comprehensive evaluation of medullary thyroid carcinoma before surgery.术前甲状腺髓样癌的综合评估。
Chin Med J (Engl). 2019 Apr 5;132(7):834-841. doi: 10.1097/CM9.0000000000000160.
2
Contrast-enhanced ultrasound diagnosis of hepatic metastasis of concurrent medullary-papillary thyroid carcinoma: A case report.超声造影诊断甲状腺髓样-乳头状癌并发肝转移:一例报告
Medicine (Baltimore). 2017 Dec;96(50):e9065. doi: 10.1097/MD.0000000000009065.
3
Surgical management of medullary thyroid carcinoma.甲状腺髓样癌的外科治疗
Updates Surg. 2017 Jun;69(2):151-160. doi: 10.1007/s13304-017-0443-y. Epub 2017 Apr 13.
4
Imaging Biomarkers of Tumor Response in Neuroendocrine Liver Metastases Treated with Transarterial Chemoembolization: Can Enhancing Tumor Burden of the Whole Liver Help Predict Patient Survival?经动脉化疗栓塞治疗神经内分泌肝脏转移瘤中肿瘤反应的影像生物标志物:全肝肿瘤负荷增加能否帮助预测患者生存?
Radiology. 2017 Jun;283(3):883-894. doi: 10.1148/radiol.2016160838. Epub 2016 Nov 10.
5
Ultrasonographic Features of Medullary Thyroid Carcinoma: Do they Correlate with Pre and PostOperative Calcitonin Levels?甲状腺髓样癌的超声特征:它们与术前和术后降钙素水平相关吗?
Asian Pac J Cancer Prev. 2016;17(7):3357-62.
6
Comparison of somatostatin receptor imaging, computed tomography and ultrasound in the clinical management of neuroendocrine gastro-entero-pancreatic tumours.生长抑素受体显像、计算机断层扫描和超声在神经内分泌胃肠胰腺肿瘤临床管理中的比较
Eur J Nucl Med. 1998 Oct;25(10):1396-403. doi: 10.1007/s002590050314.