Suppr超能文献

ACVIM 共识声明指南:诊断和鉴别猫低级别肿瘤性与炎症性淋巴细胞慢性肠病。

ACVIM consensus statement guidelines on diagnosing and distinguishing low-grade neoplastic from inflammatory lymphocytic chronic enteropathies in cats.

机构信息

Department of Veterinary Medicine and Epidemiology, UC Davis School of Veterinary Medicine, Davis, California, USA.

Ecole Nationale Vétérinaire d'Alfort, CHUVA, Unité de Médecine Interne, Maisons-Alfort, France.

出版信息

J Vet Intern Med. 2023 May-Jun;37(3):794-816. doi: 10.1111/jvim.16690. Epub 2023 May 2.

Abstract

BACKGROUND

Lymphoplasmacytic enteritis (LPE) and low-grade intestinal T cell lymphoma (LGITL) are common diseases in older cats, but their diagnosis and differentiation remain challenging.

OBJECTIVES

To summarize the current literature on etiopathogenesis and diagnosis of LPE and LGITL in cats and provide guidance on the differentiation between LPE and LGITL in cats. To provide statements established using evidence-based approaches or where such evidence is lacking, statements based on consensus of experts in the field.

ANIMALS

None.

METHODS

A panel of 6 experts in the field (2 internists, 1 radiologist, 1 anatomic pathologist, 1 clonality expert, 1 oncologist) with the support of a human medical immunologist, was formed to assess and summarize evidence in the peer-reviewed literature and complement it with consensus recommendations.

RESULTS

Despite increasing interest on the topic for clinicians and pathologists, few prospective studies were available, and interpretation of the pertinent literature often was challenging because of the heterogeneity of the cases. Most recommendations by the panel were supported by a moderate or low level of evidence. Several understudied areas were identified, including cellular markers using immunohistochemistry, genomics, and transcriptomic studies.

CONCLUSIONS AND CLINICAL IMPORTANCE

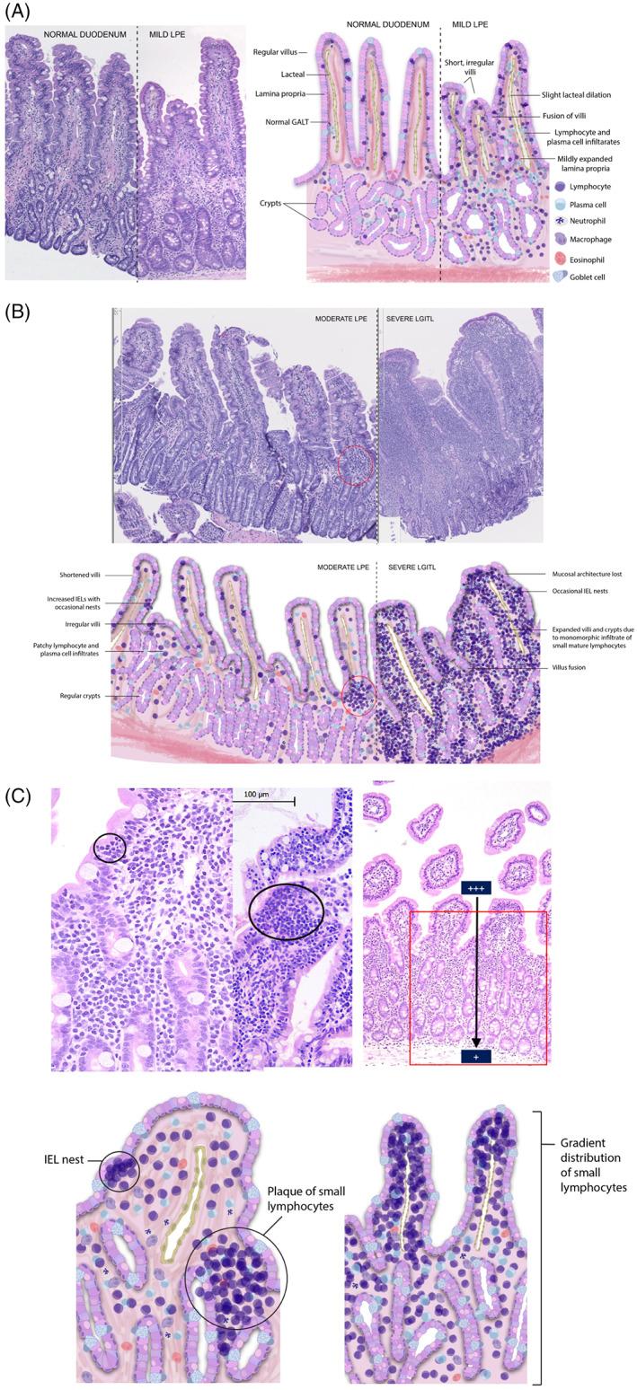
To date, no single diagnostic criterion or known biomarker reliably differentiates inflammatory lesions from neoplastic lymphoproliferations in the intestinal tract of cats and a diagnosis currently is established by integrating all available clinical and diagnostic data. Histopathology remains the mainstay to better differentiate LPE from LGITL in cats with chronic enteropathy.

摘要

背景

淋巴浆细胞性肠炎(LPE)和低级别的肠道 T 细胞淋巴瘤(LGITL)是老年猫的常见疾病,但它们的诊断和鉴别仍具有挑战性。

目的

总结目前关于猫 LPE 和 LGITL 的病因发病机制和诊断的文献,并就猫 LPE 和 LGITL 的鉴别提供指导。提供基于循证方法的陈述,或在缺乏此类证据的情况下,提供基于该领域专家共识的陈述。

动物

无。

方法

成立了一个由 6 名该领域的专家(2 名内科医生、1 名放射科医生、1 名解剖病理学家、1 名克隆性专家、1 名肿瘤学家)组成的专家组,并得到了一名人类医学免疫学家的支持,以评估和总结同行评议文献中的证据,并补充共识建议。

结果

尽管临床医生和病理学家对该主题的兴趣日益增加,但几乎没有前瞻性研究,由于病例的异质性,对相关文献的解释常常具有挑战性。专家组的大多数建议都得到了中等或低水平的证据支持。确定了一些研究不足的领域,包括使用免疫组织化学的细胞标记物、基因组学和转录组学研究。

结论和临床意义

迄今为止,没有单一的诊断标准或已知的生物标志物能可靠地区分猫肠道炎症性病变与肿瘤性淋巴增生,目前的诊断是通过整合所有可用的临床和诊断数据来确定的。组织病理学仍然是更好地区分猫慢性肠炎中 LPE 和 LGITL 的主要方法。

https://cdn.ncbi.nlm.nih.gov/pmc/blobs/b19d/10229359/3acff9f317b5/JVIM-37-794-g006.jpg

文献AI研究员

20分钟写一篇综述,助力文献阅读效率提升50倍。

立即体验

用中文搜PubMed

大模型驱动的PubMed中文搜索引擎

马上搜索

文档翻译

学术文献翻译模型,支持多种主流文档格式。

立即体验