Leng Poh Nuan, Wan Zain Wan Zainira, Mohammad Azmi Mohd Azem Fathi, Yahya Maya Mazuwin, Azis Khairul Anuar, Mat Johar Siti Fatimah Noor, Wan Sulaiman Wan Azman, Balingi Dumin, Tuan Sharif Sharifah Emilia, Wan Abdul Rahman Wan Faiziah, Chiew Chea Lau, Haron Juhara
Department of Surgery, School of Medical Sciences, Universiti Sains Malaysia, Kota Bharu, MYS.
Breast Cancer Awareness & Research Unit, Hospital Universiti Sains Malaysia, Kota Bharu, MYS.
Cureus. 2023 Apr 1;15(4):e37003. doi: 10.7759/cureus.37003. eCollection 2023 Apr.
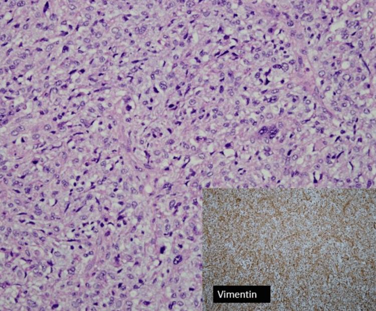
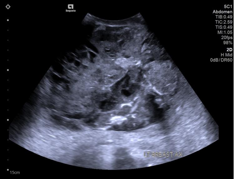
Carcinosarcoma of the breast is a subtype of metaplastic breast carcinoma characterized by differentiation of the neoplastic epithelium toward mesenchymal-looking elements. It is a highly aggressive rare subtype of invasive breast neoplasm that exhibits a distinct histologic entity. Only a limited number of reports related to this type of disease have been reported. Here, we present a case of breast carcinosarcoma in a lady in her early 20s, which is relatively young among all cases published. It was challenging to achieve diagnosis preoperatively with histopathological evaluation of the ultrasound-guided tru-cut biopsy sample. With no evidence of distant metastasis clinically and radiologically, a surgical option was opted for. Left mastectomy and left chest wall reconstruction with deep inferior epigastric artery free flap were performed. Post-excision specimen was confirmed to be carcinosarcoma.
乳腺肉瘤样癌是化生性乳腺癌的一种亚型,其特征为肿瘤上皮向间叶样成分分化。它是侵袭性乳腺肿瘤中一种高度侵袭性的罕见亚型,具有独特的组织学特征。关于这类疾病的报道数量有限。在此,我们报告一例20岁出头女性的乳腺肉瘤样癌病例,在已发表的所有病例中该患者相对年轻。通过对超声引导下粗针活检样本进行组织病理学评估,术前确诊具有挑战性。临床和放射学检查均未发现远处转移迹象,因此选择了手术治疗方案。实施了左侧乳房切除术,并采用腹壁下深动脉游离皮瓣进行左侧胸壁重建。切除术后标本经证实为肉瘤样癌。