• 文献检索
  • 文档翻译
  • 深度研究
  • 学术资讯
  • Suppr Zotero 插件Zotero 插件
  • 邀请有礼
  • 套餐&价格
  • 历史记录
应用&插件
Suppr Zotero 插件Zotero 插件浏览器插件Mac 客户端Windows 客户端微信小程序
定价
高级版会员购买积分包购买API积分包
服务
文献检索文档翻译深度研究API 文档MCP 服务
关于我们
关于 Suppr公司介绍联系我们用户协议隐私条款
关注我们

Suppr 超能文献

核心技术专利:CN118964589B侵权必究
粤ICP备2023148730 号-1Suppr @ 2026

文献检索

告别复杂PubMed语法,用中文像聊天一样搜索,搜遍4000万医学文献。AI智能推荐,让科研检索更轻松。

立即免费搜索

文件翻译

保留排版,准确专业,支持PDF/Word/PPT等文件格式,支持 12+语言互译。

免费翻译文档

深度研究

AI帮你快速写综述,25分钟生成高质量综述,智能提取关键信息,辅助科研写作。

立即免费体验

IL-4 的免疫调节作用通过抑制 NLRP3 炎性小体加速老年大鼠骨替代材料介导的成骨作用。

The immunomodulatory effect of IL-4 accelerates bone substitute material-mediated osteogenesis in aged rats via NLRP3 inflammasome inhibition.

机构信息

Department of Prosthodontics and Implantology, School and Hospital of Stomatology of Guizhou Medical University, Guiyang, Guizhou, China.

Department of Oral and Maxillofacial Surgery, School and Hospital of Stomatology of Guizhou Medical University, Guiyang, China.

出版信息

Front Immunol. 2023 Apr 20;14:1121549. doi: 10.3389/fimmu.2023.1121549. eCollection 2023.

DOI:10.3389/fimmu.2023.1121549
PMID:37153554
原文链接:https://pmc.ncbi.nlm.nih.gov/articles/PMC10157059/
Abstract

BACKGROUND

Bone defect repair by implanting bone substitute materials has been a common clinical treatment. With the understanding of substance-immune system interactions and increasing evidence indicating that the post-implantation immune response determines the fate of bone substitute materials, active modulation of host macrophage polarization is considered a promising strategy. However, whether the same regulatory effects exist when an individual immune system is altered with aging is unclear.

METHODS

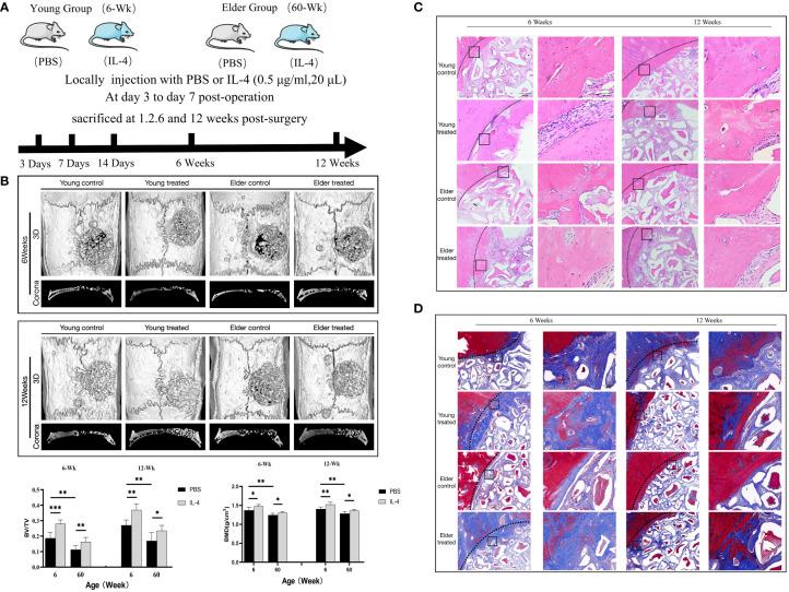
In this study, we mechanistically investigated the effect of immunosenescence on the active regulation of macrophage polarization by establishing a cranial bone defect model in young and aged rats implanted with Bio-Oss®. Forty-eight young and 48 aged specific pathogen-free (SPF) male SD rats were randomly divided into two groups. In the experimental group, 20 μL of IL-4 (0.5 μg/mL) was injected locally on the third to seventh postoperative days, while an equal volume of PBS was injected in the control group. Specimens were collected at 1, 2, 6, and 12 weeks postoperatively, and bone regeneration at the defect site was evaluated by micro-CT, histomorphometry, immunohistochemistry, double-labeling immunofluorescence, and RT-qPCR.

RESULTS

The application of exogenous IL-4 reduced activation of NLRP3 inflammasomes by promoting the polarization of M1 macrophages to M2 macrophages, thus promoting bone regeneration at the site of bone defects in aged rats. However, this effect was gradually weakened after the IL-4 intervention was discontinued.

CONCLUSION

Our data confirmed that a strategy to regulate macrophage polarization is also feasible under conditions of immunosenescence, i.e., the local inflammatory microenvironment can be regulated by reducing M1-type macrophages. However, further experiments are needed to determine an exogenous IL-4 intervention that can maintain a more sustained effect.

摘要

背景

植入骨替代材料修复骨缺损一直是一种常见的临床治疗方法。随着人们对物质-免疫系统相互作用的认识不断深入,越来越多的证据表明,植入后免疫反应决定了骨替代材料的命运,因此主动调节宿主巨噬细胞极化被认为是一种很有前途的策略。然而,当个体免疫系统随着衰老而改变时,这种调节是否存在相同的效果尚不清楚。

方法

在这项研究中,我们通过建立年轻和衰老大鼠颅骨骨缺损模型,并植入 Bio-Oss®,从机制上研究了免疫衰老对巨噬细胞极化主动调节的影响。将 48 只年轻和 48 只衰老的特定病原体(SPF)雄性 SD 大鼠随机分为两组。实验组在术后第 3 至第 7 天局部注射 20 μL 的 IL-4(0.5 μg/mL),对照组注射等量的 PBS。术后 1、2、6 和 12 周采集标本,通过 micro-CT、组织形态计量学、免疫组织化学、双标记免疫荧光和 RT-qPCR 评估缺损部位的骨再生情况。

结果

外源性 IL-4 的应用通过促进 M1 巨噬细胞向 M2 巨噬细胞极化来减少 NLRP3 炎性小体的激活,从而促进了老年大鼠骨缺损部位的骨再生。然而,这种效应在停止 IL-4 干预后逐渐减弱。

结论

我们的数据证实,调节巨噬细胞极化的策略在免疫衰老的情况下也是可行的,即可以通过减少 M1 型巨噬细胞来调节局部炎症微环境。然而,需要进一步的实验来确定一种外源性 IL-4 干预方法,以维持更持续的效果。

https://cdn.ncbi.nlm.nih.gov/pmc/blobs/8fe4/10157059/0103f7b35b8c/fimmu-14-1121549-g005.jpg
https://cdn.ncbi.nlm.nih.gov/pmc/blobs/8fe4/10157059/7a83a7b6d393/fimmu-14-1121549-g001.jpg
https://cdn.ncbi.nlm.nih.gov/pmc/blobs/8fe4/10157059/104939cd8f53/fimmu-14-1121549-g002.jpg
https://cdn.ncbi.nlm.nih.gov/pmc/blobs/8fe4/10157059/e588b6d2e942/fimmu-14-1121549-g003.jpg
https://cdn.ncbi.nlm.nih.gov/pmc/blobs/8fe4/10157059/fa210be77706/fimmu-14-1121549-g004.jpg
https://cdn.ncbi.nlm.nih.gov/pmc/blobs/8fe4/10157059/0103f7b35b8c/fimmu-14-1121549-g005.jpg
https://cdn.ncbi.nlm.nih.gov/pmc/blobs/8fe4/10157059/7a83a7b6d393/fimmu-14-1121549-g001.jpg
https://cdn.ncbi.nlm.nih.gov/pmc/blobs/8fe4/10157059/104939cd8f53/fimmu-14-1121549-g002.jpg
https://cdn.ncbi.nlm.nih.gov/pmc/blobs/8fe4/10157059/e588b6d2e942/fimmu-14-1121549-g003.jpg
https://cdn.ncbi.nlm.nih.gov/pmc/blobs/8fe4/10157059/fa210be77706/fimmu-14-1121549-g004.jpg
https://cdn.ncbi.nlm.nih.gov/pmc/blobs/8fe4/10157059/0103f7b35b8c/fimmu-14-1121549-g005.jpg

相似文献

1
The immunomodulatory effect of IL-4 accelerates bone substitute material-mediated osteogenesis in aged rats via NLRP3 inflammasome inhibition.IL-4 的免疫调节作用通过抑制 NLRP3 炎性小体加速老年大鼠骨替代材料介导的成骨作用。
Front Immunol. 2023 Apr 20;14:1121549. doi: 10.3389/fimmu.2023.1121549. eCollection 2023.
2
Development of an Accurate and Proactive Immunomodulatory Strategy to Improve Bone Substitute Material-Mediated Osteogenesis and Angiogenesis.开发一种准确且主动的免疫调节策略,以改善骨替代材料介导的成骨和血管生成。
Theranostics. 2018 Oct 29;8(19):5482-5500. doi: 10.7150/thno.28315. eCollection 2018.
3
Interleukin-4-loaded hydrogel scaffold regulates macrophages polarization to promote bone mesenchymal stem cells osteogenic differentiation via TGF-β1/Smad pathway for repair of bone defect.载白细胞介素-4的水凝胶支架通过 TGF-β1/Smad 通路调节巨噬细胞极化促进骨髓间充质干细胞成骨分化,用于修复骨缺损。
Cell Prolif. 2020 Oct;53(10):e12907. doi: 10.1111/cpr.12907. Epub 2020 Sep 19.
4
NLRP3 inflammasome mediates M1 macrophage polarization and IL-1β production in inflammatory root resorption.NLRP3 炎性小体介导炎症性牙根吸收中 M1 巨噬细胞极化和 IL-1β 的产生。
J Clin Periodontol. 2020 Apr;47(4):451-460. doi: 10.1111/jcpe.13258. Epub 2020 Feb 7.
5
Exosomal Lnc NEAT1 from endothelial cells promote bone regeneration by regulating macrophage polarization via DDX3X/NLRP3 axis.内皮细胞来源的外泌体长链非编码 RNA NEAT1 通过 DDX3X/NLRP3 轴调控巨噬细胞极化促进骨再生。
J Nanobiotechnology. 2023 Mar 20;21(1):98. doi: 10.1186/s12951-023-01855-w.
6
Fluorinated hydroxyapatite conditions a favorable osteo-immune microenvironment via triggering metabolic shift from glycolysis to oxidative phosphorylation.氟化羟基磷灰石通过触发糖酵解向氧化磷酸化的代谢转变来调节有利的骨免疫微环境。
J Transl Med. 2024 May 8;22(1):437. doi: 10.1186/s12967-024-05261-0.
7
Hydrogen-Rich Saline Attenuated Subarachnoid Hemorrhage-Induced Early Brain Injury in Rats by Suppressing Inflammatory Response: Possible Involvement of NF-κB Pathway and NLRP3 Inflammasome.富氢盐水通过抑制炎症反应减轻大鼠蛛网膜下腔出血诱导的早期脑损伤:NF-κB通路和NLRP3炎性小体的可能参与
Mol Neurobiol. 2016 Jul;53(5):3462-3476. doi: 10.1007/s12035-015-9242-y. Epub 2015 Jun 20.
8
NLRP3 regulates macrophage M2 polarization through up-regulation of IL-4 in asthma.NLRP3 通过上调哮喘中的 IL-4 调节巨噬细胞 M2 极化。
Biochem J. 2018 Jun 21;475(12):1995-2008. doi: 10.1042/BCJ20180086.
9
[Protective effect of heat shock transcription factor 1 on acute lung injury in septic rats by regulating NOD-like receptor protein 3 inflammasome activation].热休克转录因子1通过调节NOD样受体蛋白3炎性小体激活对脓毒症大鼠急性肺损伤的保护作用
Zhonghua Wei Zhong Bing Ji Jiu Yi Xue. 2022 Nov;34(11):1167-1172. doi: 10.3760/cma.j.cn121430-20210930-01417.
10
Octacalcium Phosphate/Gelatin Composite (OCP/Gel) Enhances Bone Repair in a Critical-sized Transcortical Femoral Defect Rat Model.八钙磷/明胶复合材料(OCP/Gel)增强了大鼠股骨皮质缺损临界尺寸模型中的骨修复。
Clin Orthop Relat Res. 2022 Oct 1;480(10):2043-2055. doi: 10.1097/CORR.0000000000002257. Epub 2022 May 30.

引用本文的文献

1
Overexpression of interleukin-4 using adeno-associated virus is a potential strategy to enhance bone regeneration.使用腺相关病毒过表达白细胞介素-4是增强骨再生的一种潜在策略。
JBMR Plus. 2025 Apr 24;9(6):ziaf060. doi: 10.1093/jbmrpl/ziaf060. eCollection 2025 Jun.
2
Autologous Fat Grafting-A Panacea for Scar Tissue Therapy?自体脂肪移植——瘢痕组织治疗的万灵药?
Cells. 2024 Aug 20;13(16):1384. doi: 10.3390/cells13161384.
3
Manganese Enhances the Osteogenic Effect of Silicon-Hydroxyapatite Nanowires by Targeting T Lymphocyte Polarization.

本文引用的文献

1
Specific NLRP3 Inflammasome Assembling and Regulation in Neutrophils: Relevance in Inflammatory and Infectious Diseases.中性粒细胞中特定的 NLRP3 炎性小体的组装和调控:在炎症和感染性疾病中的相关性。
Cells. 2022 Apr 1;11(7):1188. doi: 10.3390/cells11071188.
2
Research progress on related mechanisms of uric acid activating NLRP3 inflammasome in chronic kidney disease.尿酸激活 NLRP3 炎性小体在慢性肾脏病中相关机制的研究进展。
Ren Fail. 2022 Dec;44(1):615-624. doi: 10.1080/0886022X.2022.2036620.
3
Material-Assisted Strategies for Osteochondral Defect Repair.
锰通过靶向T淋巴细胞极化增强硅-羟基磷灰石纳米线的成骨作用。
Adv Sci (Weinh). 2024 Jan;11(4):e2305890. doi: 10.1002/advs.202305890. Epub 2023 Dec 1.
材料辅助策略治疗骨软骨缺损。
Adv Sci (Weinh). 2022 May;9(16):e2200050. doi: 10.1002/advs.202200050. Epub 2022 Mar 24.
4
Macrophage Polarization and Alveolar Bone Healing Outcome: Despite a Significant M2 Polarizing Effect, VIP and PACAP Treatments Present a Minor Impact in Alveolar Bone Healing in Homeostatic Conditions.巨噬细胞极化与牙槽骨愈合结局:尽管 VIP 和 PACAP 有显著的 M2 极化作用,但在稳态条件下,它们对牙槽骨愈合的影响较小。
Front Immunol. 2021 Dec 21;12:782566. doi: 10.3389/fimmu.2021.782566. eCollection 2021.
5
The Role of the Immune Microenvironment in Bone Regeneration.免疫微环境在骨再生中的作用。
Int J Med Sci. 2021 Sep 21;18(16):3697-3707. doi: 10.7150/ijms.61080. eCollection 2021.
6
Macrophage-targeted nanomedicine for the diagnosis and treatment of atherosclerosis.载脂蛋白靶向纳米医学用于动脉粥样硬化的诊断和治疗。
Nat Rev Cardiol. 2022 Apr;19(4):228-249. doi: 10.1038/s41569-021-00629-x. Epub 2021 Nov 10.
7
Perspectives on the dynamic implications of cellular senescence and immunosenescence on macrophage aging biology.细胞衰老和免疫衰老对巨噬细胞衰老生物学的动态影响的观点。
Biogerontology. 2021 Dec;22(6):571-587. doi: 10.1007/s10522-021-09936-9. Epub 2021 Sep 6.
8
The Crosstalk between Mesenchymal Stem Cells and Macrophages in Bone Regeneration: A Systematic Review.间充质干细胞与巨噬细胞在骨再生中的相互作用:一项系统综述
Stem Cells Int. 2021 Jun 14;2021:8835156. doi: 10.1155/2021/8835156. eCollection 2021.
9
The effect of aging on the bone healing properties of blood plasma.衰老对血浆中骨愈合特性的影响。
Injury. 2021 Jul;52(7):1697-1708. doi: 10.1016/j.injury.2021.05.001. Epub 2021 May 9.
10
Interaction between bone and immune cells: Implications for postmenopausal osteoporosis.骨骼与免疫细胞之间的相互作用:对绝经后骨质疏松症的影响。
Semin Cell Dev Biol. 2022 Mar;123:14-21. doi: 10.1016/j.semcdb.2021.05.014. Epub 2021 May 20.