• 文献检索
  • 文档翻译
  • 深度研究
  • 学术资讯
  • Suppr Zotero 插件Zotero 插件
  • 邀请有礼
  • 套餐&价格
  • 历史记录
应用&插件
Suppr Zotero 插件Zotero 插件浏览器插件Mac 客户端Windows 客户端微信小程序
定价
高级版会员购买积分包购买API积分包
服务
文献检索文档翻译深度研究API 文档MCP 服务
关于我们
关于 Suppr公司介绍联系我们用户协议隐私条款
关注我们

Suppr 超能文献

核心技术专利:CN118964589B侵权必究
粤ICP备2023148730 号-1Suppr @ 2026

文献检索

告别复杂PubMed语法,用中文像聊天一样搜索,搜遍4000万医学文献。AI智能推荐,让科研检索更轻松。

立即免费搜索

文件翻译

保留排版,准确专业,支持PDF/Word/PPT等文件格式,支持 12+语言互译。

免费翻译文档

深度研究

AI帮你快速写综述,25分钟生成高质量综述,智能提取关键信息,辅助科研写作。

立即免费体验

RNU12 通过海绵吸附 miR-575 和靶向 BLID 抑制胃癌进展。

RNU12 inhibits gastric cancer progression via sponging miR-575 and targeting BLID.

机构信息

Laboratory of Radiation Oncology and Radiobiology, Clinical Oncology School of Fujian Medical University and Fujian Cancer Hospital, Fuzhou, 350014, China.

Fujian Medical University, Fuzhou, 350122, China.

出版信息

Sci Rep. 2023 May 9;13(1):7523. doi: 10.1038/s41598-023-34539-4.

DOI:10.1038/s41598-023-34539-4
PMID:37160927
原文链接:https://pmc.ncbi.nlm.nih.gov/articles/PMC10169768/
Abstract

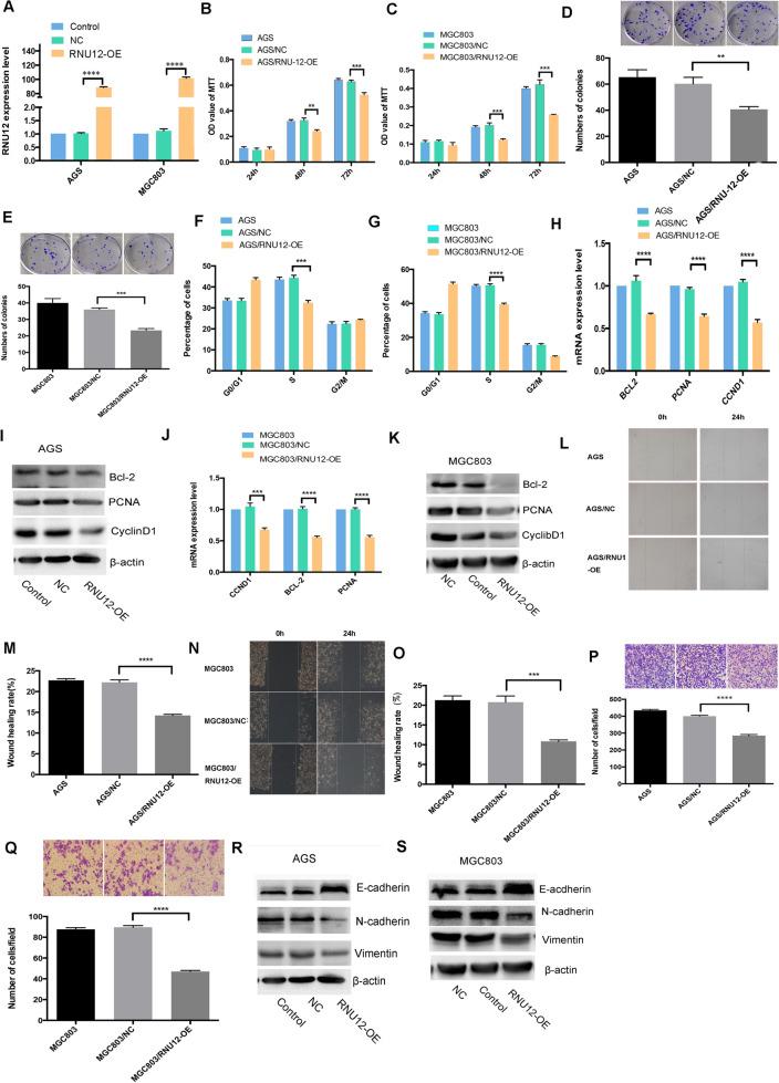
Gastric cancer (GC) is one of the major causes of cancer deaths with 5-year survival ratio of 20%. RNU12 is one of long noncoding RNAs (lncRNAs) regulating the tumor progression. However, how RNU12 affecting GC is not clear. qRT-PCR was utilized for determining the RNU12 expression in cell lines, 113 cases of paired gastric cancer (GC) and their adjacent normal gastric tissues. The biofunction alterations of RNU12 were assessed by its overexpression or knockdown in GC cells. MTT and cloning assay were assayed for the cell proliferation, the flow cytometry for the detection of cell cycle and the wound healing assay (WHA) and transwell invasion assay (TIA) for examining the migration and invasion of cells. The expressions of a set of genes related proliferation and migration were investigated with the Western Blotting (WB). RNA immunoprecipitation (RIP), biotinylated RNA pull-down and dual luciferase reporter tests were used to detect the interactions of RNU12 with miR-575/BLID. The in vivo proliferation and migration ability of RNU12 infected cells were determined in zebrafish system. This study revealed that RNU12 inhibited proliferation, invasion and metastasis by sponging of miR-575 and regulating the downstream BLID and modulated EMT of GC cells. The RNU12/miR-575/BLID axis is likely to be the prognosis biomarkers and drug targets of GC.

摘要

胃癌(GC)是癌症死亡的主要原因之一,5 年生存率为 20%。RNU12 是一种长链非编码 RNA(lncRNA),可调节肿瘤的进展。然而,RNU12 如何影响 GC 尚不清楚。qRT-PCR 用于确定细胞系、113 例配对胃癌(GC)及其相邻正常胃组织中的 RNU12 表达。通过在 GC 细胞中过表达或敲低 RNU12 来评估其生物功能改变。MTT 和克隆测定用于测定细胞增殖,流式细胞术用于检测细胞周期,划痕愈合测定(WHA)和 Transwell 侵袭测定(TIA)用于检测细胞迁移和侵袭。用 Western Blotting(WB)检测一组与增殖和迁移相关的基因的表达。RNA 免疫沉淀(RIP)、生物素化 RNA 下拉和双荧光素酶报告基因检测用于检测 RNU12 与 miR-575/BLID 的相互作用。在斑马鱼系统中测定感染细胞的体内增殖和迁移能力。本研究表明,RNU12 通过海绵 miR-575 抑制增殖、侵袭和转移,并调节 GC 细胞的 EMT。RNU12/miR-575/BLID 轴可能是 GC 的预后标志物和药物靶点。

https://cdn.ncbi.nlm.nih.gov/pmc/blobs/3705/10169768/f9580d8c2032/41598_2023_34539_Fig6_HTML.jpg
https://cdn.ncbi.nlm.nih.gov/pmc/blobs/3705/10169768/d8e798187f21/41598_2023_34539_Fig1_HTML.jpg
https://cdn.ncbi.nlm.nih.gov/pmc/blobs/3705/10169768/cd4836f45f89/41598_2023_34539_Fig2_HTML.jpg
https://cdn.ncbi.nlm.nih.gov/pmc/blobs/3705/10169768/9c1fe3d0321a/41598_2023_34539_Fig3_HTML.jpg
https://cdn.ncbi.nlm.nih.gov/pmc/blobs/3705/10169768/01cedd2783ed/41598_2023_34539_Fig4_HTML.jpg
https://cdn.ncbi.nlm.nih.gov/pmc/blobs/3705/10169768/05e82b9ef311/41598_2023_34539_Fig5_HTML.jpg
https://cdn.ncbi.nlm.nih.gov/pmc/blobs/3705/10169768/f9580d8c2032/41598_2023_34539_Fig6_HTML.jpg
https://cdn.ncbi.nlm.nih.gov/pmc/blobs/3705/10169768/d8e798187f21/41598_2023_34539_Fig1_HTML.jpg
https://cdn.ncbi.nlm.nih.gov/pmc/blobs/3705/10169768/cd4836f45f89/41598_2023_34539_Fig2_HTML.jpg
https://cdn.ncbi.nlm.nih.gov/pmc/blobs/3705/10169768/9c1fe3d0321a/41598_2023_34539_Fig3_HTML.jpg
https://cdn.ncbi.nlm.nih.gov/pmc/blobs/3705/10169768/01cedd2783ed/41598_2023_34539_Fig4_HTML.jpg
https://cdn.ncbi.nlm.nih.gov/pmc/blobs/3705/10169768/05e82b9ef311/41598_2023_34539_Fig5_HTML.jpg
https://cdn.ncbi.nlm.nih.gov/pmc/blobs/3705/10169768/f9580d8c2032/41598_2023_34539_Fig6_HTML.jpg

相似文献

1
RNU12 inhibits gastric cancer progression via sponging miR-575 and targeting BLID.RNU12 通过海绵吸附 miR-575 和靶向 BLID 抑制胃癌进展。
Sci Rep. 2023 May 9;13(1):7523. doi: 10.1038/s41598-023-34539-4.
2
LncRNA SNHG6 is Associated with Poor Prognosis of Gastric Cancer and Promotes Cell Proliferation and EMT through Epigenetically Silencing p27 and Sponging miR-101-3p.长链非编码RNA SNHG6与胃癌的不良预后相关,并通过表观遗传沉默p27和海绵化miR-101-3p促进细胞增殖和上皮-间质转化。
Cell Physiol Biochem. 2017;42(3):999-1012. doi: 10.1159/000478682. Epub 2017 Jun 27.
3
Circular RNA CircCACTIN Promotes Gastric Cancer Progression by Sponging MiR-331-3p and Regulating TGFBR1 Expression.环状 RNA CircCACTIN 通过海绵吸附 miR-331-3p 并调节 TGFBR1 表达促进胃癌进展。
Int J Biol Sci. 2019 Apr 22;15(5):1091-1103. doi: 10.7150/ijbs.31533. eCollection 2019.
4
Circular RNA hsa_circ_0004872 inhibits gastric cancer progression via the miR-224/Smad4/ADAR1 successive regulatory circuit.环状 RNA hsa_circ_0004872 通过 miR-224/Smad4/ADAR1 连续调控回路抑制胃癌进展。
Mol Cancer. 2020 Nov 10;19(1):157. doi: 10.1186/s12943-020-01268-5.
5
DLX6-AS1/miR-204-5p/OCT1 positive feedback loop promotes tumor progression and epithelial-mesenchymal transition in gastric cancer.DLX6-AS1/miR-204-5p/OCT1 正反馈环路促进胃癌的肿瘤进展和上皮-间充质转化。
Gastric Cancer. 2020 Mar;23(2):212-227. doi: 10.1007/s10120-019-01002-1. Epub 2019 Aug 28.
6
Circ_0000267 promotes gastric cancer progression via sponging MiR-503-5p and regulating HMGA2 expression.环状 RNA 0000267 通过海绵吸附 miR-503-5p 并调节 HMGA2 表达促进胃癌进展。
Mol Genet Genomic Med. 2020 Feb;8(2):e1093. doi: 10.1002/mgg3.1093. Epub 2019 Dec 17.
7
Circ_0027599 elevates RUNX1 expression via sponging miR-21-5p on gastric cancer progression.环状 RNA 0027599 通过海绵吸附 miR-21-5p 提升胃癌进展过程中 RUNX1 的表达。
Eur J Clin Invest. 2021 Nov;51(11):e13592. doi: 10.1111/eci.13592. Epub 2021 May 25.
8
SNHG8 Promotes the Progression of Epstein-Barr Virus-Associated Gastric Cancer Sponging miR-512-5p and Targeting TRIM28.SNHG8通过吸附miR-512-5p并靶向TRIM28促进爱泼斯坦-巴尔病毒相关胃癌的进展
Front Oncol. 2021 Oct 15;11:734694. doi: 10.3389/fonc.2021.734694. eCollection 2021.
9
Circular RNA circPFKP suppresses the proliferation and metastasis of gastric cancer cell via sponging miR-644 and regulating ADAMTSL5 expression.环状 RNA circPFKP 通过海绵吸附 miR-644 并调节 ADAMTSL5 表达抑制胃癌细胞的增殖和转移。
Bioengineered. 2022 May;13(5):12326-12337. doi: 10.1080/21655979.2022.2073001.
10
Long non-coding RNA Hotair promotes gastric cancer progression via miR-217-GPC5 axis.长链非编码 RNA Hotair 通过 miR-217-GPC5 轴促进胃癌进展。
Life Sci. 2019 Jan 15;217:271-282. doi: 10.1016/j.lfs.2018.12.024. Epub 2018 Dec 14.

引用本文的文献

1
MiR-575 in Exosomes of Vaginal Discharge Is Downregulated in Ovarian Cancer Patients.卵巢癌患者阴道分泌物外泌体中的MiR-575表达下调。
Cancer Genomics Proteomics. 2025 May-Jun;22(3):382-396. doi: 10.21873/cgp.20508.

本文引用的文献

1
A novel long non-coding RNA, lnc-RNU12, influences the T-cell cycle via c-JUN and CCNL2 in rheumatoid arthritis.一种新的长非编码 RNA,lnc-RNU12,通过 c-JUN 和 CCNL2 影响类风湿关节炎中的 T 细胞周期。
Rheumatology (Oxford). 2023 May 2;62(5):1955-1963. doi: 10.1093/rheumatology/keac553.
2
Long noncoding RNA ZNFX1-AS1 promotes the invasion and proliferation of gastric cancer cells by regulating LIN28 and CAPR1N1.长链非编码 RNA ZNFX1-AS1 通过调节 LIN28 和 CAPR1N1 促进胃癌细胞的侵袭和增殖。
World J Gastroenterol. 2022 Sep 14;28(34):4973-4992. doi: 10.3748/wjg.v28.i34.4973.
3
Delivery of LINC00589 via mesoporous silica nanoparticles inhibits peritoneal metastasis in gastric cancer.
介孔二氧化硅纳米粒递送 LINC00589 抑制胃癌腹膜转移。
Cancer Lett. 2022 Nov 28;549:215916. doi: 10.1016/j.canlet.2022.215916. Epub 2022 Sep 17.
4
Cancer statistics in China and United States, 2022: profiles, trends, and determinants.中国和美国 2022 年癌症统计数据:概况、趋势和决定因素。
Chin Med J (Engl). 2022 Feb 9;135(5):584-590. doi: 10.1097/CM9.0000000000002108.
5
SNHG8 Promotes the Progression of Epstein-Barr Virus-Associated Gastric Cancer Sponging miR-512-5p and Targeting TRIM28.SNHG8通过吸附miR-512-5p并靶向TRIM28促进爱泼斯坦-巴尔病毒相关胃癌的进展
Front Oncol. 2021 Oct 15;11:734694. doi: 10.3389/fonc.2021.734694. eCollection 2021.
6
Global Incidence and Mortality of Gastric Cancer, 1980-2018.全球 1980-2018 年胃癌发病率和死亡率。
JAMA Netw Open. 2021 Jul 1;4(7):e2118457. doi: 10.1001/jamanetworkopen.2021.18457.
7
Biallelic variants in RNU12 cause CDAGS syndrome.RNU12基因的双等位基因变异导致CDAGS综合征。
Hum Mutat. 2021 Aug;42(8):1042-1052. doi: 10.1002/humu.24239. Epub 2021 Jun 15.
8
Gastric cancer.胃癌。
Lancet. 2020 Aug 29;396(10251):635-648. doi: 10.1016/S0140-6736(20)31288-5.
9
LncRNA Promotes Expression by Adsorbing to Suppress Nasopharyngeal Carcinoma Cell Progression.长链非编码RNA通过吸附作用促进表达以抑制鼻咽癌细胞进展。
Onco Targets Ther. 2020 May 20;13:4397-4409. doi: 10.2147/OTT.S245554. eCollection 2020.
10
Long non-coding RNA signature in gastric cancer.胃癌的长非编码 RNA 特征。
Exp Mol Pathol. 2020 Apr;113:104365. doi: 10.1016/j.yexmp.2019.104365. Epub 2019 Dec 31.