Suppr超能文献

SARS-CoV-2、疫苗接种还是自身免疫作为导致心脏炎症的原因。哪种形式占主导地位?

SARS-CoV-2, vaccination or autoimmunity as causes of cardiac inflammation. Which form prevails?

机构信息

Philipps University and Heart and Vessel Center Marburg, 35043, Marburg, Germany.

出版信息

Herz. 2023 Jun;48(3):195-205. doi: 10.1007/s00059-023-05182-6. Epub 2023 May 17.

Abstract

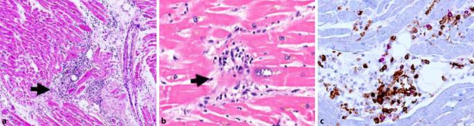
The causes of cardiac inflammation during the COVID-19 pandemic are manifold and complex, and may have changed with different virus variants and vaccinations. The underlying viral etiology is self-evident, but its role in the pathogenic process is diverse. The view of many pathologists that myocyte necrosis and cellular infiltrates are indispensable for myocarditis does not suffice and contradicts the clinical criteria of myocarditis, i.e., a combination of serological evidence of necrosis based on troponins or MRI features of necrosis, edema, and inflammation based on prolonged T1 and T2 times and late gadolinium enhancement. The definition of myocarditis is still debated by pathologists and clinicians. We have learned that myocarditis and pericarditis can be induced by the virus via different pathways of action such as direct viral damage to the myocardium through the ACE2 receptor. Indirect damage occurs via immunological effector organs such as the innate immune system by macrophages and cytokines, and then later the acquired immune system via T cells, overactive proinflammatory cytokines, and cardiac autoantibodies. Cardiovascular diseases lead to more severe courses of SARS-CoV‑2 disease. Thus, heart failure patients have a double risk for complicated courses and lethal outcome. So do patients with diabetes, hypertension, and renal insufficiency. Independent of the definition, myocarditis patients benefitted from intensive hospital care, ventilation, if needed, and cortisone treatment. Postvaccination myocarditis and pericarditis affect primarily young male patients after the second RNA vaccine. Both are rare events but severe enough to deserve our full attention, because treatment according to current guidelines is available and necessary.

摘要

在 COVID-19 大流行期间,心脏炎症的原因是多方面且复杂的,并且可能因不同的病毒变体和疫苗接种而发生变化。潜在的病毒病因是显而易见的,但它在发病过程中的作用是多种多样的。许多病理学家认为,肌细胞坏死和细胞浸润是心肌炎的必要条件,但这种观点并不充分,也与心肌炎的临床标准相矛盾,即基于肌钙蛋白的坏死血清学证据或基于 T1 和 T2 延长时间以及晚期钆增强的坏死、水肿和炎症的 MRI 特征的坏死组合。心肌炎的定义仍在病理学家和临床医生中争论不休。我们了解到,心肌炎和心包炎可以通过不同的作用途径由病毒引起,例如通过 ACE2 受体直接损害心肌。间接损伤通过先天免疫系统中的巨噬细胞和细胞因子等免疫效应器官发生,然后通过 T 细胞、过度活跃的促炎细胞因子和心脏自身抗体发生获得性免疫系统。心血管疾病导致 SARS-CoV-2 疾病的病程更严重。因此,心力衰竭患者的复杂病程和致死结局的风险增加了一倍。糖尿病、高血压和肾功能不全患者也是如此。无论定义如何,心肌炎患者都受益于强化医院护理、如果需要通气以及皮质类固醇治疗。接种疫苗后心肌炎和心包炎主要影响第二次 RNA 疫苗接种后的年轻男性患者。两者都是罕见事件,但严重到足以引起我们的充分关注,因为根据当前指南提供了治疗方法,并且是必要的。

https://cdn.ncbi.nlm.nih.gov/pmc/blobs/abaa/10191088/85aa7d068be9/59_2023_5182_Fig1_HTML.jpg

文献AI研究员

20分钟写一篇综述,助力文献阅读效率提升50倍。

立即体验

用中文搜PubMed

大模型驱动的PubMed中文搜索引擎

马上搜索

文档翻译

学术文献翻译模型,支持多种主流文档格式。

立即体验