• 文献检索
  • 文档翻译
  • 深度研究
  • 学术资讯
  • Suppr Zotero 插件Zotero 插件
  • 邀请有礼
  • 套餐&价格
  • 历史记录
应用&插件
Suppr Zotero 插件Zotero 插件浏览器插件Mac 客户端Windows 客户端微信小程序
定价
高级版会员购买积分包购买API积分包
服务
文献检索文档翻译深度研究API 文档MCP 服务
关于我们
关于 Suppr公司介绍联系我们用户协议隐私条款
关注我们

Suppr 超能文献

核心技术专利:CN118964589B侵权必究
粤ICP备2023148730 号-1Suppr @ 2026

文献检索

告别复杂PubMed语法,用中文像聊天一样搜索,搜遍4000万医学文献。AI智能推荐,让科研检索更轻松。

立即免费搜索

文件翻译

保留排版,准确专业,支持PDF/Word/PPT等文件格式,支持 12+语言互译。

免费翻译文档

深度研究

AI帮你快速写综述,25分钟生成高质量综述,智能提取关键信息,辅助科研写作。

立即免费体验

酷似心肌梗死的急性胰腺炎:一例具有挑战性的病例

Acute Pancreatitis Simulating Myocardial Infarction: A Challenging Case.

作者信息

Shiza Saher T, Parajuli Aalok, Samreen Iqra, Padullaparthi Tripura, Mohamed Alaa S, Haseeb Muhammad, Sadia Haleema, Mohamed Khalid H, Nasir Hira

机构信息

Internal Medicine, New York City Health and Hospitals - Lincoln Hospital, New York, USA.

Internal Medicine, Jalalabad Ragib Rabeya Medical College & Hospital, Jalalabad, BGD.

出版信息

Cureus. 2023 Apr 18;15(4):e37769. doi: 10.7759/cureus.37769. eCollection 2023 Apr.

DOI:10.7759/cureus.37769
PMID:37214020
原文链接:https://pmc.ncbi.nlm.nih.gov/articles/PMC10194184/
Abstract

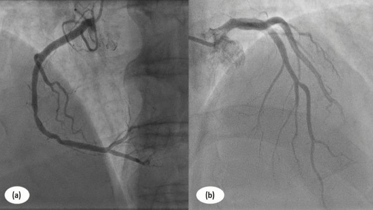
Acute pancreatitis is an inflammatory condition with varying local and systemic complications and variable severity. Although rare, cardiovascular complications induced by acute pancreatitis are rarely described in the literature. Epigastric pain with acute pancreatitis often simulates electrocardiographic changes in the absence of coronary artery abnormalities, resulting in a diagnostic dilemma for optimal treatment and management. We underline a case of acute pancreatitis complicated by acute coronary syndrome in a patient who presented with chest heaviness, dyspnea, nausea, and worsening epigastric pain associated with vomiting. Clinical and laboratory evaluations and using imaging modalities were suggestive of acute pancreatitis mimicking myocardial infarction (MI) in the absence of coronary artery abnormalities.

摘要

急性胰腺炎是一种伴有不同局部和全身并发症且严重程度各异的炎症性疾病。虽然罕见,但急性胰腺炎引发的心血管并发症在文献中鲜有描述。急性胰腺炎所致的上腹部疼痛在无冠状动脉异常时常常类似心电图改变,这给最佳治疗和管理带来了诊断难题。我们着重介绍一例急性胰腺炎合并急性冠状动脉综合征的病例,该患者表现为胸部闷痛、呼吸困难、恶心,以及伴有呕吐的上腹部疼痛加重。临床和实验室评估以及影像学检查提示,在无冠状动脉异常的情况下,急性胰腺炎酷似心肌梗死(MI)。

https://cdn.ncbi.nlm.nih.gov/pmc/blobs/5620/10194184/ab28e5bde97e/cureus-0015-00000037769-i04.jpg
https://cdn.ncbi.nlm.nih.gov/pmc/blobs/5620/10194184/225bcb2fabd7/cureus-0015-00000037769-i01.jpg
https://cdn.ncbi.nlm.nih.gov/pmc/blobs/5620/10194184/4cabbf00c989/cureus-0015-00000037769-i02.jpg
https://cdn.ncbi.nlm.nih.gov/pmc/blobs/5620/10194184/898fa9723e38/cureus-0015-00000037769-i03.jpg
https://cdn.ncbi.nlm.nih.gov/pmc/blobs/5620/10194184/ab28e5bde97e/cureus-0015-00000037769-i04.jpg
https://cdn.ncbi.nlm.nih.gov/pmc/blobs/5620/10194184/225bcb2fabd7/cureus-0015-00000037769-i01.jpg
https://cdn.ncbi.nlm.nih.gov/pmc/blobs/5620/10194184/4cabbf00c989/cureus-0015-00000037769-i02.jpg
https://cdn.ncbi.nlm.nih.gov/pmc/blobs/5620/10194184/898fa9723e38/cureus-0015-00000037769-i03.jpg
https://cdn.ncbi.nlm.nih.gov/pmc/blobs/5620/10194184/ab28e5bde97e/cureus-0015-00000037769-i04.jpg

相似文献

1
Acute Pancreatitis Simulating Myocardial Infarction: A Challenging Case.酷似心肌梗死的急性胰腺炎:一例具有挑战性的病例
Cureus. 2023 Apr 18;15(4):e37769. doi: 10.7759/cureus.37769. eCollection 2023 Apr.
2
Pseudo-Wellens syndrome, acute pancreatitis, and an anomalous coronary artery: a case report.假性Wellens综合征、急性胰腺炎与冠状动脉异常:一例报告
J Med Case Rep. 2019 Dec 30;13(1):387. doi: 10.1186/s13256-019-2315-1.
3
A case of acute necrotizing pancreatitis complicated with non ST elevation myocardial infarction.1例急性坏死性胰腺炎合并非ST段抬高型心肌梗死
BMC Res Notes. 2018 Mar 9;11(1):167. doi: 10.1186/s13104-018-3274-0.
4
Acute pancreatitis complicated by ST-elevation myocardial infarction.急性胰腺炎并发ST段抬高型心肌梗死。
J Emerg Med. 2013 May;44(5):932-5. doi: 10.1016/j.jemermed.2011.06.139. Epub 2013 Mar 13.
5
Pancreatitis with electrocardiographic changes mimicking acute myocardial infarction.伴有类似急性心肌梗死心电图改变的胰腺炎。
Can J Gastroenterol. 2001 Aug;15(8):522-6. doi: 10.1155/2001/604386.
6
Perplexing epigastric pain-coincident myocardial infarction and acute pancreatitis.令人困惑的上腹部疼痛——同时发生心肌梗死和急性胰腺炎。
Intern Med. 2010;49(2):149-53. doi: 10.2169/internalmedicine.49.2367. Epub 2010 Jan 15.
7
Acute Pancreatitis and Myocardial Infarction: A Narrative Review.急性胰腺炎与心肌梗死:一篇叙述性综述
Cardiology. 2023;148(1):1-11. doi: 10.1159/000528535. Epub 2023 Jan 2.
8
Coronary thrombosis in acute pancreatitis.急性胰腺炎中的冠状动脉血栓形成。
J Thromb Thrombolysis. 2019 Jan;47(1):157-161. doi: 10.1007/s11239-018-1741-z.
9
Acute pancreatitis presenting as acute inferior wall ST-segment elevations on electrocardiography.急性胰腺炎表现为心电图上急性下壁ST段抬高。
Am J Emerg Med. 2008 Jul;26(6):734.e1-4. doi: 10.1016/j.ajem.2007.11.008.
10
[Agranulocytosis and acute coronary syndrome in apathetic hyperthyroidism].淡漠型甲状腺功能亢进症中的粒细胞缺乏症与急性冠状动脉综合征
Srp Arh Celok Lek. 2003 May-Jun;131(5-6):249-53. doi: 10.2298/sarh0306249i.

引用本文的文献

1
Myopericarditis Mimicking an Acute MI.酷似急性心肌梗死的心肌心包炎
Cureus. 2023 Dec 25;15(12):e51069. doi: 10.7759/cureus.51069. eCollection 2023 Dec.

本文引用的文献

1
Acute Pancreatitis and Myocardial Infarction: A Narrative Review.急性胰腺炎与心肌梗死:一篇叙述性综述
Cardiology. 2023;148(1):1-11. doi: 10.1159/000528535. Epub 2023 Jan 2.
2
A Case Report of Endoscopic Retrograde Cholangiopancreatography (ERCP) and Acute Pancreatitis Induced Takotsubo Cardiomyopathy (TCM) in a Patient With Gallstones Induced Acute Pancreatitis and Cholangitis.一例胆结石所致急性胰腺炎和胆管炎患者行内镜逆行胰胆管造影术(ERCP)后并发急性胰腺炎诱发的应激性心肌病(TCM)的病例报告
Cureus. 2022 May 3;14(5):e24708. doi: 10.7759/cureus.24708. eCollection 2022 May.
3
Case Report: Abnormal ECG in a Patient With Acute Pancreatitis.
病例报告:一名急性胰腺炎患者的异常心电图
Front Cardiovasc Med. 2021 Dec 23;8:741253. doi: 10.3389/fcvm.2021.741253. eCollection 2021.
4
Triggering acute pancreatitis complicated with acute myocardial infarction by marijuana: a rare case report.大麻诱发急性胰腺炎合并急性心肌梗死:一例罕见病例报告。
Acta Biomed. 2021 Apr 30;92(S1):e2021035. doi: 10.23750/abm.v92iS1.8269.
5
Association of Acute Pancreatitis and Myocardial Infarction: Is the Heart Victim or Culprit? - A Case Report and Review of the Literature.急性胰腺炎与心肌梗死的关联:心脏是受害者还是肇事者?——一例病例报告及文献综述
Cureus. 2020 Sep 28;12(9):e10697. doi: 10.7759/cureus.10697.
6
A rare case of fulminant type 1 diabetes mellitus accompanied by both acute pancreatitis and myocarditis - case report.一例暴发性 1 型糖尿病伴急性胰腺炎和心肌炎的罕见病例报告。
BMC Endocr Disord. 2020 Aug 18;20(1):127. doi: 10.1186/s12902-020-00607-3.
7
Acute Pancreatitis Masquerading as Inferior Wall Myocardial Infarction: A Review.伪装为下壁心肌梗死的急性胰腺炎:综述
Case Rep Gastroenterol. 2019 Jul 23;13(2):321-335. doi: 10.1159/000501197. eCollection 2019 May-Aug.
8
Acute Pancreatitis Mimicking ST-Segment Elevation Myocardial Infarction.酷似ST段抬高型心肌梗死的急性胰腺炎
Case Rep Cardiol. 2018 Oct 24;2018:9382904. doi: 10.1155/2018/9382904. eCollection 2018.
9
A case of acute necrotizing pancreatitis complicated with non ST elevation myocardial infarction.1例急性坏死性胰腺炎合并非ST段抬高型心肌梗死
BMC Res Notes. 2018 Mar 9;11(1):167. doi: 10.1186/s13104-018-3274-0.
10
Acute pancreatitis complicated by acute myocardial infarction - a rare association.急性胰腺炎并发急性心肌梗死——一种罕见的关联。
Indian Heart J. 2013 Jul-Aug;65(4):474-7. doi: 10.1016/j.ihj.2013.06.009. Epub 2013 Jul 8.