Suppr超能文献

1例急性坏死性胰腺炎合并非ST段抬高型心肌梗死

A case of acute necrotizing pancreatitis complicated with non ST elevation myocardial infarction.

作者信息

Ralapanawa Udaya, Jayalath Thilak, Senadhira Dhanusha

机构信息

Faculty of Medicine, University of Peradeniya, Peradeniya, Sri Lanka.

Teaching Hospital Peradeniya, Peradeniya, Sri Lanka.

出版信息

BMC Res Notes. 2018 Mar 9;11(1):167. doi: 10.1186/s13104-018-3274-0.

Abstract

BACKGROUND

Acute pancreatitis is an inflammatory condition with varying severity and a range of local and systemic complications. Here we report a patient with acute necrotizing pancreatitis complicated with a true non ST elevation myocardial infarction.

CASE PRESENTATION

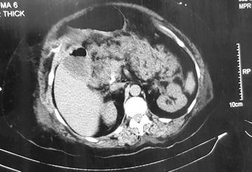
A 58 year old lady was admitted to our unit with acute onset epigastric pain and vomiting for 4 h duration. Following admission she complained of retrosternal tightening type of a chest pain. She had elevated serum amylase and cardiac troponin. Electrocardiogram (ECG) revealed lateral ischaemia. Contrast computerized tomography abdomen revealed acute severe necrotizing pancreatitis.

CONCLUSIONS

Nonspecific ECG changes can occur in patients with acute pancreatitis. But the diagnosis of true myocardial infarction in a context of acute pancreatitis using ECGs, 2D echocardiography, cardiac biomarkers and coronary angiograms can be challenging with the choice of revascularization therapy and safety of antiplatelet agents and anticoagulant therapy. Decision making regarding the management of such a patient is also critical.

摘要

背景

急性胰腺炎是一种炎症性疾病,严重程度各异,伴有一系列局部和全身并发症。在此,我们报告一例急性坏死性胰腺炎合并真正的非ST段抬高型心肌梗死患者。

病例介绍

一名58岁女性因突发上腹部疼痛和呕吐4小时入院。入院后,她主诉胸骨后压榨样胸痛。血清淀粉酶和心肌肌钙蛋白升高。心电图(ECG)显示侧壁缺血。腹部增强CT显示急性重症坏死性胰腺炎。

结论

急性胰腺炎患者可出现非特异性心电图改变。但在急性胰腺炎背景下,使用心电图、二维超声心动图、心脏生物标志物和冠状动脉造影诊断真正的心肌梗死,在选择血运重建治疗以及抗血小板药物和抗凝治疗的安全性方面可能具有挑战性。对此类患者的管理决策也至关重要。

https://cdn.ncbi.nlm.nih.gov/pmc/blobs/57e5/5845204/df846c092658/13104_2018_3274_Fig1_HTML.jpg

文献AI研究员

20分钟写一篇综述,助力文献阅读效率提升50倍。

立即体验

用中文搜PubMed

大模型驱动的PubMed中文搜索引擎

马上搜索

文档翻译

学术文献翻译模型,支持多种主流文档格式。

立即体验