• 文献检索
  • 文档翻译
  • 深度研究
  • 学术资讯
  • Suppr Zotero 插件Zotero 插件
  • 邀请有礼
  • 套餐&价格
  • 历史记录
应用&插件
Suppr Zotero 插件Zotero 插件浏览器插件Mac 客户端Windows 客户端微信小程序
定价
高级版会员购买积分包购买API积分包
服务
文献检索文档翻译深度研究API 文档MCP 服务
关于我们
关于 Suppr公司介绍联系我们用户协议隐私条款
关注我们

Suppr 超能文献

核心技术专利:CN118964589B侵权必究
粤ICP备2023148730 号-1Suppr @ 2026

文献检索

告别复杂PubMed语法,用中文像聊天一样搜索,搜遍4000万医学文献。AI智能推荐,让科研检索更轻松。

立即免费搜索

文件翻译

保留排版,准确专业,支持PDF/Word/PPT等文件格式,支持 12+语言互译。

免费翻译文档

深度研究

AI帮你快速写综述,25分钟生成高质量综述,智能提取关键信息,辅助科研写作。

立即免费体验

一名年轻患者的非创伤性自发性双侧脑出血:一例罕见病例报告

Nontraumatic spontaneous bilateral intracerebral haemorrhage in a young patient: a rare case report.

作者信息

Yadav Pramodman Singh, Panthi Sagar, Neupane Aakash, Uprety Manish, Acharya Rochana, Shah Leeza, Ansari Ajmat, Basnet Ujjwal, Bhattarai Raksha, Khanal Bhawani

机构信息

Department of Internal Medicine, B.P. Koirala Institute of Health Sciences.

Kathmandu University School of Medical Science, Dhulikhel, Nepal.

出版信息

Ann Med Surg (Lond). 2023 Apr 6;85(5):1830-1833. doi: 10.1097/MS9.0000000000000103. eCollection 2023 May.

DOI:10.1097/MS9.0000000000000103
PMID:37228924
原文链接:https://pmc.ncbi.nlm.nih.gov/articles/PMC10205346/
Abstract

UNLABELLED

Spontaneous bilateral intracerebral haemorrhage is a rare surgical occurrence, especially in young populations with poor prognosis. Hypertension is the leading cause but vascular malformations, infections and rare genetic conditions are also responsible.

CASE PRESENTATION

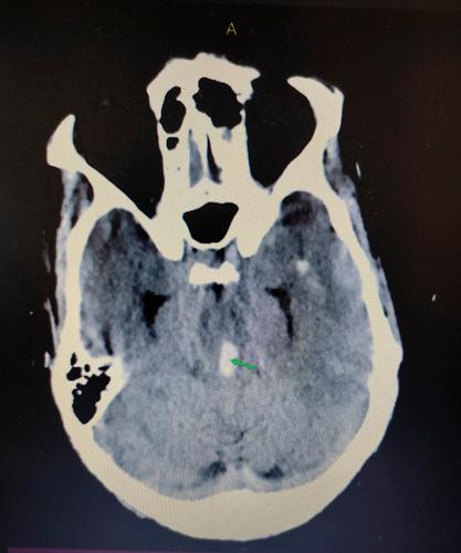
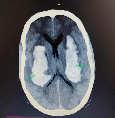
Twenty-three-year-old male with no prior comorbidities presented to emergency with sudden onset loss of consciousness and 1 episode of seizure. No history of intoxication or trauma was given. Glasgow Coma Scale at presentation was E1V2M2. CT scan head revealed bilateral basal ganglia haematoma along intraventricular haemorrhage.

CLINICAL DISCUSSION

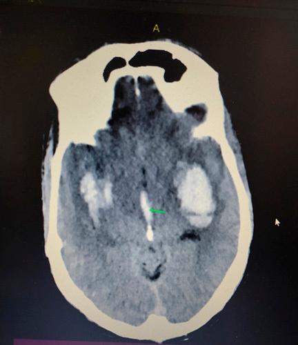
The patient was managed conservatively in the Neurosurgical Intensive care unit. Supportive management was provided. The patient's motor response was improving and a repeat CT scan showed a resolving haematoma. However, due to poor economic conditions, the patient party left against medical advice.

CONCLUSION

Spontaneous bilateral basal ganglia haemorrhage is a rare surgical emergency with no clear consensus on a management approach. This case highlights the importance of undiagnosed hypertension in causing intracerebral haemorrhage in poor economic groups.

摘要

未标注

自发性双侧脑出血是一种罕见的外科病症,尤其是在预后较差的年轻人群中。高血压是主要病因,但血管畸形、感染和罕见的遗传疾病也有责任。

病例介绍

一名23岁无既往合并症的男性因突发意识丧失和1次癫痫发作就诊于急诊科。无中毒或外伤史。就诊时格拉斯哥昏迷量表评分为E1V2M2。头颅CT扫描显示双侧基底节血肿伴脑室内出血。

临床讨论

患者在神经外科重症监护病房接受保守治疗。给予支持性治疗。患者的运动反应有所改善,复查CT扫描显示血肿正在吸收。然而,由于经济条件差,患者家属违背医嘱离院。

结论

自发性双侧基底节脑出血是一种罕见的外科急症,对于治疗方法尚无明确共识。本病例强调了在经济条件差的群体中,未诊断出的高血压在导致脑出血方面的重要性。

https://cdn.ncbi.nlm.nih.gov/pmc/blobs/1321/10205346/fc557f5e4275/ms9-85-1830-g004.jpg
https://cdn.ncbi.nlm.nih.gov/pmc/blobs/1321/10205346/64f66370f4e6/ms9-85-1830-g001.jpg
https://cdn.ncbi.nlm.nih.gov/pmc/blobs/1321/10205346/ec770fa4d1f0/ms9-85-1830-g002.jpg
https://cdn.ncbi.nlm.nih.gov/pmc/blobs/1321/10205346/2e6385d65e3e/ms9-85-1830-g003.jpg
https://cdn.ncbi.nlm.nih.gov/pmc/blobs/1321/10205346/fc557f5e4275/ms9-85-1830-g004.jpg
https://cdn.ncbi.nlm.nih.gov/pmc/blobs/1321/10205346/64f66370f4e6/ms9-85-1830-g001.jpg
https://cdn.ncbi.nlm.nih.gov/pmc/blobs/1321/10205346/ec770fa4d1f0/ms9-85-1830-g002.jpg
https://cdn.ncbi.nlm.nih.gov/pmc/blobs/1321/10205346/2e6385d65e3e/ms9-85-1830-g003.jpg
https://cdn.ncbi.nlm.nih.gov/pmc/blobs/1321/10205346/fc557f5e4275/ms9-85-1830-g004.jpg

相似文献

1
Nontraumatic spontaneous bilateral intracerebral haemorrhage in a young patient: a rare case report.一名年轻患者的非创伤性自发性双侧脑出血:一例罕见病例报告
Ann Med Surg (Lond). 2023 Apr 6;85(5):1830-1833. doi: 10.1097/MS9.0000000000000103. eCollection 2023 May.
2
Factors influencing the outcome of spontaneous intracerebral haematoma in a Neurosurgical Hospital in South-East Nigeria.尼日利亚东南部一家神经外科医院中影响自发性脑内血肿预后的因素
Niger Postgrad Med J. 2019 Apr-Jun;26(2):113-117. doi: 10.4103/npmj.npmj_22_19.
3
Spontaneous Simultaneous Bilateral Basal Ganglia, Thalamic, and Central Pontine Haemorrhage: A Case Report.自发性双侧基底节、丘脑及脑桥中央同时出血:一例报告
Cureus. 2024 Feb 5;16(2):e53674. doi: 10.7759/cureus.53674. eCollection 2024 Feb.
4
Unusual case of spontaneous bilateral basal ganglia bleed.自发性双侧基底节出血的罕见病例。
Clin Case Rep. 2022 Feb 15;10(2):e05437. doi: 10.1002/ccr3.5437. eCollection 2022 Feb.
5
Bilateral basal ganglia bleed in traumatic brain injury: A case report.创伤性脑损伤中的双侧基底节区出血:一例报告
J Pak Med Assoc. 2020 Oct;70(10):1854-1856. doi: 10.5455/JPMA.36070.
6
Primary intracerebral haemorrhage in Malaysia: in-hospital mortality and outcome in patients from a hospital based registry.马来西亚原发性脑出血:基于医院登记处患者的院内死亡率及转归情况
Med J Malaysia. 2007 Oct;62(4):308-12.
7
Fatal thrombolysis-related intracerebral haemorrhage associated with amyloid-β-related angiitis in a middle-aged patient - case report and literature review.中年患者伴淀粉样β相关血管炎的溶栓相关致命性脑出血:病例报告及文献复习。
BMC Neurol. 2022 Dec 23;22(1):500. doi: 10.1186/s12883-022-03029-x.
8
Early surgery versus initial conservative treatment in patients with spontaneous supratentorial intracerebral haematomas in the International Surgical Trial in Intracerebral Haemorrhage (STICH): a randomised trial.国际脑出血外科试验(STICH)中自发性幕上脑内血肿患者早期手术与初始保守治疗的随机试验
Lancet. 2005;365(9457):387-97. doi: 10.1016/S0140-6736(05)17826-X.
9
Bilateral intracerebral haemorrhage presenting with supranuclear ophthalmoplegia, bradykinesia and rigidity.双侧脑出血伴核上性眼肌麻痹、运动迟缓及强直。
Clin Exp Neurol. 1987;23:195-9.
10
Nontraumatic Spontaneous Bilateral Basal Ganglia Hemorrhage: A Rare Case Report.非创伤性自发性双侧基底节区出血:一例罕见病例报告
Cureus. 2020 Nov 2;12(11):e11299. doi: 10.7759/cureus.11299.

本文引用的文献

1
Spontaneous Simultaneous Bilateral Basal Ganglia Hemorrhage (SSBBGH): Systematic Review and Data Analysis on Epidemiology, Clinical Feature, Location of Bleeding, Etiology, Therapeutic Intervention and Outcome.自发性双侧基底节区脑出血(SSBBGH):流行病学、临床特征、出血部位、病因、治疗干预和结局的系统评价和数据分析。
Vasc Health Risk Manag. 2022 Apr 14;18:267-276. doi: 10.2147/VHRM.S349912. eCollection 2022.
2
Nontraumatic Spontaneous Bilateral Basal Ganglia Hemorrhage: A Rare Case Report.非创伤性自发性双侧基底节区出血:一例罕见病例报告
Cureus. 2020 Nov 2;12(11):e11299. doi: 10.7759/cureus.11299.
3
The SCARE 2020 Guideline: Updating Consensus Surgical CAse REport (SCARE) Guidelines.
SCARE 2020 指南:更新共识手术病例报告(SCARE)指南。
Int J Surg. 2020 Dec;84:226-230. doi: 10.1016/j.ijsu.2020.10.034. Epub 2020 Nov 9.
4
Intracranial hemorrhage in a young COVID-19 patient.一名年轻的新冠病毒肺炎患者发生颅内出血。
Interdiscip Neurosurg. 2020 Dec;22:100878. doi: 10.1016/j.inat.2020.100878. Epub 2020 Aug 12.
5
Bilateral Basal Ganglia Hemorrhage in a Patient with Confirmed COVID-19.确诊 COVID-19 患者的双侧基底节出血。
AJNR Am J Neuroradiol. 2020 Oct;41(10):1797-1799. doi: 10.3174/ajnr.A6712. Epub 2020 Aug 20.
6
Cerebrovascular Disease in COVID-19.COVID-19 相关脑血管病。
AJNR Am J Neuroradiol. 2020 Jul;41(7):1170-1172. doi: 10.3174/ajnr.A6588. Epub 2020 May 14.
7
Evidence of the COVID-19 Virus Targeting the CNS: Tissue Distribution, Host-Virus Interaction, and Proposed Neurotropic Mechanisms.新型冠状病毒(COVID-19)感染中枢神经系统的证据:组织分布、宿主-病毒相互作用及潜在神经嗜性机制。
ACS Chem Neurosci. 2020 Apr 1;11(7):995-998. doi: 10.1021/acschemneuro.0c00122. Epub 2020 Mar 13.
8
Fahr's Disease With Intracerebral Hemorrhage at the Uncommon Location: A Case Report.罕见部位脑出血的法尔氏病:一例报告
Ann Rehabil Med. 2019 Apr;43(2):230-233. doi: 10.5535/arm.2019.43.2.230. Epub 2019 Apr 30.
9
The Burden and Determinants of Non Communicable Diseases Risk Factors in Nepal: Findings from a Nationwide STEPS Survey.尼泊尔非传染性疾病风险因素的负担与决定因素:一项全国性 STEPS 调查的结果
PLoS One. 2015 Aug 5;10(8):e0134834. doi: 10.1371/journal.pone.0134834. eCollection 2015.
10
Stereotactic-Guided Evacuation of Spontaneous Supratentorial Intracerebral Hemorrhage: Systematic Review and Meta-Analysis.立体定向引导下自发性幕上脑出血的引流:系统评价与荟萃分析
World Neurosurg. 2015 Aug;84(2):451-60. doi: 10.1016/j.wneu.2015.03.051. Epub 2015 Apr 7.