Suppr超能文献

CT 影像组学特征预测经根治性放化疗的局部晚期食管鳞癌患者总生存的研究

CT radiomics features of meso-esophageal fat in predicting overall survival of patients with locally advanced esophageal squamous cell carcinoma treated by definitive chemoradiotherapy.

机构信息

Department of Radiology, Key Laboratory of Carcinogenesis and Translational Research (Ministry of Education/ Beijing), Peking University Cancer Hospital & Institute, No.52 Fu Cheng Road, Hai Dian District, Beijing, 100142, China.

Department of Radiology, Hunan Cancer Hospital, The Affiliated Cancer Hospital of Xiangya School of Medicine, Central South University, Changsha, China.

出版信息

BMC Cancer. 2023 May 25;23(1):477. doi: 10.1186/s12885-023-10973-5.

Abstract

OBJECTIVE

To investigate the value of CT radiomics features of meso-esophageal fat in the overall survival (OS) prediction of patients with locally advanced esophageal squamous cell carcinoma (ESCC).

METHODS

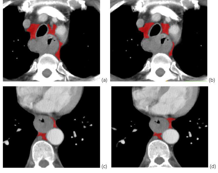
A total of 166 patients with locally advanced ESCC in two medical centers were retrospectively analyzed. The volume of interest (VOI) of meso-esophageal fat and tumor were manually delineated on enhanced chest CT using ITK-SNAP. Radiomics features were extracted from the VOIs by Pyradiomics and then selected using the t-test, the Cox regression analysis, and the least absolute shrinkage and selection operator. The radiomics scores of meso-esophageal fat and tumors for OS were constructed by a linear combination of the selected radiomic features. The performance of both models was evaluated and compared by the C-index. Time-dependent receiver operating characteristic (ROC) analysis was employed to analyze the prognostic value of the meso-esophageal fat-based model. A combined model for risk evaluation was constructed based on multivariate analysis.

RESULTS

The CT radiomic model of meso-esophageal fat showed valuable performance for survival analysis, with C-indexes of 0.688, 0.708, and 0.660 in the training, internal, and external validation cohorts, respectively. The 1-year, 2-year, and 3-year ROC curves showed AUCs of 0.640-0.793 in the cohorts. The model performed equivalently compared to the tumor-based radiomic model and performed better compared to the CT features-based model. Multivariate analysis showed that meso-rad-score was the only factor associated with OS.

CONCLUSIONS

A baseline CT radiomic model based on the meso-esophagus provide valuable prognostic information for ESCC patients treated with dCRT.

摘要

目的

探讨食管中段脂肪 CT 放射组学特征在局部晚期食管鳞癌(ESCC)患者总生存(OS)预测中的价值。

方法

回顾性分析两个医疗中心的 166 例局部晚期 ESCC 患者。采用 ITK-SNAP 手动勾画增强胸部 CT 中食管中段脂肪和肿瘤的感兴趣区(VOI)。采用 Pyradiomics 从 VOI 中提取放射组学特征,然后通过 t 检验、Cox 回归分析和最小绝对收缩和选择算子选择特征。通过线性组合选定的放射组学特征构建食管中段脂肪和肿瘤的放射组学评分,用于 OS 分析。通过 C 指数评估和比较两种模型的性能。采用时间依赖性接收器工作特征(ROC)分析评估基于食管中段脂肪模型的预后价值。基于多变量分析构建了风险评估的联合模型。

结果

食管中段脂肪 CT 放射组学模型在生存分析中具有良好的表现,在训练、内部和外部验证队列中的 C 指数分别为 0.688、0.708 和 0.660。在队列中,1 年、2 年和 3 年 ROC 曲线的 AUC 为 0.640-0.793。与肿瘤放射组学模型相比,该模型表现相当,与基于 CT 特征的模型相比表现更好。多变量分析显示,中脂肪放射评分是与 OS 相关的唯一因素。

结论

基于食管中段的基线 CT 放射组学模型可为接受 dCRT 治疗的 ESCC 患者提供有价值的预后信息。

https://cdn.ncbi.nlm.nih.gov/pmc/blobs/41ae/10210333/9ba893f920fa/12885_2023_10973_Fig1_HTML.jpg

文献AI研究员

20分钟写一篇综述,助力文献阅读效率提升50倍。

立即体验

用中文搜PubMed

大模型驱动的PubMed中文搜索引擎

马上搜索

文档翻译

学术文献翻译模型,支持多种主流文档格式。

立即体验