Suppr超能文献

胺碘酮相关性间质性肺疾病的可变影像学和组织学表现以及避免再次接触的重要性。

Variable radiographic and histologic presentations of amiodarone-related interstitial lung disease and the importance of avoiding re-exposure.

作者信息

Tsai I-Lin, Huang Li-Ting, Yu Yu-Ting, Lee Chung-Ta, Huang Tang-Hsiu

机构信息

Division of Chest Medicine, Department of Internal Medicine National Cheng Kung University Hospital, College of Medicine, National Cheng Kung University Tainan Taiwan.

Department of Diagnostic Radiology National Cheng Kung University Hospital, College of Medicine, National Cheng Kung University Tainan Taiwan.

出版信息

Respirol Case Rep. 2023 May 25;11(6):e01165. doi: 10.1002/rcr2.1165. eCollection 2023 Jun.

Abstract

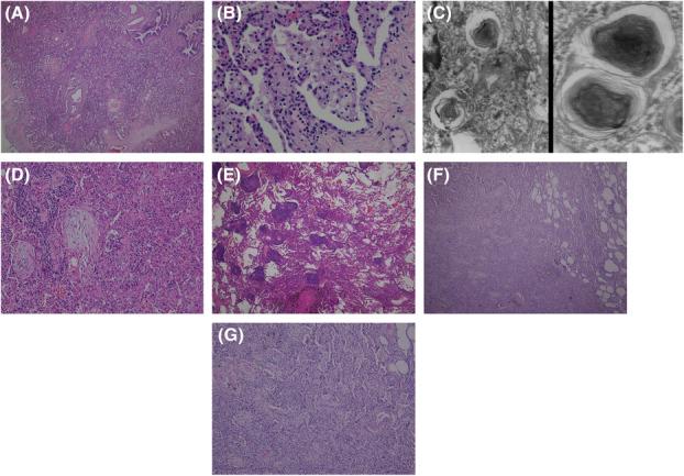
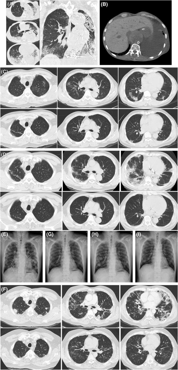
Amiodarone is a commonly used antiarrhythmic agent but exhibits potential pulmonary toxicity. In this case series, we describe the clinical, radiographic, and histologic manifestations of three patients who developed interstitial lung disease (ILD) following amiodarone treatment for variable lengths of time with different dosages. The presentations on computed tomographic images and in pulmonary pathology differed among the three patients. All three had immediate discontinuation of amiodarone and received treatment with systemic corticosteroids. One patient eventually died from ventilator-associated pneumonia after an initial improvement. The other two patients recovered well but later experienced ILD recurrence following brief re-exposure to amiodarone. Through this case series, we aim to demonstrate the variable features of amiodarone-related ILD, and highlight the importance of timely amiodarone cessation and avoiding re-exposure to prevent the progression and recurrence of ILD.

摘要

胺碘酮是一种常用的抗心律失常药物,但具有潜在的肺毒性。在本病例系列中,我们描述了三名患者在接受不同剂量胺碘酮治疗不同时长后发生间质性肺疾病(ILD)的临床、影像学和组织学表现。三名患者的计算机断层扫描图像表现及肺部病理学表现各不相同。三名患者均立即停用胺碘酮,并接受全身糖皮质激素治疗。一名患者在最初病情改善后最终死于呼吸机相关性肺炎。另外两名患者恢复良好,但在短暂再次接触胺碘酮后,ILD复发。通过本病例系列,我们旨在展示胺碘酮相关ILD的多变特征,并强调及时停用胺碘酮以及避免再次接触以防止ILD进展和复发的重要性。

https://cdn.ncbi.nlm.nih.gov/pmc/blobs/01c3/10209837/e6d87d4d54ca/RCR2-11-e01165-g003.jpg

文献AI研究员

20分钟写一篇综述,助力文献阅读效率提升50倍。

立即体验

用中文搜PubMed

大模型驱动的PubMed中文搜索引擎

马上搜索

文档翻译

学术文献翻译模型,支持多种主流文档格式。

立即体验