Suppr超能文献

MRI 影像组学分析肿瘤内及肿瘤周围特征有助于预测鼻咽癌转移性颈部淋巴结放化疗疗效。

Intra- and peritumoral MRI radiomics assisted in predicting radiochemotherapy response in metastatic cervical lymph nodes of nasopharyngeal cancer.

机构信息

Department of Radiology, Sichuan Clinical Research Center for Cancer, Sichuan Cancer Hospital & Institute, Sichuan Cancer Center, Affiliated Cancer Hospital of University of Electronic Science and Technology of China, Chengdu, China.

出版信息

BMC Med Imaging. 2023 May 30;23(1):66. doi: 10.1186/s12880-023-01026-1.

Abstract

BACKGROUND

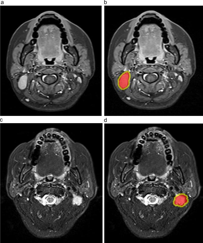
To establish and validate radiomic models combining intratumoral (Intra) and peritumoral (Peri) features obtained from pretreatment MRI for the prediction of treatment response of lymph node metastasis from nasopharyngeal cancer (NPC).

METHODS

One hundred forty-five NPC patients (102 in the training and 43 in the validation set) were retrospectively enrolled. Radiomic features were extracted from Intra and Peri regions on the metastatic cervical lymph node, and selected with the least absolute shrinkage and selection operator (LASSO). Multivariate logistic regression analysis was applied to build radiomic models. Sensitivity, specificity, accuracy, and the area under the curve (AUC) of receiver operating characteristics were employed to evaluate the predictive power of each model.

RESULTS

The AUCs of the radiomic model of Intra, Peri, Intra + Peri, and Clinical-radiomic were 0.910, 0.887, 0.934, and 0.941, respectively, in the training set and 0.737, 0.794, 0.774, and 0.783, respectively, in the validation set. There were no significant differences in prediction performance among the radiomic models in the training and validation sets (all P > 0.05). The calibration curve of the radiomic model of Peri demonstrated good agreement between prediction and observation in the training and validation sets.

CONCLUSIONS

The pretreatment MRI-based radiomics model may be useful in predicting the treatment response of metastatic lymph nodes of NPC. Besides, the generalization ability of the radiomic model of Peri was better than that of Intra and Intra + Peri.

摘要

背景

建立并验证结合鼻咽癌(NPC)转移颈部淋巴结术前 MRI 内(Intra)和周围(Peri)特征的放射组学模型,用于预测淋巴结转移的治疗反应。

方法

回顾性纳入 145 例 NPC 患者(训练集 102 例,验证集 43 例)。从转移性颈淋巴结的 Intra 和 Peri 区域提取放射组学特征,并采用最小绝对值收缩和选择算子(LASSO)进行选择。应用多变量逻辑回归分析构建放射组学模型。采用敏感性、特异性、准确性和受试者工作特征曲线下面积(AUC)评估每个模型的预测能力。

结果

在训练集和验证集中,Intra 组、Peri 组、Intra+Peri 组和临床放射组学模型的 AUC 分别为 0.910、0.887、0.934 和 0.941,验证集分别为 0.737、0.794、0.774 和 0.783。在训练集和验证集中,各放射组学模型的预测性能无显著差异(均 P>0.05)。训练集和验证集中,Peri 组放射组学模型的校准曲线显示预测与观察结果之间具有良好的一致性。

结论

基于术前 MRI 的放射组学模型可用于预测 NPC 转移淋巴结的治疗反应。此外,Peri 组放射组学模型的泛化能力优于 Intra 组和 Intra+Peri 组。

https://cdn.ncbi.nlm.nih.gov/pmc/blobs/749a/10230802/e922374ae03e/12880_2023_1026_Fig1_HTML.jpg

文献检索

告别复杂PubMed语法,用中文像聊天一样搜索,搜遍4000万医学文献。AI智能推荐,让科研检索更轻松。

立即免费搜索

文件翻译

保留排版,准确专业,支持PDF/Word/PPT等文件格式,支持 12+语言互译。

免费翻译文档

深度研究

AI帮你快速写综述,25分钟生成高质量综述,智能提取关键信息,辅助科研写作。

立即免费体验